menu
close

裏側矯正

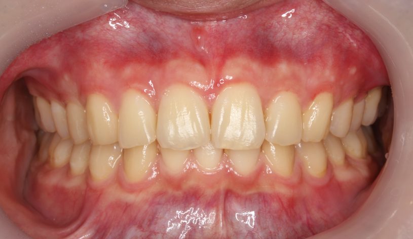
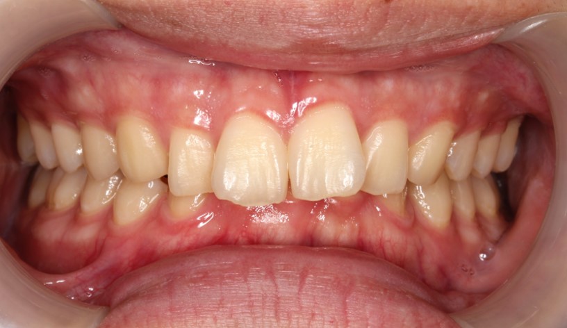
上下の凸凹・口元を下げたい(治療期間:2年2カ月/通院:26回)

年齢層 20代
性別 女性
主訴 上下の凸凹・口元を下げたい
治療費用 検査・診断:税込み38,500円/裏側矯正治療(リンガル矯正):税込1,397,000円
治療期間 約2年2カ月(26回)
抜歯 有(【上顎】両側4番【下顎】両側4番)
矯正の装置 リンガル矯正(裏側矯正)
副作用、リスク 歯肉退縮,歯根吸収,疼痛,咬合の違和感,装置の違和感,虫歯,歯肉炎
上下の凸凹 口元下げたい リンガル矯正 マウスピース矯正

Before

上下の凸凹 口元下げたい リンガル矯正 マウスピース矯正

After

詳しく見る

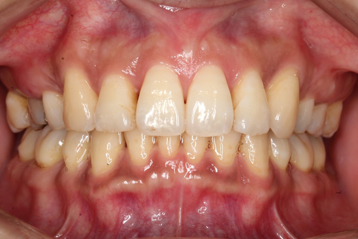
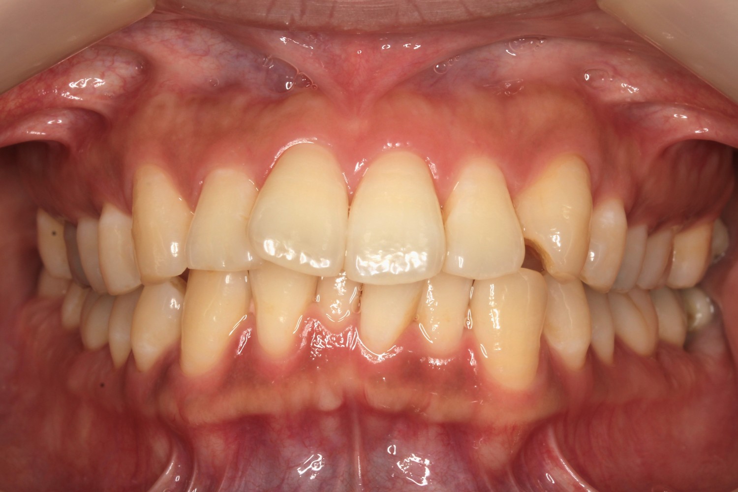
上下前歯のかみ合わせと八重歯を治したい(治療期間:2年9カ月/通院:26回)

年齢層 20代
性別 女性
主訴 上下前歯部が噛み合わない、上のガタガタが気になる
治療費用 検査・診断:税込38,500円/裏側矯正治療(リンガル矯正):税込1,397,000円
治療期間 2年9カ月(26回)
抜歯 有(上顎両側4番、下顎両側5番)
矯正の装置 裏側矯正(舌側矯正)・マウスピース矯正
副作用、リスク 歯肉退縮,歯根吸収,疼痛,咬合の違和感,装置の違和感,虫歯,歯肉炎
叢生・リンガル症例

Before

叢生・リンガル症例

After

詳しく見る

右下2番欠損・過蓋咬合の症例(治療期間:2年1か月/通院:22回)

年齢層 20
性別 男性
主訴 過蓋咬合、凸凹、上の歯が出ている、上下の歯が噛み合わない、
治療費用 検査・診断:税込38,500円/裏側矯正治療(リンガル矯正):税込1,397,000円
治療期間 約1年11か月(22回)
抜歯 非抜歯
矯正の装置 裏側矯正(舌側矯正)
副作用、リスク 歯肉退縮,歯根吸収,疼痛,咬合の違和感,装置の違和感,虫歯,歯肉炎
過蓋咬合・裏側矯正の症例

Before

過蓋咬合・裏側矯正の症例

After

詳しく見る

目立たない装置で口元を下げたい(治療期間:2年3ヶ月/通院:38回)

年齢層 30代
性別 女性
主訴 上の歯が出ている、口元を下げたい
治療費用 検査・診断:税込38,500円/裏側矯正治療(リンガル矯正):税込1,397,000円
治療期間 約2年3か月(38回)
抜歯 有(上顎両側4番、下顎両側4番)
矯正の装置 裏側矯正(舌側矯正)
副作用、リスク 歯肉退縮,歯根吸収,疼痛,咬合の違和感,装置の違和感,虫歯,歯肉炎
上顎前突・裏側矯正の症例

Before

上顎前突・裏側矯正の症例

After

詳しく見る

口元を下げたい、かみ合わせを治したい(治療期間:2年/通院:31回)

年齢層 30代
性別 女性
主訴 上の歯が出ている、下の歯の凸凹、かみ合わせ改善
治療費用 検査・診断:税込38,500円/裏側矯正治療(リンガル矯正):税込1,397,000円
治療期間 約2年(31回)
抜歯 有(【上顎】両側4番 【下顎】両側5番)
矯正の装置 裏側矯正(舌側矯正)
副作用、リスク 歯肉退縮,歯根吸収,疼痛,咬合の違和感,装置の違和感,虫歯,歯肉炎
ガタガタ リンガル症例

Before

ガタガタ リンガル症例

After

詳しく見る

上下前歯の凸凹・前歯が出ている(治療期間:1年9カ月/通院:32回)

年齢層 10代
性別 男性
主訴 歯の凸凹が気になる(叢生)・上の前歯が出ている(上顎前突)
治療費用 検査・診断:税込38,500円/裏側矯正治療(リンガル矯正):税込1,397,000円
治療期間 1年9カ月(32回)
抜歯 有(上顎両側4番・下顎右側1番)
矯正の装置 裏側矯正(舌側矯正)
副作用、リスク 歯肉退縮,歯根吸収,疼痛,咬合の違和感,装置の違和感,虫歯,歯肉炎
上下前歯の凸凹 出っ歯 裏側矯正

Before

上下前歯の凸凹 出っ歯 裏側矯正

After

詳しく見る

上顎前突・再矯正の症例(治療期間:約2年2か月/29回)

年齢層 20代
性別 女性
主訴 上の歯が出ている、矯正後の後戻り
治療費用 検査・診断:税込38,500円/裏側矯正治療(リンガル矯正):税込1,397,000円
治療期間 約2年2カ月(29回)
抜歯 有(上顎両側4番)
矯正の装置 裏側矯正(舌側矯正)
副作用、リスク 歯肉退縮,歯根吸収,疼痛,咬合の違和感,装置の違和感,虫歯,歯肉炎
上顎前突・裏側矯正

Before

上顎前突・裏側矯正

After

詳しく見る

口元を下げたい(治療期間:2年9か月/通院:32回)

年齢層 20代
性別 女性
主訴 口元を下げたい
治療費用 検査・診断:税込38,500円/裏側矯正治療(リンガル矯正):税込1,397,000円
治療期間 2年9か月(32回)
抜歯 有(【上顎】左側4番、右側5番 【下顎】両側5番)
矯正の装置 検査・診断:税込38,500円/裏側矯正治療(リンガル矯正):税込1,397,000円
副作用、リスク 歯肉退縮,歯根吸収,疼痛,咬合の違和感,装置の違和感,虫歯,歯肉炎
口元を下げたい リンガル矯正

Before

口元を下げたい リンガル矯正

After

詳しく見る

八重歯と歯のガタガタを治したい(治療期間:2年6カ月/通院38回)

年齢層 30代
性別 女性
主訴 歯のガタガタ(叢生)、八重歯、食いしばりを改善したい
治療費用 検査・診断:税込38,500円/裏側矯正治療(リンガル矯正):税込1,397,000円
治療期間 約2年6か月(38回)
抜歯 有(【上顎】左側4番、右側5番 【下顎】両側4番)
矯正の装置 裏側矯正(舌側矯正)
副作用、リスク 歯肉退縮,歯根吸収,疼痛,咬合の違和感,装置の違和感,虫歯,歯肉炎
八重歯・裏側矯正の症例

Before

八重歯・裏側矯正の症例

After

詳しく見る

開咬とEラインの症例(治療期間:2年/通院28回)

年齢層 20代
性別 女性
主訴 前歯が噛み合わない(開咬)、歯の凸凹(叢生)、八重歯
治療費用 検査・診断:税込38,500円/裏側矯正治療(リンガル矯正):税込1,397,000円
治療期間 約2年(28回)
抜歯 有(上顎両側4番、下顎両側4番)
矯正の装置 裏側矯正(舌側矯正)
副作用、リスク 歯肉退縮,歯根吸収,疼痛,咬合の違和感,装置の違和感,虫歯,歯肉炎
横顔

Before

Eライン

After

詳しく見る

口元を下げたい(治療期間:1年10ヵ月/通院26回)

年齢層 20代
性別 男性
主訴 上の前歯を下げたい
治療費用 検査・診断:税込み38,500円/裏側矯正治療(リンガル矯正):税込1,397,000円
治療期間 1年10カ月(26回)
抜歯 有(上顎両側4番、下顎両側5番)
矯正の装置 裏側矯正(舌側矯正)
副作用、リスク 歯肉退縮,歯根吸収,疼痛,咬合の違和感,装置の違和感,虫歯,歯肉炎
出っ歯・裏側矯正の症例

Before

出っ歯・裏側矯正の症例

After

詳しく見る

上下の歯が噛み合わない(治療期間:1年9か月/通院18回)

年齢層 20代
性別 男性
主訴 前歯が凸凹している、上の歯が出ている、上下の歯が噛み合わない、過蓋咬合
治療費用 検査・診断:税込み38,500円/裏側矯正治療(リンガル矯正):税込1,397,000円
治療期間 1年9カ月(18回)
抜歯 無(非抜歯)
矯正の装置 裏側矯正(舌側矯正)
副作用、リスク 歯肉退縮,歯根吸収,疼痛,咬合の違和感,装置の違和感,虫歯,歯肉炎
過蓋咬合・裏側矯正の症例

Before

過蓋咬合・裏側矯正の症例

After

詳しく見る

非対称を治したい(外科症例)

年齢層 20代
性別 女性
主訴 【主訴】歯の非対称を治したい 【診断・症状】右下2番先天欠損、上下凸凹、顎が曲がっている
治療費用 検査・診断:税込55,000円/サージェリーファースト(裏側矯正):税込2,090,000円(+外科費用 約200万)(※外科代につきましては別途かかります)
治療期間 約2年半(33回)
抜歯 無(非抜歯)
矯正の装置 裏側矯正(舌側矯正)
副作用、リスク 歯肉退縮,歯根吸収,疼痛,咬合の違和感,装置の違和感,虫歯,歯肉炎
case24_非対称_外科_before

Before

case24_非対称_外科_after

After

詳しく見る

歯の凸凹を治したい

年齢層 30代
性別 男性
主訴 【主訴】歯の凸凹を治したい 【診断・症状】上下凸凹
治療費用 検査・診断:税込38,500円/裏側矯正治療(リンガル矯正):税込1,397,000円
治療期間 約3年半(45回)
抜歯 有(上4,4、左下4)
矯正の装置 裏側矯正(舌側矯正)
副作用、リスク 歯肉退縮,歯根吸収,疼痛,咬合の違和感,装置の違和感,虫歯,歯肉炎
case23_歯の凹凸_before

Before

case23_歯の凹凸_after

After

詳しく見る

かみ合わせが深いと受け口の症例

年齢層 30代
性別 男性
主訴 【主訴】かみ合わせが深い、受け口 【診断・症状】受け口、過蓋咬合、上下凸凹
治療費用 検査・診断:税込38,500円/裏側矯正治療(リンガル矯正):税込1,397,000円/難症例加算:税込220,000円
治療期間 約3年半(45回)
抜歯 無(非抜歯)
矯正の装置 裏側矯正(舌側矯正)
副作用、リスク 歯肉退縮,歯根吸収,疼痛,咬合の違和感,装置の違和感,虫歯,歯肉炎
case22_かみ合わせが深い_受け口_before

Before

case22_かみ合わせが深い_受け口_after

After

詳しく見る

出っ歯を治したい

年齢層 30代
性別 女性
主訴 【主訴】出っ歯を治したい 【診断・症状】上下凸凹、口元が出てる
治療費用 検査・診断:税込38,500円/裏側矯正治療(リンガル矯正):税込1,397,000円
治療期間 約2年9か月(36回)
抜歯 有(上4,4)
矯正の装置 裏側矯正(舌側矯正)
副作用、リスク 歯肉退縮,歯根吸収,疼痛,咬合の違和感,装置の違和感,虫歯,歯肉炎
case21_出っ歯_before

Before

case21_出っ歯_after

After

詳しく見る

出っ歯を治したい

年齢層 30代
性別 女性
主訴 【主訴】出っ歯を治したい 【診断・症状】上下凸凹、出っ歯(上顎前突)
治療費用 検査・診断:税込38,500円/裏側矯正治療(リンガル矯正):税込1,397,000円
治療期間 約2年半(33回)
抜歯 有(上4,4、下5,5)
矯正の装置 裏側矯正(舌側矯正)
副作用、リスク 歯肉退縮,歯根吸収,疼痛,咬合の違和感,装置の違和感,虫歯,歯肉炎
case20_出っ歯_before

Before

case20_出っ歯_after

After

詳しく見る

受け口(非外科)の症例

年齢層 20代
性別 女性
主訴 【主訴】受け口を治したい 【診断・症状】反対咬合、上下凸凹
治療費用 検査・診断:税込38,500円/裏側矯正治療(リンガル矯正):税込1,397,000円
治療期間 約1年半(約20回)
抜歯 有(下4,4)
矯正の装置 裏側矯正(舌側矯正)
副作用、リスク 歯肉退縮,歯根吸収,疼痛,咬合の違和感,装置の違和感,虫歯,歯肉炎
case19_受け口_非外科_before

Before

case19_受け口_非外科_after

After

詳しく見る

受け口の外科症例

年齢層 30代
性別 女性
主訴 【主訴】受け口を治したい 【診断・症状】上下凸凹、受け口
治療費用 検査・診断:税込55,000円/サージェリーファースト(裏側矯正):税込2,090,000円(+外科費用 約200万)(※外科代につきましては別途かかります)
治療期間 約2年(約26回)
抜歯 無(非抜歯)
矯正の装置 裏側矯正(舌側矯正)
副作用、リスク 歯肉退縮,歯根吸収,疼痛,咬合の違和感,装置の違和感,虫歯,歯肉炎
case18_受け口外科_before

Before

case18_受け口外科_after

After

詳しく見る

軽度の受け口の症例(インプラント併用の症例)

年齢層 30代
性別 女性
主訴 【主訴】軽度の受け口を治したい 【診断・症状】軽度の反対咬合、左上6番重度の虫歯
治療費用 検査・診断:税込38,500円/裏側矯正治療(リンガル矯正):税込1,397,000円
治療期間 約3年(39回)
抜歯 有(左上6番のみ)
矯正の装置 裏側矯正(舌側矯正)
副作用、リスク 歯肉退縮,歯根吸収,疼痛,咬合の違和感,装置の違和感,虫歯,歯肉炎
case16_インプラント併用_before

Before

case16_インプラント併用_after

After

詳しく見る