当院の症例

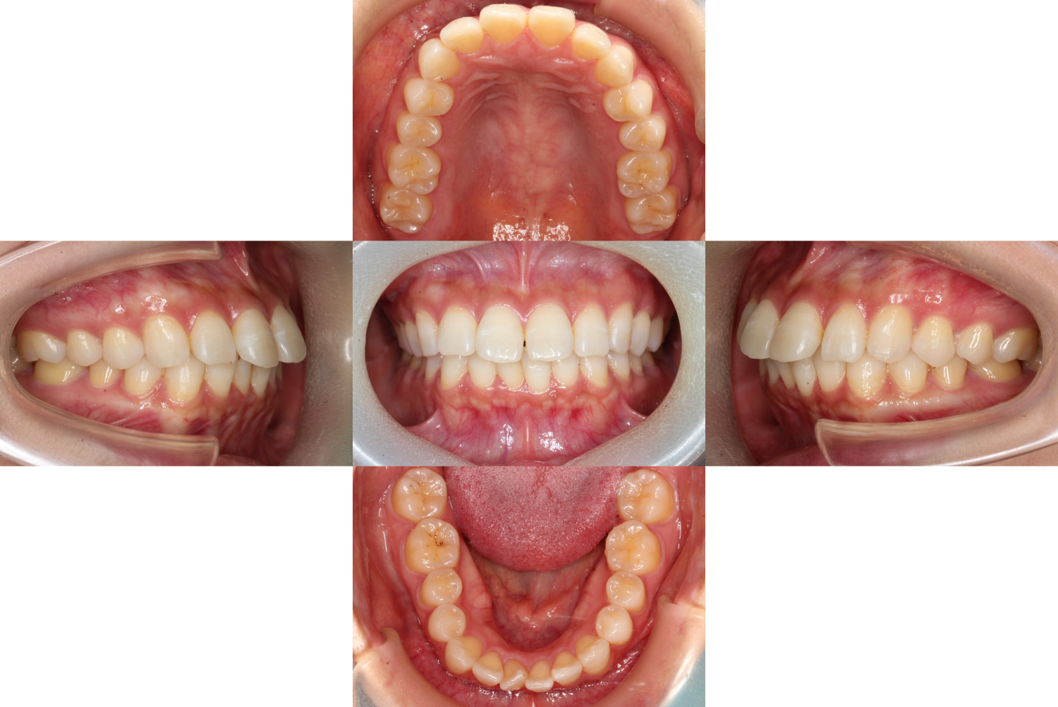
初診時の口腔内です。
患者様のお悩みは【口元を下げたい】
上の前歯だけが前に出ているように見えますが、
実際は上下とも前に出ているので上下合計4本抜歯をして
口元を下げていくことになりました。

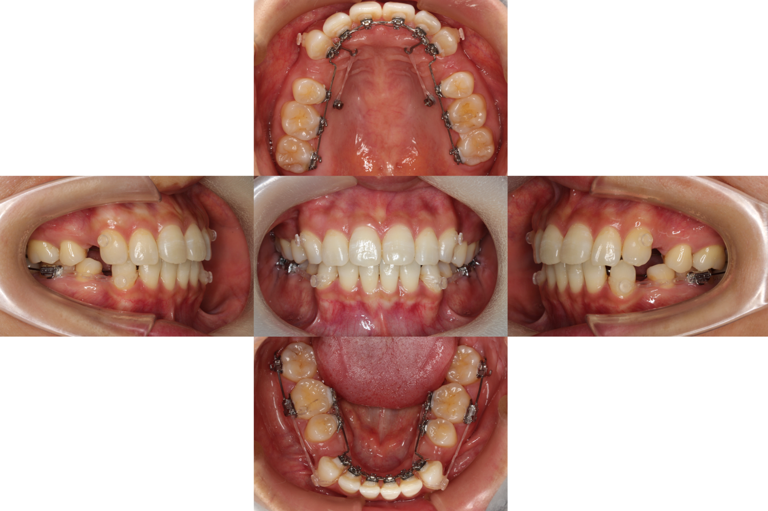
上下抜歯が終わり装置を装着しました。
抜歯した部分のワイヤーが舌に当たって痛むため、
透明のチューブを通し不快感を軽減しました。

上下の歯の凸凹が無くなり一直線に並びました。
前歯を下げるために、スクリューとゴムを使って後ろに引いていきます。

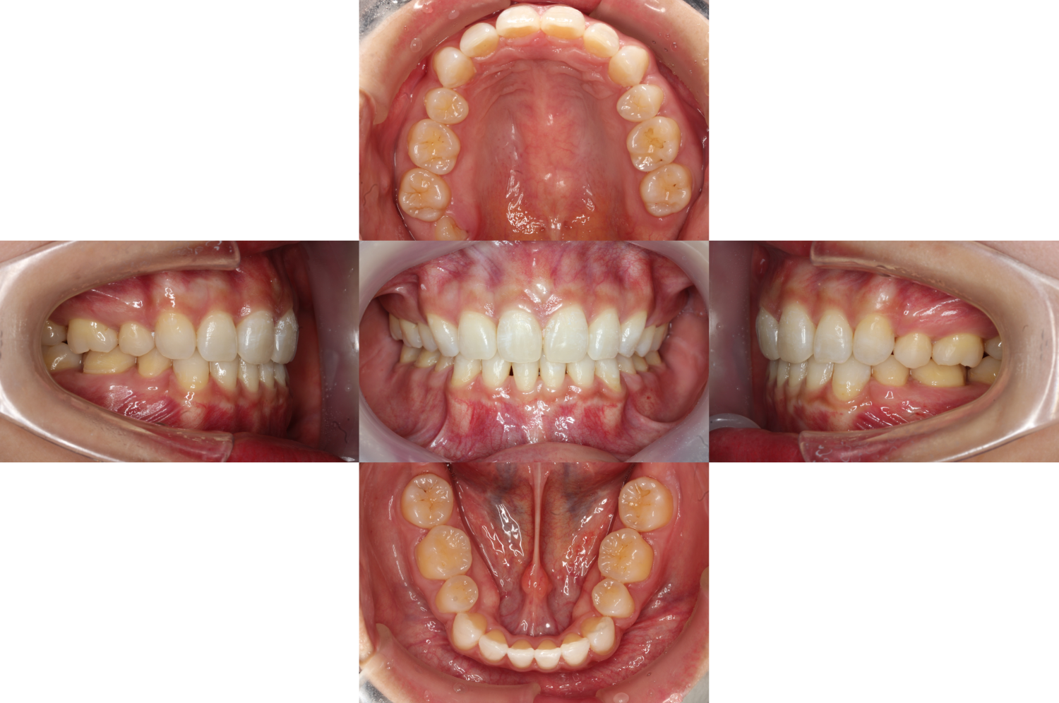
【口元を下げたい】お悩みが改善し
上下の歯もしっかり噛んでいます。
右上の奥には親知らずが生えてきたので
綺麗な歯並びを維持するために抜歯を検討しています。
| 年齢層 | 30代 |
|---|---|
| 性別 | 女性 |
| 主訴 | 上の歯が出ている、口元を下げたい |
| 治療費用 | 検査・診断:税込38,500円/裏側矯正治療(リンガル矯正):税込1,397,000円 |
| 治療期間 | 約2年3か月(38回) |
| 抜歯 | 有(上顎両側4番、下顎両側4番) |
| 矯正の装置 | 裏側矯正(舌側矯正) |
| 副作用、リスク | 歯肉退縮,歯根吸収,疼痛,咬合の違和感,装置の違和感,虫歯,歯肉炎 |