menu
close

Eライン(ロゴボ)

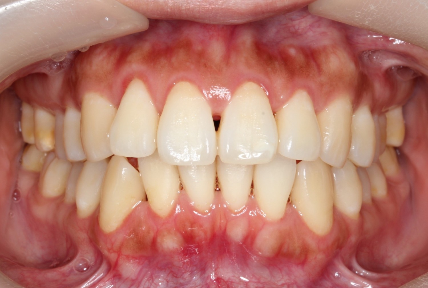
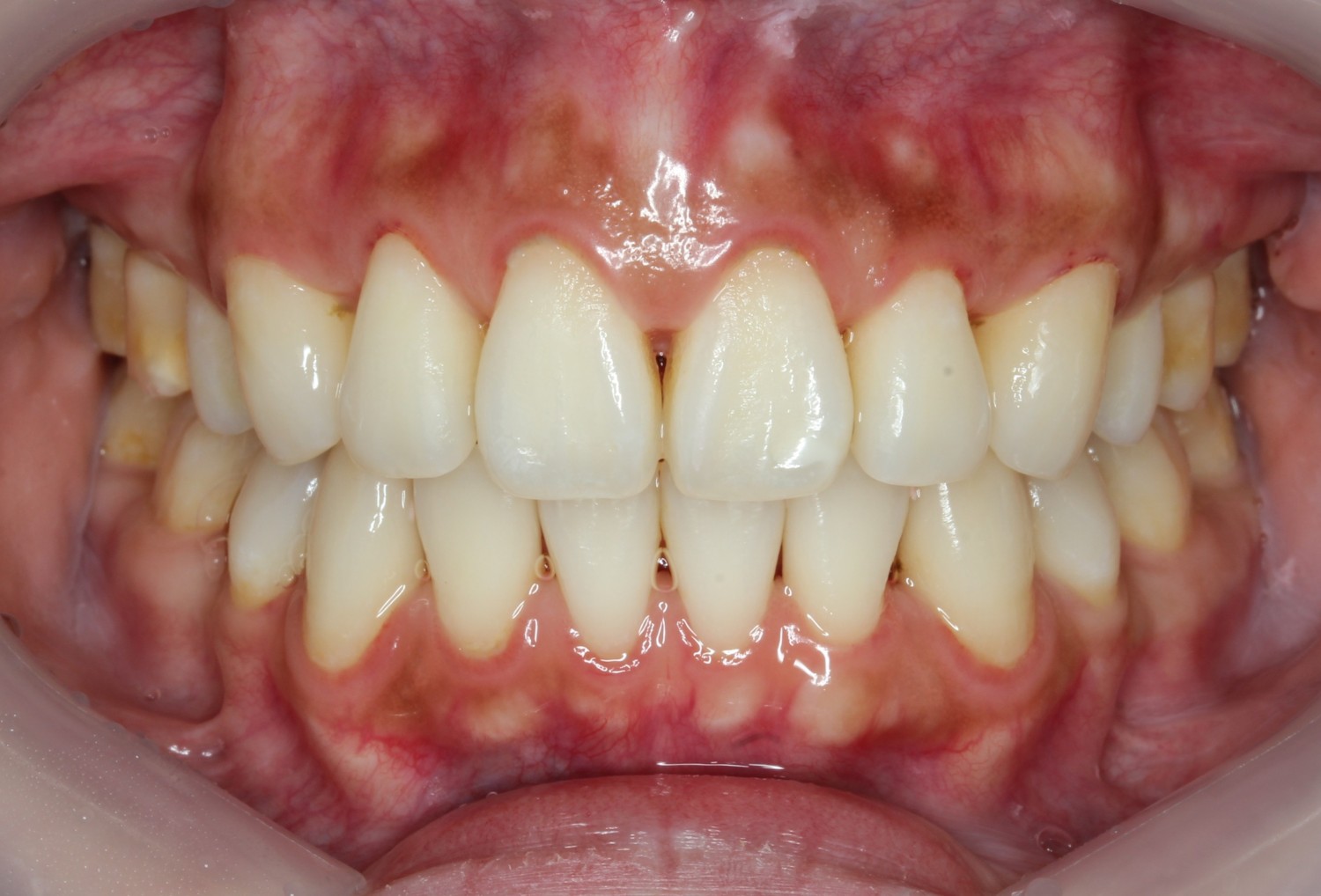
前歯が出ている・噛み合わない(治療期間:1年8ヶ月/通院:24回)

年齢層 30代
性別 女性
主訴 前歯が出ている、噛み合わない
治療費用 検査・診断:税込38,500円/裏側矯正治療(リンガル矯正):税込1,397,000円
治療期間 1年8ヵ月(24回)
抜歯 有(【上顎】両側4番 【下顎】両側5番)
矯正の装置 裏側矯正(舌側矯正)
副作用、リスク 歯肉退縮,歯根吸収,疼痛,咬合の違和感,装置の違和感,虫歯,歯肉炎
出っ歯改善・裏側矯正

Before

出っ歯改善・裏側矯正

After

詳しく見る

口元を下げたい・下の歯のガタガタを治したい(治療期間:2年2ヵ月/通院:28回)

年齢層 20代
性別 女性
主訴 口元を下げたい・下の歯の叢生
治療費用 検査・診断:税込み38,500円/裏側矯正治療(リンガル矯正):税込1,397,000円
治療期間 約2年4か月(28回)
抜歯 有(上顎両側4番、下顎両側4番)
矯正の装置 検査・診断:税込38,500円/裏側矯正治療(リンガル矯正):税込1,397,000円
副作用、リスク 歯肉退縮,歯根吸収,疼痛,咬合の違和感,装置の違和感,虫歯,歯肉炎
上顎前突・叢生の症例

Before

上顎前突・叢生の症例

After

詳しく見る

上の歯が出ている、前歯がかみ合わない(治療期間:1年8ヵ月/通院:26回)

年齢層 20代
性別 女性
主訴 上の歯が出ている、前歯がかみ合わない
治療費用 検査・診断:税込38,500円/裏側矯正治療(リンガル矯正):税込1,397,000円
治療期間 1年8ヵ月(26回)
抜歯 有(上顎両側4番、下顎両側5番)
矯正の装置 裏側矯正(舌側矯正)
副作用、リスク 歯肉退縮,歯根吸収,疼痛,咬合の違和感,装置の違和感,虫歯,歯肉炎
上の歯出ている、裏側矯正症例

Before

上の歯出ている、裏側矯正症例

After

詳しく見る

上下の凸凹・口元を下げたい(治療期間:2年2カ月/通院:26回)

年齢層 20代
性別 女性
主訴 上下の凸凹・口元を下げたい
治療費用 検査・診断:税込み38,500円/裏側矯正治療(リンガル矯正):税込1,397,000円
治療期間 約2年2カ月(26回)
抜歯 有(【上顎】両側4番【下顎】両側4番)
矯正の装置 リンガル矯正(裏側矯正)
副作用、リスク 歯肉退縮,歯根吸収,疼痛,咬合の違和感,装置の違和感,虫歯,歯肉炎
上下の凸凹 口元下げたい リンガル矯正 マウスピース矯正

Before

上下の凸凹 口元下げたい リンガル矯正 マウスピース矯正

After

詳しく見る

目立たない装置で口元を下げたい(治療期間:2年3ヶ月/通院:38回)

年齢層 30代
性別 女性
主訴 上の歯が出ている、口元を下げたい
治療費用 検査・診断:税込38,500円/裏側矯正治療(リンガル矯正):税込1,397,000円
治療期間 約2年3か月(38回)
抜歯 有(上顎両側4番、下顎両側4番)
矯正の装置 裏側矯正(舌側矯正)
副作用、リスク 歯肉退縮,歯根吸収,疼痛,咬合の違和感,装置の違和感,虫歯,歯肉炎
上顎前突・裏側矯正の症例

Before

上顎前突・裏側矯正の症例

After

詳しく見る

上顎の前歯が出ている・口元を下げたい(治療期間:2年5か月/通院:27回)

年齢層 20代
性別 女性
主訴 上顎の前歯が出ている・口元を下げたい
治療費用 検査・診断:税込38,500円/ハーフリンガル矯正(上:裏側/下:表側):税込1,287,000円
治療期間 2年5か月(27回)
抜歯 有(上顎4,4)
矯正の装置 ハーフリンガル矯正(上:裏側/下:表側)
副作用、リスク 歯肉退縮,歯根吸収,疼痛,咬合の違和感,装置の違和感,虫歯,歯肉炎
上の前歯が出ている 口元を下げたい

Before

上の前歯が出ている 口元を下げたい

After

詳しく見る

口元を下げたい・かみ合わせを治したい(治療期間:2年/通院:31回)

年齢層 30代
性別 女性
主訴 上の歯が出ている、下の歯の凸凹、かみ合わせ改善
治療費用 検査・診断:税込38,500円/裏側矯正治療(リンガル矯正):税込1,397,000円
治療期間 約2年(31回)
抜歯 有(【上顎】両側4番 【下顎】両側5番)
矯正の装置 裏側矯正(舌側矯正)
副作用、リスク 歯肉退縮,歯根吸収,疼痛,咬合の違和感,装置の違和感,虫歯,歯肉炎
ガタガタ リンガル症例

Before

ガタガタ リンガル症例

After

詳しく見る

口元を下げたい(治療期間:2年9か月/通院:32回)

年齢層 20代
性別 女性
主訴 口元を下げたい
治療費用 検査・診断:税込38,500円/裏側矯正治療(リンガル矯正):税込1,397,000円
治療期間 2年9か月(32回)
抜歯 有(【上顎】左側4番、右側5番 【下顎】両側5番)
矯正の装置 検査・診断:税込38,500円/裏側矯正治療(リンガル矯正):税込1,397,000円
副作用、リスク 歯肉退縮,歯根吸収,疼痛,咬合の違和感,装置の違和感,虫歯,歯肉炎
口元を下げたい リンガル矯正

Before

口元を下げたい リンガル矯正

After

詳しく見る

Eラインと噛み合わせの症例(治療期間:2年6か月/33回)

年齢層 20代
性別 女性
主訴 口が開きづらい・噛み合わせ
治療費用 検査・診断:税込38,500円/ハーフリンガル矯正(上:裏側/下:表側):税込1,287,000円
治療期間 約2年6か月(33回)
抜歯 有(【上顎】両側4番、8番【下顎】両側5番)
矯正の装置 ハーフリンガル矯正(上:裏側/下:表側)
副作用、リスク 歯肉退縮,歯根吸収,疼痛,咬合の違和感,装置の違和感,虫歯,歯肉炎
Eライン・ハーフ矯正の症例

Before

Eライン・ハーフ矯正

After

詳しく見る

前歯の凸凹・口元を下げたい(治療期間:1年11カ月/通院:18回)

年齢層 20代
性別 女性
主訴 上下の前歯の凸凹・口元を下げたい
治療費用 検査・診断:税込38,500円/裏側矯正治療(リンガル矯正):税込1,397,000円
治療期間 1年11か月(18回)
抜歯 有(【上顎】両側4番【下顎】左側4番、右側5番)
矯正の装置 裏側矯正(舌側矯正)
副作用、リスク 歯肉退縮,歯根吸収,疼痛,咬合の違和感,装置の違和感,虫歯,歯肉炎
前歯の凸凹・口元下げたい・裏側矯正

Before

前歯の凸凹・口元下げたい・裏側矯正

After

詳しく見る

前歯を下げたい(治療期間:1年8ヶ月/通院28回)

年齢層 20代
性別 女性
主訴 前歯を下げたい・綺麗な歯並びにしたい
治療費用 検査・診断:税込38,500円/ハーフリンガル矯正(上:裏側/下:表側):税込1,287,000円
治療期間 1年8ヶ月
抜歯 有(上顎両側4番、下顎両側4番)
矯正の装置 ハーフリンガル矯正(上:裏側/下:表側)
副作用、リスク 歯肉退縮,歯根吸収,疼痛,咬合の違和感,装置の違和感,虫歯,歯肉炎
前歯下げたい ハーフリンガル矯正

Before

After

詳しく見る

開咬とEラインの症例(治療期間:2年/通院28回)

年齢層 20代
性別 女性
主訴 前歯が噛み合わない(開咬)、歯の凸凹(叢生)、八重歯
治療費用 検査・診断:税込38,500円/裏側矯正治療(リンガル矯正):税込1,397,000円
治療期間 約2年(28回)
抜歯 有(上顎両側4番、下顎両側4番)
矯正の装置 裏側矯正(舌側矯正)
副作用、リスク 歯肉退縮,歯根吸収,疼痛,咬合の違和感,装置の違和感,虫歯,歯肉炎
横顔

Before

Eライン

After

詳しく見る

口元を下げたい(治療期間:1年10ヵ月/通院26回)

年齢層 20代
性別 男性
主訴 上の前歯を下げたい
治療費用 検査・診断:税込み38,500円/裏側矯正治療(リンガル矯正):税込1,397,000円
治療期間 1年10カ月(26回)
抜歯 有(上顎両側4番、下顎両側5番)
矯正の装置 裏側矯正(舌側矯正)
副作用、リスク 歯肉退縮,歯根吸収,疼痛,咬合の違和感,装置の違和感,虫歯,歯肉炎
出っ歯・裏側矯正の症例

Before

出っ歯・裏側矯正の症例

After

詳しく見る

Eライン(口ゴボ)

年齢層 20代
性別 女性
主訴 【主訴】Eラインを整えたい 【診断・症状】上下顎前突
治療費用 検査・診断:税込38,500円/裏側矯正治療(リンガル矯正):税込1,397,000円
治療期間 約2年8か月(35回)
抜歯 有(上4,4、下右4,左5)
矯正の装置 裏側矯正(舌側矯正)
副作用、リスク 歯肉退縮,歯根吸収,疼痛,咬合の違和感,装置の違和感,虫歯,歯肉炎
case5_E-line_before

Before

case5_E-line_after

After

詳しく見る

Eライン(口ゴボ)

年齢層 30代
性別 女性
主訴 【主訴】Eラインを整えたい 【診断・症状】上下顎前突
治療費用 検査・診断:税込38,500円/裏側矯正治療(リンガル矯正):税込1,397,000円
治療期間 約3年半(45回)
抜歯 有(上下4,4)
矯正の装置 裏側矯正(舌側矯正)
副作用、リスク 歯肉退縮,歯根吸収,疼痛,咬合の違和感,装置の違和感,虫歯,歯肉炎
case4_E-line_before

Before

case4_E-line_after

After

詳しく見る

Eライン(口ゴボ)

年齢層 20代
性別 女性
主訴 【主訴】Eラインを整えたい 【診断・症状】上下顎前突
治療費用 検査・診断:税込38,500円/裏側矯正治療(リンガル矯正):税込1,397,000円
治療期間 約2年半(33回)
抜歯 有(上下5,5)
矯正の装置 裏側矯正(舌側矯正)
副作用、リスク 歯肉退縮,歯根吸収,疼痛,咬合の違和感,装置の違和感,虫歯,歯肉炎
case3_E-line_before

Before

case3_E-line_after

After

詳しく見る

Eライン(口ゴボ)

年齢層 20代
性別 女性
主訴 【主訴】Eラインを整えたい 【診断・症状】上下顎前突、上下顎前歯前方位
治療費用 検査・診断:税込38,500円/裏側矯正治療(リンガル矯正):税込1,397,000円
治療期間 約1年半(20回)
抜歯 有(上顎4,4、下顎5,5)
矯正の装置 裏側矯正(舌側矯正)
副作用、リスク 歯肉退縮,歯根吸収,疼痛,咬合の違和感,装置の違和感,虫歯,歯肉炎
case2_E-line_before

Before

case2_E-line_after

After

詳しく見る