当院の症例

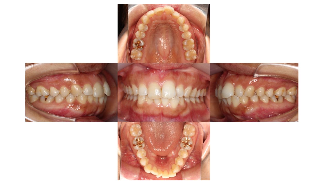
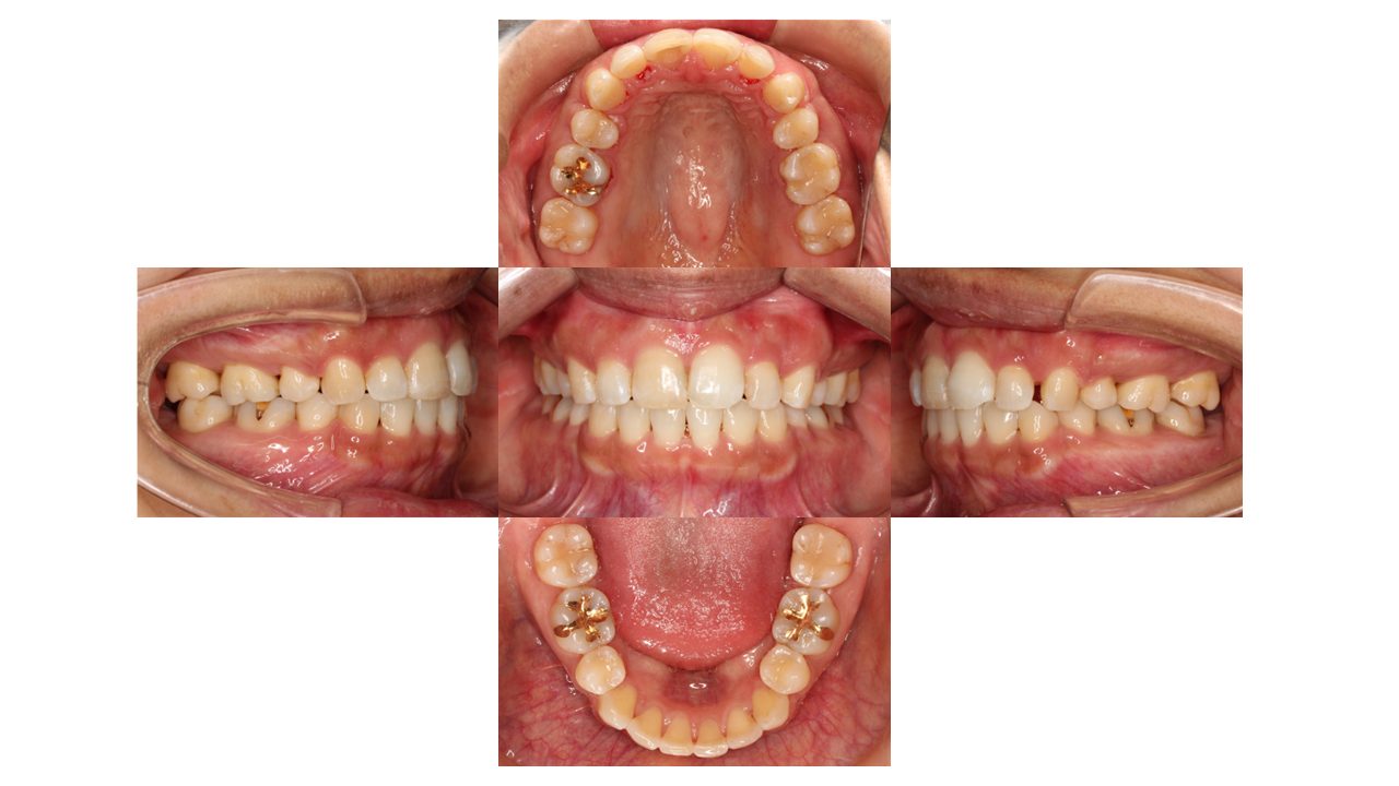
初診時の口腔内の状態です。
上下の凸凹と口元が出ていることにお悩みでご来院されました。

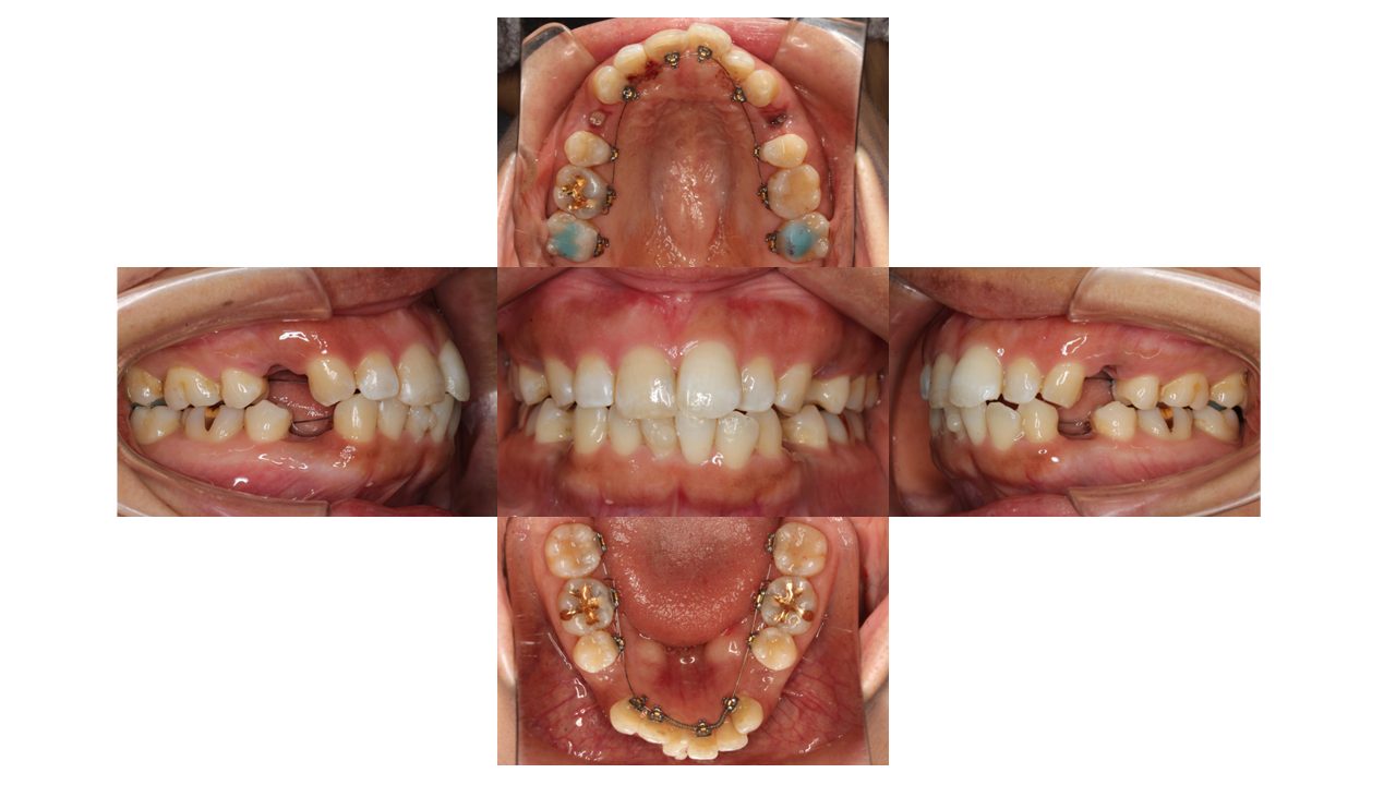
装置装着時の口腔内の状態です。
上下左右共に4番目の箇所を抜歯し、リンガル矯正(裏側矯正)で歯を動かしていきます。
現在の歯並びだと、下の歯が上の装置にぶつかってしまうため、上の奥歯にバイトアップという青い材料を付けてかみ合わせを上げています。
下顎前歯は、凸凹が強く装置をつけることができない箇所があります。
凸凹を並べるためのスペースを確保するため、バネの力を使って歯を動かしていきます。

3カ月経過の口腔内の状態です。
全体の凸凹が改善してきました。

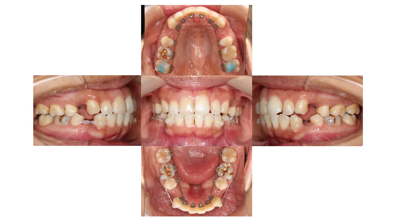
9カ月経過の口腔内の状態です。
上顎に歯科用のアンカースクリューを埋入し、ゴムの力で前歯を引っぱりながら抜歯したスペースを閉じていきます。

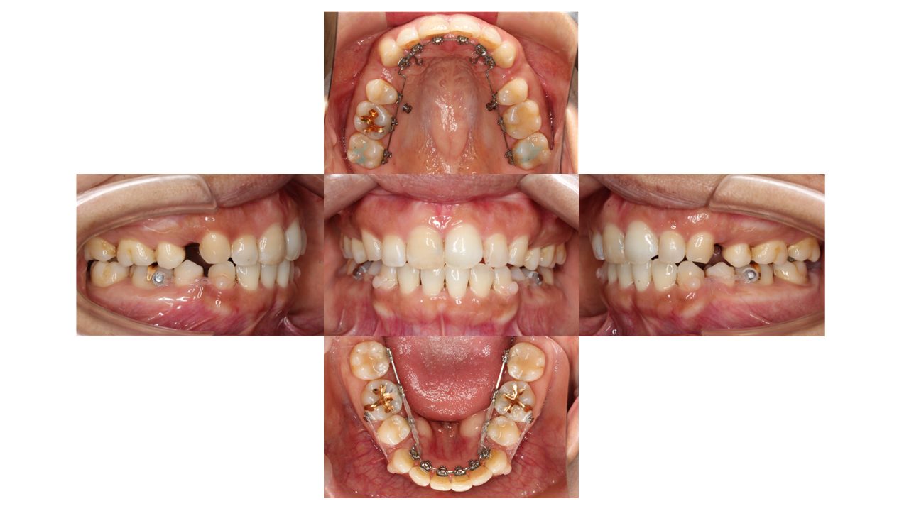
1年10ヵ月経過の口腔内の状態です。
スペースも残り僅かになりました。
ここからはマウスピース型矯正に移行し、最後の微調整をしていきます。

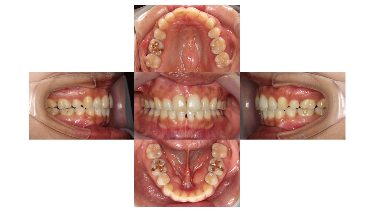
2年2カ月経過の口腔内の状態です。
上下の凸凹が改善し、口元も下がったとご満足いただけました。
| 年齢層 | 20代 |
|---|---|
| 性別 | 女性 |
| 主訴 | 上下の凸凹・口元を下げたい |
| 治療費用 | 検査・診断:税込み38,500円/裏側矯正治療(リンガル矯正):税込1,397,000円 |
| 治療期間 | 約2年2カ月(26回) |
| 抜歯 | 有(【上顎】両側4番【下顎】両側4番) |
| 矯正の装置 | リンガル矯正(裏側矯正) |
| 副作用、リスク | 歯肉退縮,歯根吸収,疼痛,咬合の違和感,装置の違和感,虫歯,歯肉炎 |