menu
close

当院の症例

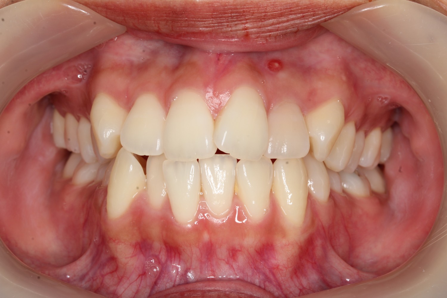
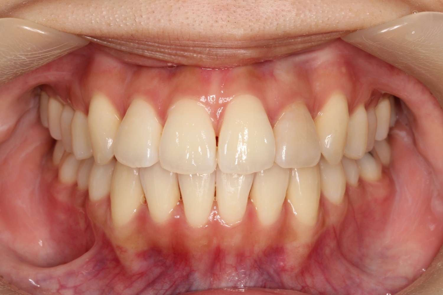
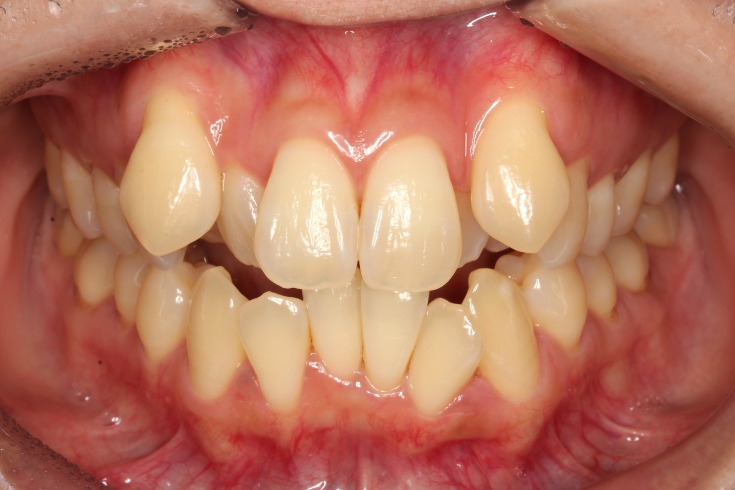
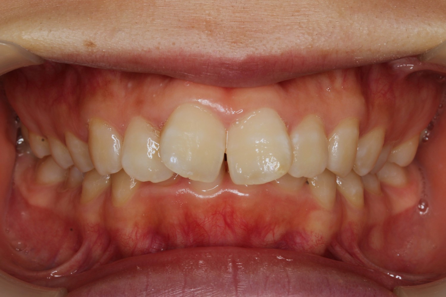
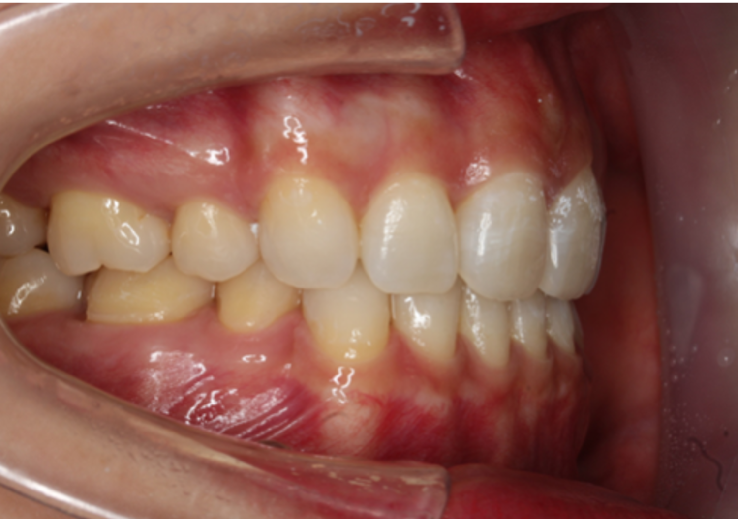
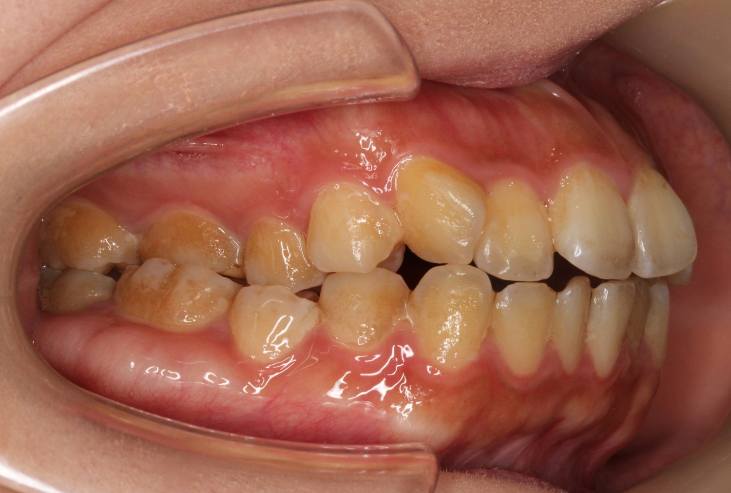
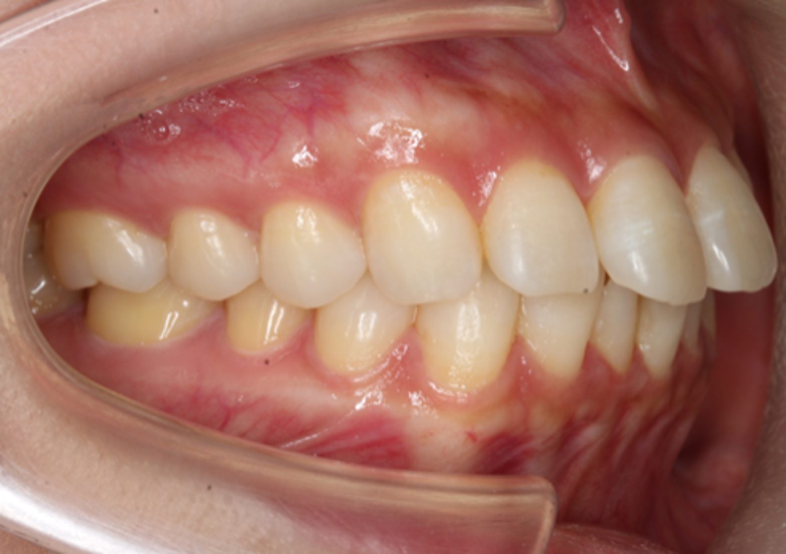
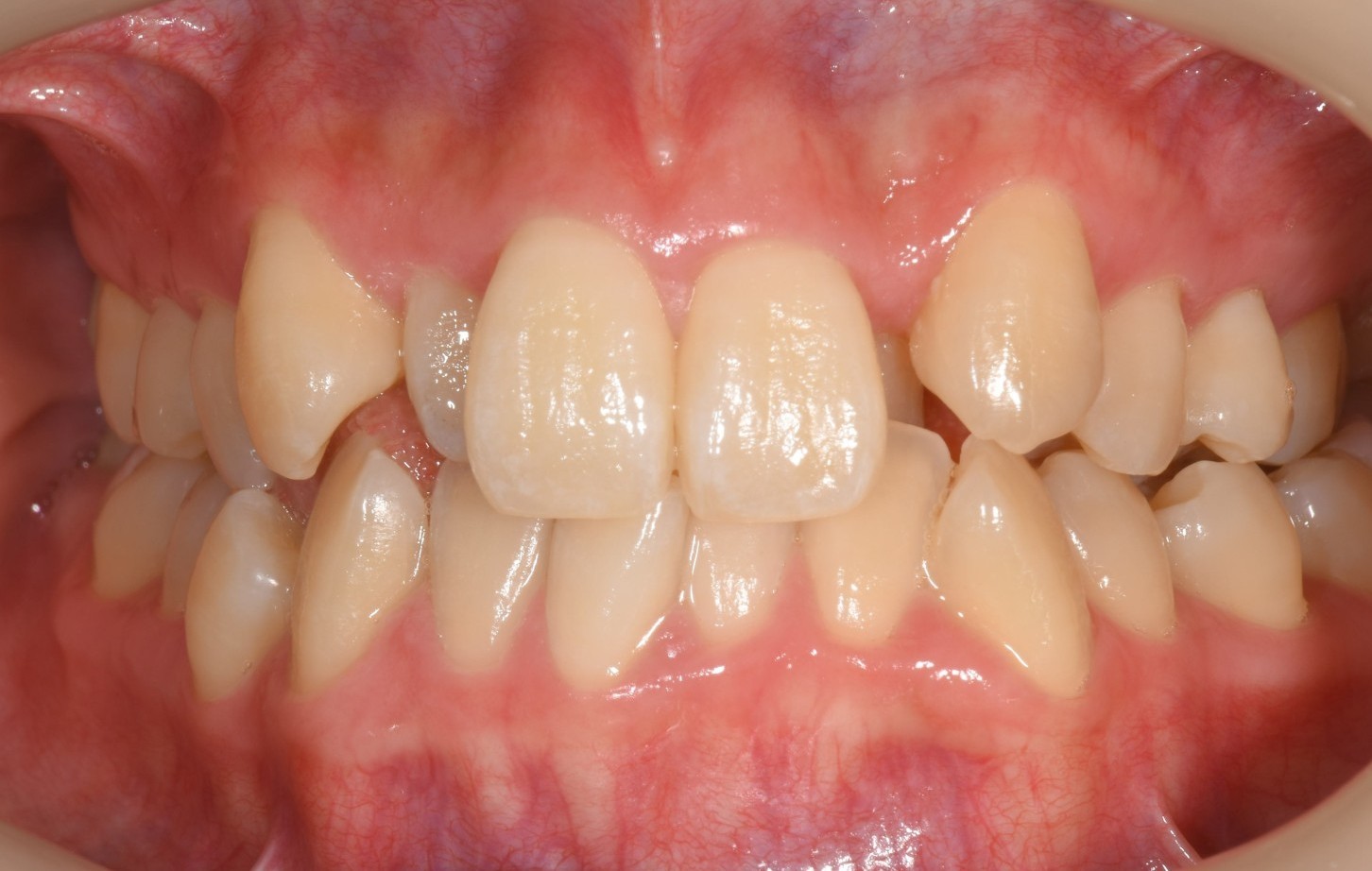
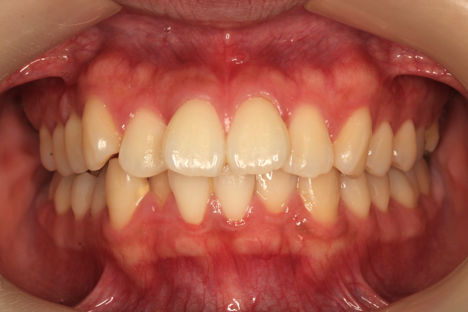
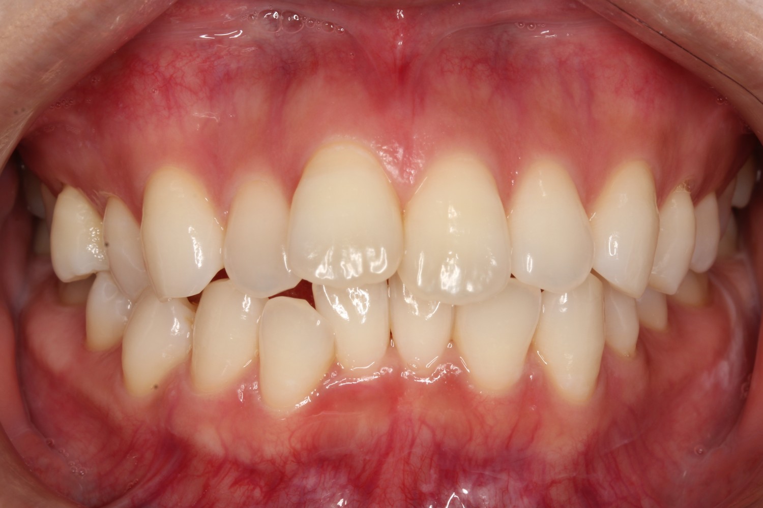
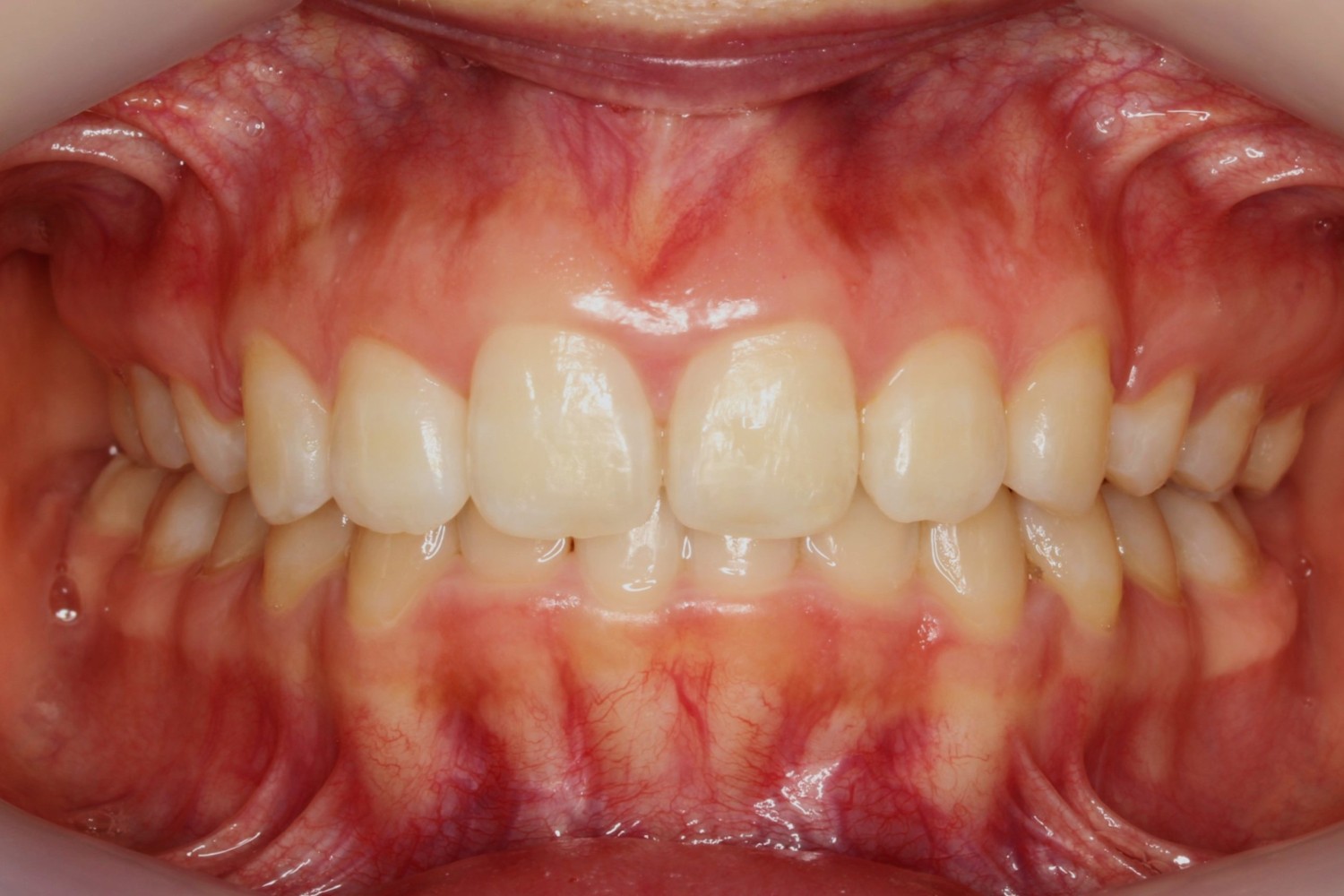
歯の凸凹が気になる・上の前歯が出ている(治療期間:2年8カ月/38回)

年齢層 20代
性別 女性
主訴 歯の凸凹が気になる(叢生)・上の前歯が出ている(上顎前突)
治療費用 検査・診断:税込38,500円/ハーフリンガル矯正(上:裏側/下:表側):税込1,287,000円
治療期間 約2年8か月(38回)
抜歯 有(上顎両側4番、8番)
矯正の装置 ハーフリンガル矯正(上:裏側/下:表側)
副作用、リスク 歯肉退縮,歯根吸収,疼痛,咬合の違和感,装置の違和感,虫歯,歯肉炎
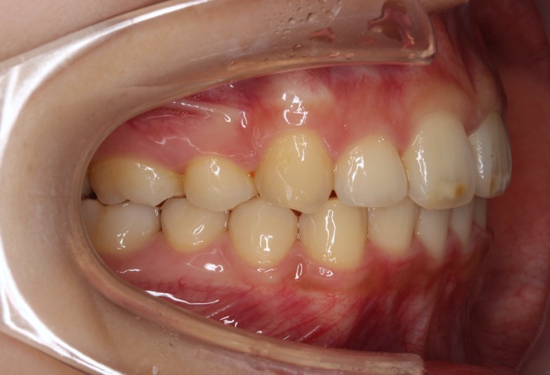
叢生・裏側矯正の症例

Before

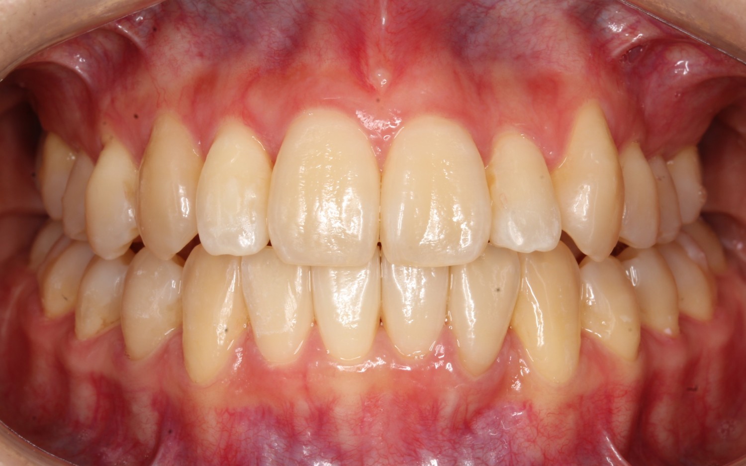
上顎前突・裏側矯正の症例

After

詳しく見る

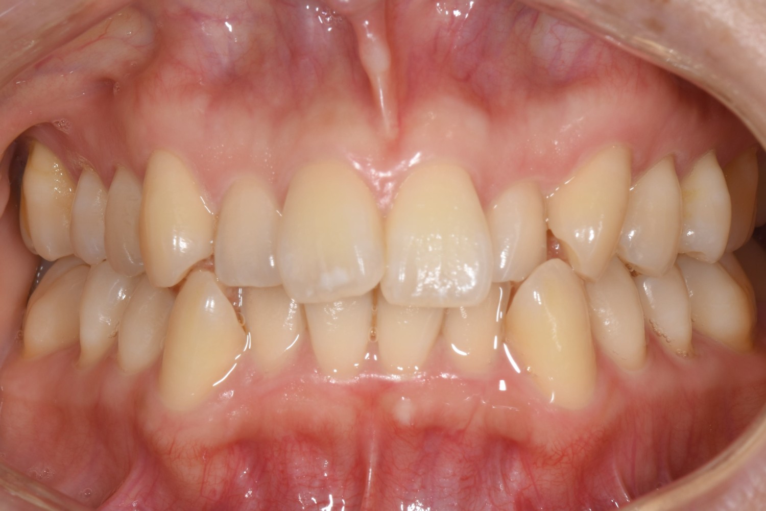
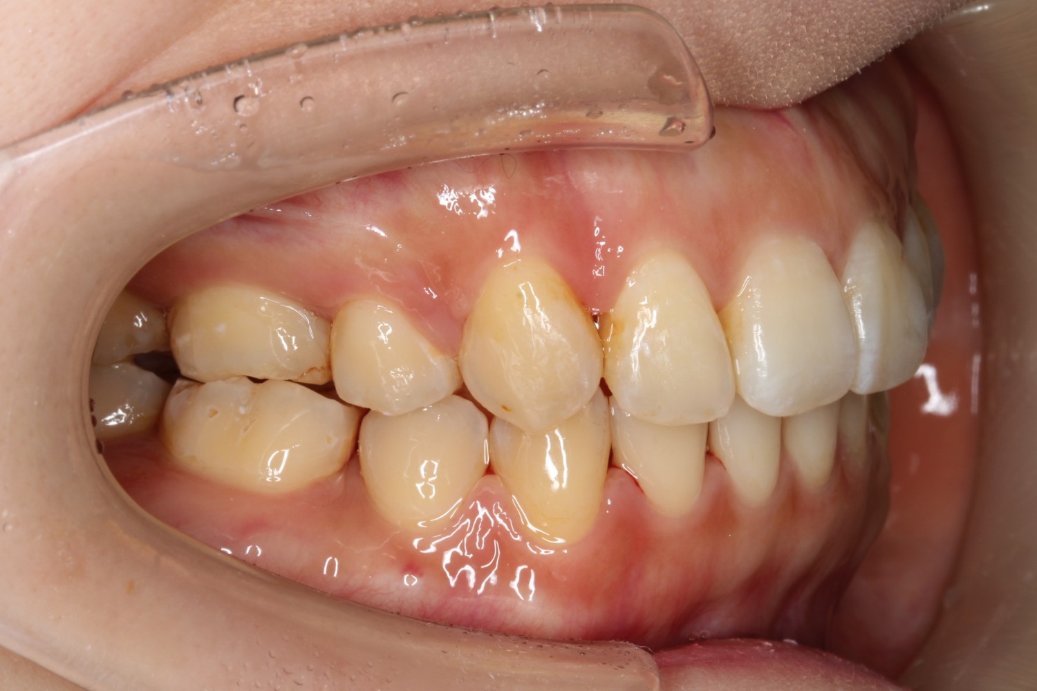
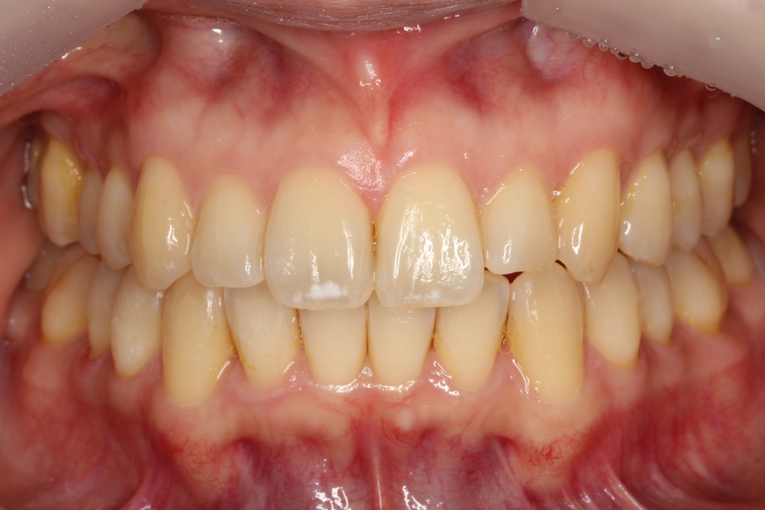
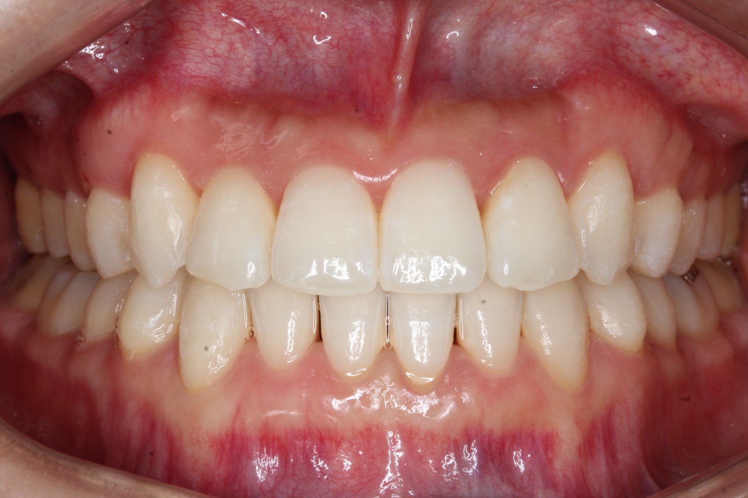
前歯の凸凹・口元を下げたい(治療期間:1年11カ月/通院:18回)

年齢層 20代
性別 女性
主訴 上下の前歯の凸凹・口元を下げたい
治療費用 検査・診断:税込38,500円/裏側矯正治療(リンガル矯正):税込1,397,000円
治療期間 1年11か月(18回)
抜歯 有(【上顎】両側4番【下顎】左側4番、右側5番)
矯正の装置 裏側矯正(舌側矯正)
副作用、リスク 歯肉退縮,歯根吸収,疼痛,咬合の違和感,装置の違和感,虫歯,歯肉炎
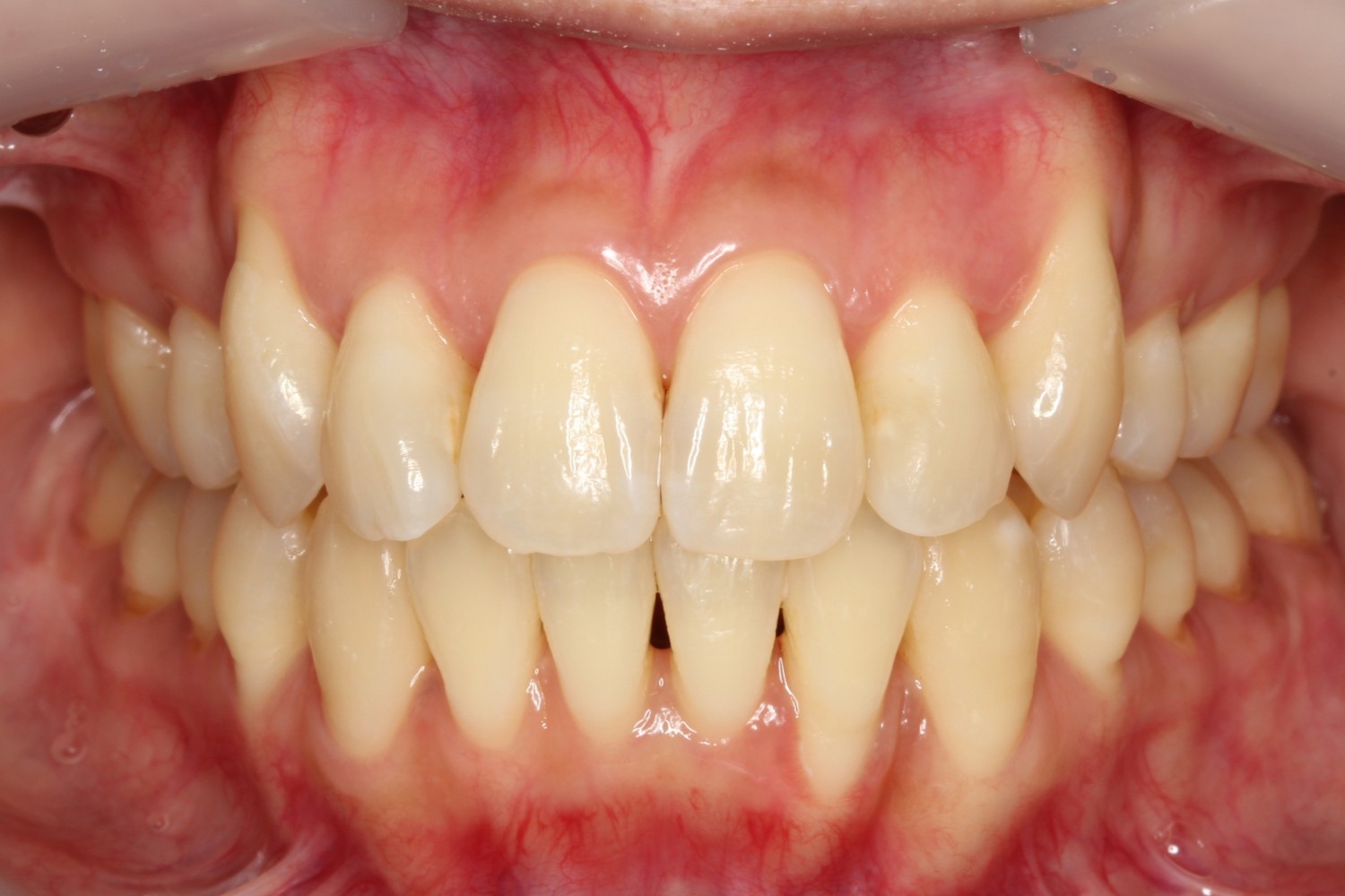
前歯の凸凹・口元下げたい・裏側矯正

Before

前歯の凸凹・口元下げたい・裏側矯正

After

詳しく見る

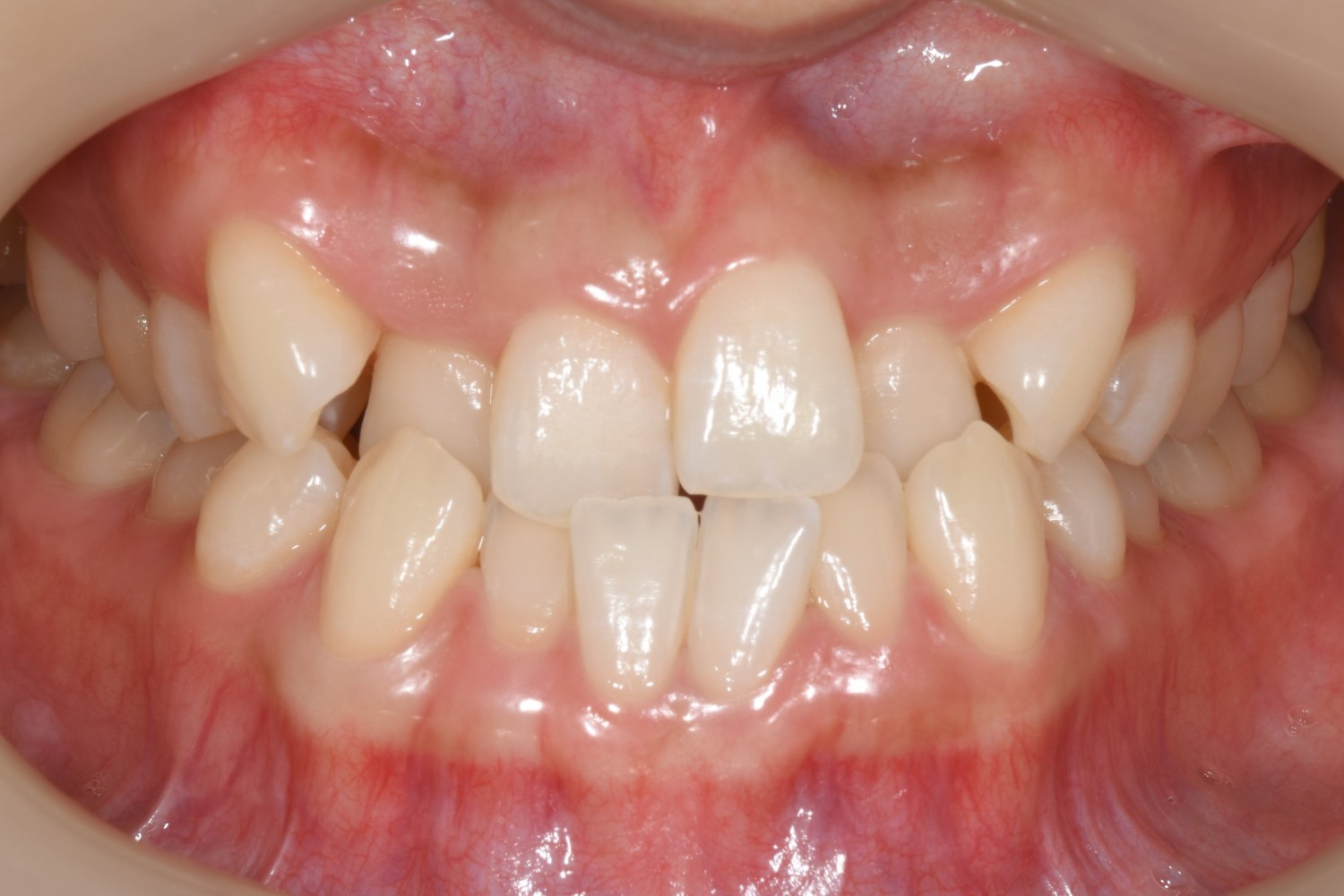
上下前歯の凸凹・上の前歯が出ている(治療期間:1年7カ月/通院:23回)

年齢層 20代
性別 女性
主訴 上下前歯の凸凹・上の前歯が出ている
治療費用 検査・診断:税込38,500円/ハーフリンガル矯正(上:裏側/下:表側):税込1,287,000円
治療期間 1年7カ月(23回)
抜歯 無(非抜歯)
矯正の装置 ハーフリンガル矯正(上:裏側/下:表側)
副作用、リスク 歯肉退縮,歯根吸収,疼痛,咬合の違和感,装置の違和感,虫歯,歯肉炎
上下前歯凸凹 上の前歯が出ている ハーフリンガル矯正

Before

上下前歯凸凹 上の前歯が出ている ハーフリンガル矯正

After

詳しく見る

口が閉じづらい・開咬(治療期間:1年11カ月/通院28回)

年齢層 10代
性別 女性
主訴 上の歯が出ている、口元が出ていて閉じづらい、開咬
治療費用 検査・診断:税込38,500円/表側矯正治療(ラビアル矯正):税込1,177,000円
治療期間 治療期間:1年11カ月/通院28回
抜歯 無(非抜歯)
矯正の装置 表側矯正
副作用、リスク 歯肉退縮,歯根吸収,疼痛,咬合の違和感,装置の違和感,虫歯,歯肉炎
開咬・表側矯正の症例

Before

開咬・表側矯正の症例

After

詳しく見る

上下前歯の凸凹(治療期間:11カ月/通院:9回)

年齢層 20代
性別 女性
主訴 上下前歯の凸凹
治療費用 検査・診断:税込38,500円/デザイン矯正(マウスピース矯正):税込850.000円
治療期間 11カ月(9回)
抜歯 無(非抜歯)
矯正の装置 デザイン矯正(マウスピース矯正)
副作用、リスク 歯肉退縮,歯根吸収,疼痛,咬合の違和感,装置の違和感,虫歯,歯肉炎
上下の凸凹 マウスピース矯正

Before

上下の前歯凸凹 マウスピース矯正

After

詳しく見る

上顎前歯が出ている・口が閉じづらい(治療期間:1年3カ月/通院:22回)

年齢層 20代
性別 男性
主訴 上顎前歯が出ている・口が閉じづらい
治療費用 検査・診断:税込38,500円/ハーフリンガル矯正(上:裏側/下:表側):税込1,287,000円
治療期間 1年3カ月(22回)
抜歯 有(上顎両側4番)
矯正の装置 ハーフリンガル矯正(上:裏側/下:表側)
副作用、リスク 歯肉退縮,歯根吸収,疼痛,咬合の違和感,装置の違和感,虫歯,歯肉炎
上顎前歯が出ている 口が閉じずらい ハーフリンガル

Before

上顎前歯が出ている 口が閉じずらい ハーフリンガル

After

詳しく見る

上顎前歯が出ている・前歯の凸凹(治療期間:1年11カ月/通院:24回)

年齢層 20代
性別 女性
主訴 上の前歯が出ている・全体的な凸凹
治療費用 検査・診断:税込38,500円/ハーフリンガル矯正(上:裏側/下:表側):税込1,287,000円
治療期間 1年11カ月(24回)
抜歯 有(上顎両側4番、下顎両側4番)
矯正の装置 ハーフリンガル矯正(上:裏側/下:表側)
副作用、リスク 歯肉退縮,歯根吸収,疼痛,咬合の違和感,装置の違和感,虫歯,歯肉炎
上の前歯が出ている・叢生 ハーフリンガル矯正

Before

上の前歯が出ている・叢生 ハーフリンガル矯正

After

詳しく見る

上顎前歯が出ている(治療期間:1年10カ月/通院:27回)

年齢層 30代
性別 女性
主訴 上顎前歯が出ている
治療費用 検査・診断:税込38,500円/ハーフリンガル矯正(上:裏側/下:表側):税込1,287,000円
治療期間 1年10カ月(27回)
抜歯 有(上顎両側4番)
矯正の装置 ハーフリンガル矯正(上:裏側/下:表側)
副作用、リスク 歯肉退縮,歯根吸収,疼痛,咬合の違和感,装置の違和感,虫歯,歯肉炎
上の前歯が出ている ハーフリンガル矯正

Before

上の前歯が出ている ハーフリンガル矯正

After

詳しく見る

八重歯と歯のガタガタを治したい(治療期間:2年6カ月/通院38回)

年齢層 30代
性別 女性
主訴 歯のガタガタ(叢生)、八重歯、食いしばりを改善したい
治療費用 検査・診断:税込38,500円/裏側矯正治療(リンガル矯正):税込1,397,000円
治療期間 約2年6か月(38回)
抜歯 有(【上顎】左側4番、右側5番 【下顎】両側4番)
矯正の装置 裏側矯正(舌側矯正)
副作用、リスク 歯肉退縮,歯根吸収,疼痛,咬合の違和感,装置の違和感,虫歯,歯肉炎
八重歯・裏側矯正の症例

Before

八重歯・裏側矯正の症例

After

詳しく見る

左の前歯が出ている・噛み合わせが悪い(治療期間:1年8カ月/通院:27回)

年齢層 20代
性別 女性
主訴 左の前歯が出ている・噛み合わせが悪い
治療費用 検査・診断:税込38,500円/ハーフリンガル矯正(上:裏側/下:表側):税込1,287,000円
治療期間 1年8ヶ月
抜歯 有(上顎両側4番)
矯正の装置 ハーフリンガル矯正(上:裏側/下:表側)
副作用、リスク 歯肉退縮,歯根吸収,疼痛,咬合の違和感,装置の違和感,虫歯,歯肉炎
左の前歯が出ている 噛み合わせが悪い ハーフリンガル矯正

Before

左の前歯が出ている 噛み合わせが悪い ハーフリンガル矯正

After

詳しく見る

前歯を下げたい(治療期間:1年8ヶ月/通院28回)

年齢層 20代
性別 女性
主訴 前歯を下げたい・綺麗な歯並びにしたい
治療費用 検査・診断:税込38,500円/ハーフリンガル矯正(上:裏側/下:表側):税込1,287,000円
治療期間 1年8ヶ月
抜歯 有(上顎両側4番、下顎両側4番)
矯正の装置 ハーフリンガル矯正(上:裏側/下:表側)
副作用、リスク 歯肉退縮,歯根吸収,疼痛,咬合の違和感,装置の違和感,虫歯,歯肉炎
前歯下げたい ハーフリンガル矯正

Before

After

詳しく見る

下の前歯の凸凹・前歯が出ている(治療期間:1年1か月/通院13回)

年齢層 30代
性別 女性
主訴 前歯が凸凹している・前歯が出ている
治療費用 検査・診断:税込38,500円/マウスピース矯正(インビザライン):税込990.000円
治療期間 1年1カ月
抜歯 無(非抜歯)
矯正の装置 マウスピース矯正(インビザライン)
副作用、リスク 歯肉退縮,歯根吸収,疼痛,咬合の違和感,装置の違和感,虫歯,歯肉炎
前歯の凸凹・前歯が出ている・マウスピース矯正

Before

前歯の凸凹・前歯が出ている・マウスピース矯正

After

詳しく見る

開咬とEラインの症例(治療期間:2年/通院28回)

年齢層 20代
性別 女性
主訴 前歯が噛み合わない(開咬)、歯の凸凹(叢生)、八重歯
治療費用 検査・診断:税込38,500円/裏側矯正治療(リンガル矯正):税込1,397,000円
治療期間 約2年(28回)
抜歯 有(上顎両側4番、下顎両側4番)
矯正の装置 裏側矯正(舌側矯正)
副作用、リスク 歯肉退縮,歯根吸収,疼痛,咬合の違和感,装置の違和感,虫歯,歯肉炎
横顔

Before

Eライン

After

詳しく見る

口元を下げたい(治療期間:1年10ヵ月/通院26回)

年齢層 20代
性別 男性
主訴 上の前歯を下げたい
治療費用 検査・診断:税込み38,500円/裏側矯正治療(リンガル矯正):税込1,397,000円
治療期間 1年10カ月(26回)
抜歯 有(上顎両側4番、下顎両側5番)
矯正の装置 裏側矯正(舌側矯正)
副作用、リスク 歯肉退縮,歯根吸収,疼痛,咬合の違和感,装置の違和感,虫歯,歯肉炎
出っ歯・裏側矯正の症例

Before

出っ歯・裏側矯正の症例

After

詳しく見る

口元の突出感が気になる(治療期間:2年1か月/通院31回)

年齢層 20代
性別 女性
主訴 前歯が出ている、口元の突出感が気になる
治療費用 検査・診断:税込38,500円/ハーフリンガル矯正(上:裏側/下:表側):税込1,287,000円
治療期間 2年1カ月(31回)
抜歯 有(上4,4)
矯正の装置 ハーフリンガル矯正(上:裏側/下:表側)
副作用、リスク 歯肉退縮,歯根吸収,疼痛,咬合の違和感,装置の違和感,虫歯,歯肉炎
出っ歯・ハーフリンガル矯正

Before

出っ歯・ハーフリンガル矯正

After

詳しく見る

上下の歯が噛み合わない(治療期間:1年9か月/通院18回)

年齢層 20代
性別 男性
主訴 前歯が凸凹している、上の歯が出ている、上下の歯が噛み合わない、過蓋咬合
治療費用 検査・診断:税込み38,500円/裏側矯正治療(リンガル矯正):税込1,397,000円
治療期間 1年9カ月(18回)
抜歯 無(非抜歯)
矯正の装置 裏側矯正(舌側矯正)
副作用、リスク 歯肉退縮,歯根吸収,疼痛,咬合の違和感,装置の違和感,虫歯,歯肉炎
過蓋咬合・裏側矯正の症例

Before

過蓋咬合・裏側矯正の症例

After

詳しく見る

非対称を治したい(外科症例)

年齢層 20代
性別 女性
主訴 【主訴】歯の非対称を治したい 【診断・症状】右下2番先天欠損、上下凸凹、顎が曲がっている
治療費用 検査・診断:税込55,000円/サージェリーファースト(裏側矯正):税込2,090,000円(+外科費用 約200万)(※外科代につきましては別途かかります)
治療期間 約2年半(33回)
抜歯 無(非抜歯)
矯正の装置 裏側矯正(舌側矯正)
副作用、リスク 歯肉退縮,歯根吸収,疼痛,咬合の違和感,装置の違和感,虫歯,歯肉炎
case24_非対称_外科_before

Before

case24_非対称_外科_after

After

詳しく見る

歯の凸凹を治したい

年齢層 30代
性別 男性
主訴 【主訴】歯の凸凹を治したい 【診断・症状】上下凸凹
治療費用 検査・診断:税込38,500円/裏側矯正治療(リンガル矯正):税込1,397,000円
治療期間 約3年半(45回)
抜歯 有(上4,4、左下4)
矯正の装置 裏側矯正(舌側矯正)
副作用、リスク 歯肉退縮,歯根吸収,疼痛,咬合の違和感,装置の違和感,虫歯,歯肉炎
case23_歯の凹凸_before

Before

case23_歯の凹凸_after

After

詳しく見る

かみ合わせが深いと受け口の症例

年齢層 30代
性別 男性
主訴 【主訴】かみ合わせが深い、受け口 【診断・症状】受け口、過蓋咬合、上下凸凹
治療費用 検査・診断:税込38,500円/裏側矯正治療(リンガル矯正):税込1,397,000円/難症例加算:税込220,000円
治療期間 約3年半(45回)
抜歯 無(非抜歯)
矯正の装置 裏側矯正(舌側矯正)
副作用、リスク 歯肉退縮,歯根吸収,疼痛,咬合の違和感,装置の違和感,虫歯,歯肉炎
case22_かみ合わせが深い_受け口_before

Before

case22_かみ合わせが深い_受け口_after

After

詳しく見る

出っ歯を治したい

年齢層 30代
性別 女性
主訴 【主訴】出っ歯を治したい 【診断・症状】上下凸凹、口元が出てる
治療費用 検査・診断:税込38,500円/裏側矯正治療(リンガル矯正):税込1,397,000円
治療期間 約2年9か月(36回)
抜歯 有(上4,4)
矯正の装置 裏側矯正(舌側矯正)
副作用、リスク 歯肉退縮,歯根吸収,疼痛,咬合の違和感,装置の違和感,虫歯,歯肉炎
case21_出っ歯_before

Before

case21_出っ歯_after

After

詳しく見る