menu
close

すきっ歯(空隙歯列)を治したい

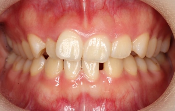
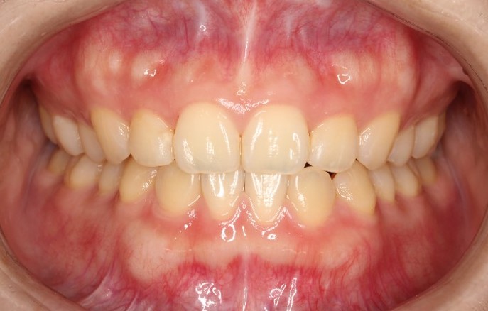
すきっ歯を治したい(治療期間:2年2ヶ月/通院:31回)

年齢層 10代
性別 女性
主訴 下の歯のすきっ歯、右上前歯の重なり
治療費用 検査・診断:税込38,500円/裏側矯正治療(リンガル矯正):税込1,397,000円
治療期間 約2年2か月(31回)
抜歯 有(上顎両側4番)
矯正の装置 裏側矯正(舌側矯正)
副作用、リスク 歯肉退縮,歯根吸収,疼痛,咬合の違和感,装置の違和感,虫歯,歯肉炎
すきっ歯・裏側矯正の症例

Before

すきっ歯・裏側矯正の症例

After

詳しく見る

上の前歯を下げたい、隙間を閉じたい(治療期間:1年9ヵ月/通院:28回)

年齢層 30代
性別 女性
主訴 上顎前歯部を下げたい、隙間を閉じたい
治療費用 検査・診断:税込38,500円/ハーフリンガル矯正(上:裏側/下:表側):税込1,287,000円
治療期間 1年9ヵ月(28回)
抜歯 有(上顎両側4番)
矯正の装置 ハーフリンガル矯正(上:裏側/下:表側)
副作用、リスク 歯肉退縮,歯根吸収,疼痛,咬合の違和感,装置の違和感,虫歯,歯肉炎
上顎前突ハーフリンガル症例

Before

上顎前突ハーフリンガル症例

After

詳しく見る

すきっ歯を治したい

年齢層 20代
性別 女性
主訴 【主訴】すきっ歯を治したい 【診断・症状】空隙歯列、1,1正中離開
治療費用 検査・診断:税込38,500円/裏側矯正治療(リンガル矯正):税込1,397,000円
治療期間 1年8ヵ月(22回)
抜歯 無(非抜歯)
矯正の装置 裏側矯正(舌側矯正)
副作用、リスク 歯肉退縮,歯根吸収,疼痛,咬合の違和感,装置の違和感,虫歯,歯肉炎
case6_すきっ歯_before

Before

case6_すきっ歯_after

After

詳しく見る

ディープバイトとすきっ歯を治したい

年齢層 30代
性別 男性
主訴 【主訴】ディープバイト,すきっ歯 【診断・症状】左上C残存、下顎右下1番欠損、上顎前突、空隙歯列、過蓋咬合
治療費用 検査・診断:税込38,500円/裏側矯正治療(リンガル矯正):税込1,397,000円
治療期間 約3年半(45回)
抜歯 有(左上c、上の4,4)
矯正の装置 裏側矯正(舌側矯正)
副作用、リスク 歯肉退縮,歯根吸収,疼痛,咬合の違和感,装置の違和感,虫歯,歯肉炎
case1_DeepBite_before

Before

case1_DeepBite_after

After

詳しく見る