当院の症例

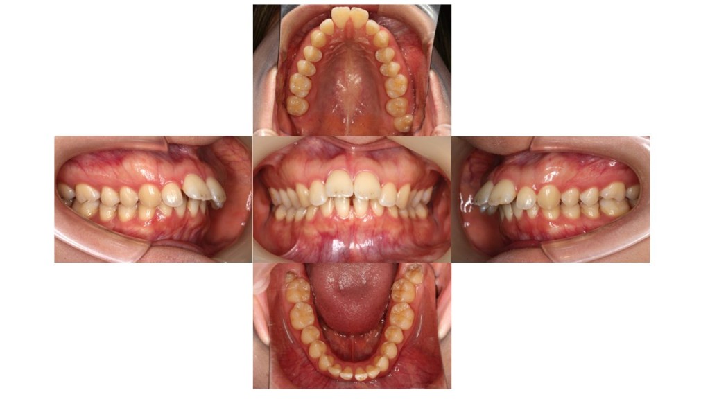
初診時の口腔内の状態です。
上の歯が出ていて、前歯に隙間が空いていることにお悩みでご来院されました。

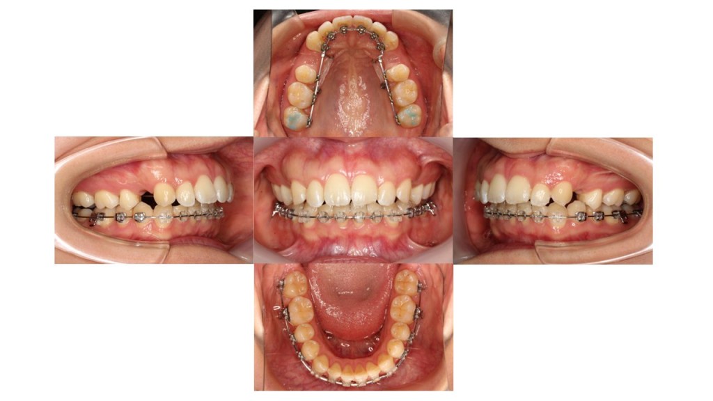
ハーフリンガル(上は裏側/下は表側)の装置で動かし、6カ月経過の口腔内の状態です。
ガタガタ部分が並び、前歯のすき間が改善しました。

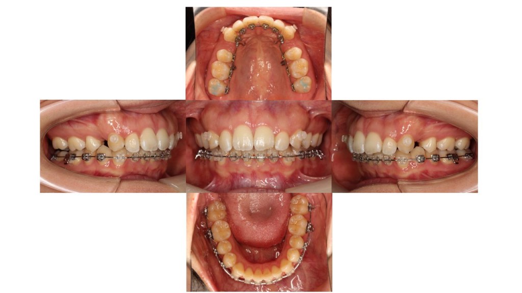
11ヵ月経過の口腔内の状態です。
上顎に歯科用アンカースクリューを埋入し、ゴムの力を使って前歯を引っ張りながら抜歯したスペースを閉じていきます。
患者様にも表側のゴムかけをご協力いただいております。(1日20時間目安)

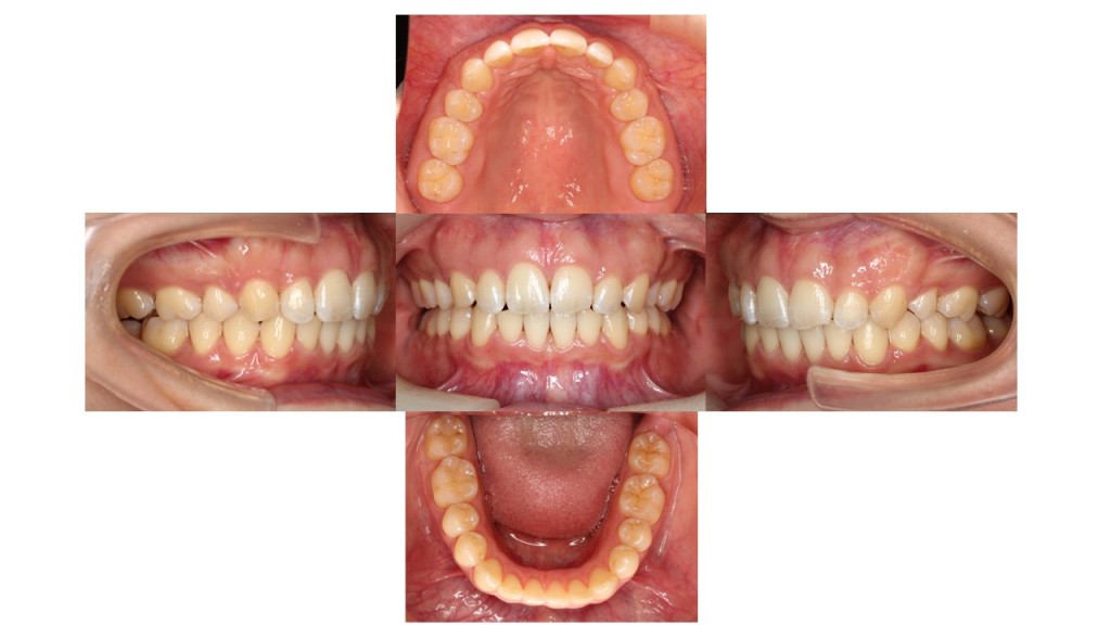
1年9ヵ月経過の口腔内の状態です。
動かす期間は終了したため、保定期間(マウスピースなどの保定装置を使用し、骨や歯を安定させる期間)へ移行しております。
上の前歯が下がったことによりかみ合わせが改善し、お口も閉じやすくなったとご満足いただけました。
| 年齢層 | 30代 |
|---|---|
| 性別 | 女性 |
| 主訴 | 上顎前歯部を下げたい、隙間を閉じたい |
| 治療費用 | 検査・診断:税込38,500円/ハーフリンガル矯正(上:裏側/下:表側):税込1,287,000円 |
| 治療期間 | 1年9ヵ月(28回) |
| 抜歯 | 有(上顎両側4番) |
| 矯正の装置 | ハーフリンガル矯正(上:裏側/下:表側) |
| 副作用、リスク | 歯肉退縮,歯根吸収,疼痛,咬合の違和感,装置の違和感,虫歯,歯肉炎 |