menu
close

出っ歯を治したい

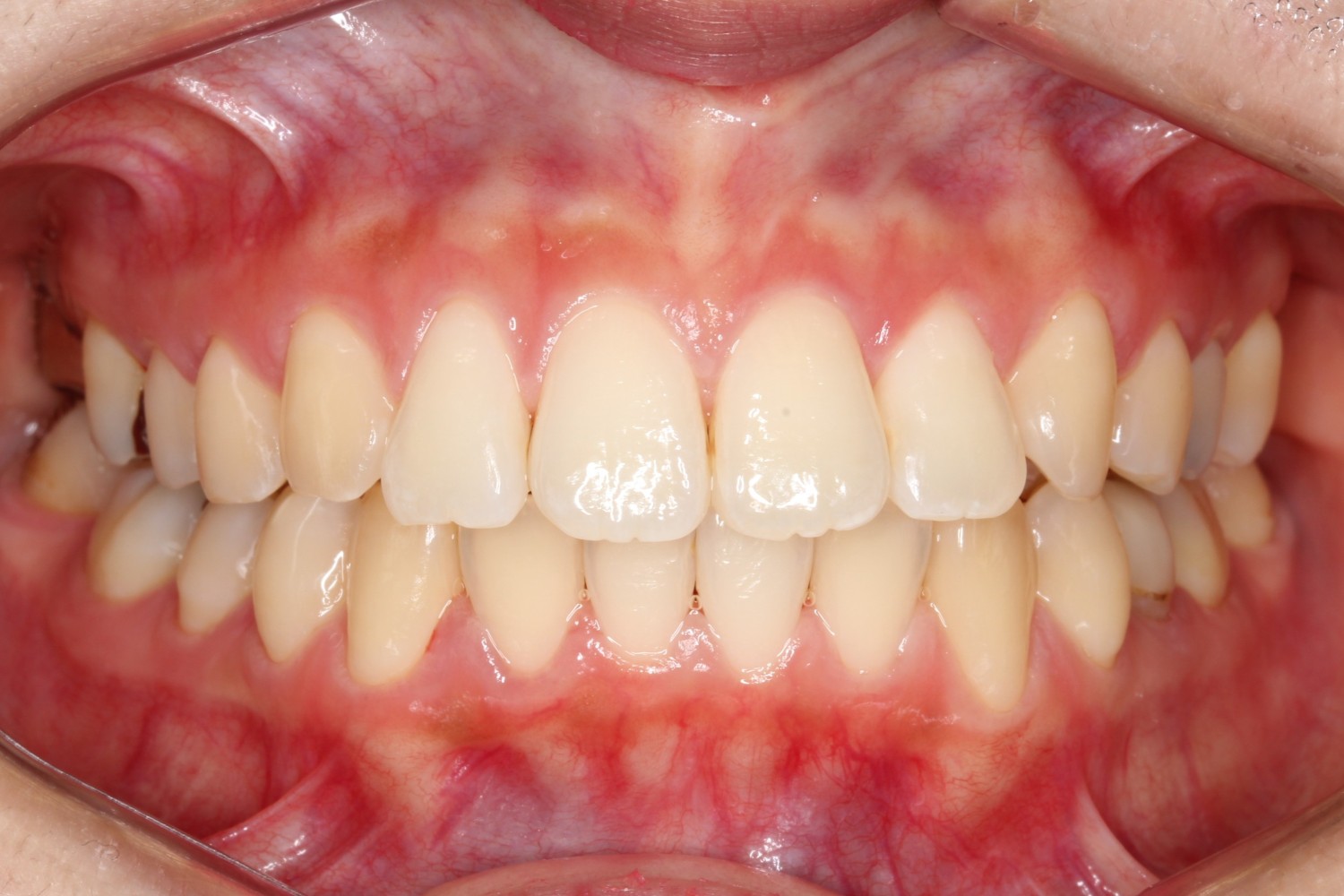
前歯が出ている・噛み合わない(治療期間:1年8ヶ月/通院:24回)

年齢層 30代
性別 女性
主訴 前歯が出ている、噛み合わない
治療費用 検査・診断:税込38,500円/裏側矯正治療(リンガル矯正):税込1,397,000円
治療期間 1年8ヵ月(24回)
抜歯 有(【上顎】両側4番 【下顎】両側5番)
矯正の装置 裏側矯正(舌側矯正)
副作用、リスク 歯肉退縮,歯根吸収,疼痛,咬合の違和感,装置の違和感,虫歯,歯肉炎
出っ歯改善・裏側矯正

Before

出っ歯改善・裏側矯正

After

詳しく見る

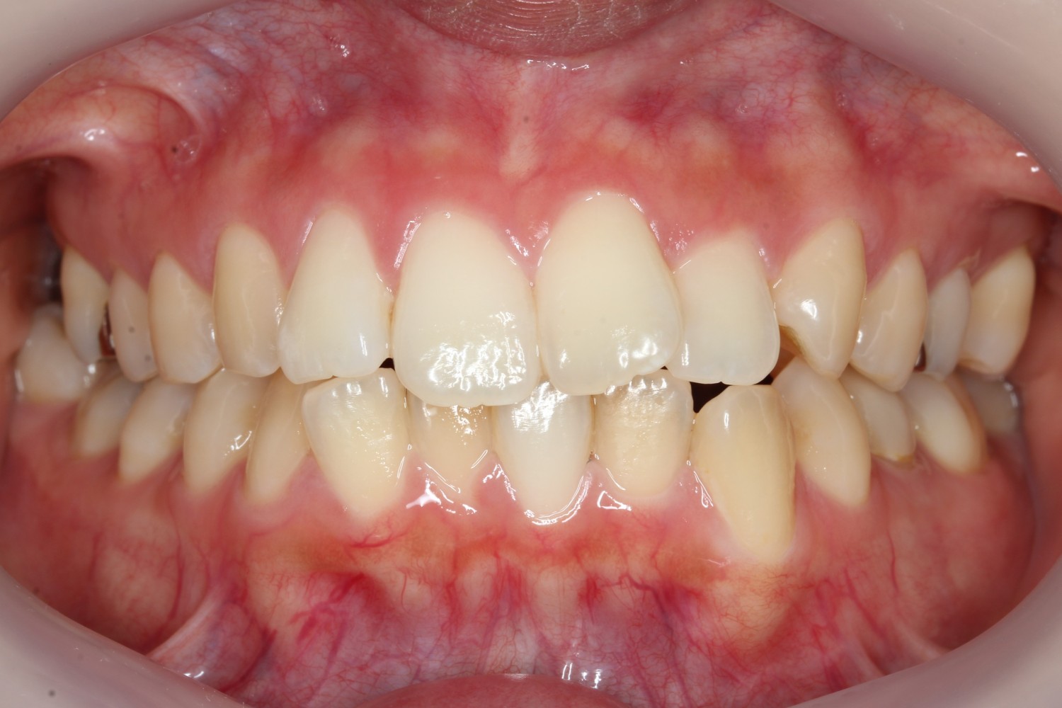
上の前歯を下げたい、隙間を閉じたい(治療期間:1年9ヵ月/通院:28回)

年齢層 30代
性別 女性
主訴 上顎前歯部を下げたい、隙間を閉じたい
治療費用 検査・診断:税込38,500円/ハーフリンガル矯正(上:裏側/下:表側):税込1,287,000円
治療期間 1年9ヵ月(28回)
抜歯 有(上顎両側4番)
矯正の装置 ハーフリンガル矯正(上:裏側/下:表側)
副作用、リスク 歯肉退縮,歯根吸収,疼痛,咬合の違和感,装置の違和感,虫歯,歯肉炎
上顎前突ハーフリンガル症例

Before

上顎前突ハーフリンガル症例

After

詳しく見る

上下の凸凹・上顎前歯が出ているのを治したい(治療期間:1年11か月/通院:22回)

年齢層 10代
性別 男性
主訴 上下の凸凹・上顎前歯が出ている
治療費用 検査・診断:税込38,500円/マウスピース矯正(インビザライン):税込990.000円
治療期間 1年11か月(22回)
抜歯 無(非抜歯)
矯正の装置 マウスピース矯正(インビザライン)
副作用、リスク 歯肉退縮,歯根吸収,疼痛,咬合の違和感,装置の違和感,虫歯,歯肉炎
上下の凸凹 上顎前歯が出ている マウスピース矯正 インビザライン

Before

上下の凸凹 上顎前歯が出ている マウスピース矯正 インビザライン

After

詳しく見る

上顎前歯が出ている(治療期間:1年9ヶ月/通院:10回)

年齢層 20代
性別 女性
主訴 上顎前歯が出ている
治療費用 検査・診断:税込38,500円/マウスピース矯正(インビザライン):税込990.000円
治療期間 1年9ヶ月(10回)
抜歯 無(非抜歯)
矯正の装置 マウスピース矯正(インビザライン)
副作用、リスク 歯肉退縮,歯根吸収,疼痛,咬合の違和感,装置の違和感,虫歯,歯肉炎
上顎前歯が出ている マウスピース矯正 インビザライン

Before

上顎前歯が出ている マウスピース矯正 インビザライン

After

詳しく見る

上の歯が出ている、前歯がかみ合わない(治療期間:1年8ヵ月/通院:26回)

年齢層 20代
性別 女性
主訴 上の歯が出ている、前歯がかみ合わない
治療費用 検査・診断:税込38,500円/裏側矯正治療(リンガル矯正):税込1,397,000円
治療期間 1年8ヵ月(26回)
抜歯 有(上顎両側4番、下顎両側5番)
矯正の装置 裏側矯正(舌側矯正)
副作用、リスク 歯肉退縮,歯根吸収,疼痛,咬合の違和感,装置の違和感,虫歯,歯肉炎
上の歯出ている、裏側矯正症例

Before

上の歯出ている、裏側矯正症例

After

詳しく見る

前歯の突出・凸凹を治したい(治療期間:2年/通院:17回)

年齢層 20代
性別 女性
主訴 前歯の突出・凸凹が気になる(叢生)
治療費用 検査・診断:税込38,500円/マウスピース矯正(インビザライン):税込990.000円
治療期間 2年(17回)
抜歯 無(非抜歯)
矯正の装置 マウスピース矯正(インビザライン)
副作用、リスク 歯肉退縮,歯根吸収,疼痛,咬合の違和感,装置の違和感,虫歯,歯肉炎
上顎前歯の突出 凸凹 インビザライン マウスピース矯正

Before

上顎前歯の突出 凸凹 インビザライン マウスピース矯正

After

詳しく見る

右下2番欠損・過蓋咬合の症例(治療期間:2年1か月/通院:22回)

年齢層 20
性別 男性
主訴 過蓋咬合、凸凹、上の歯が出ている、上下の歯が噛み合わない、
治療費用 検査・診断:税込38,500円/裏側矯正治療(リンガル矯正):税込1,397,000円
治療期間 約1年11か月(22回)
抜歯 非抜歯
矯正の装置 裏側矯正(舌側矯正)
副作用、リスク 歯肉退縮,歯根吸収,疼痛,咬合の違和感,装置の違和感,虫歯,歯肉炎
過蓋咬合・裏側矯正の症例

Before

過蓋咬合・裏側矯正の症例

After

詳しく見る

上顎の前歯が出ている・口元を下げたい(治療期間:2年5か月/通院:27回)

年齢層 20代
性別 女性
主訴 上顎の前歯が出ている・口元を下げたい
治療費用 検査・診断:税込38,500円/ハーフリンガル矯正(上:裏側/下:表側):税込1,287,000円
治療期間 2年5か月(27回)
抜歯 有(上顎4,4)
矯正の装置 ハーフリンガル矯正(上:裏側/下:表側)
副作用、リスク 歯肉退縮,歯根吸収,疼痛,咬合の違和感,装置の違和感,虫歯,歯肉炎
上の前歯が出ている 口元を下げたい

Before

上の前歯が出ている 口元を下げたい

After

詳しく見る

上下前歯の凸凹・前歯が出ている(治療期間:1年9カ月/通院:32回)

年齢層 10代
性別 男性
主訴 歯の凸凹が気になる(叢生)・上の前歯が出ている(上顎前突)
治療費用 検査・診断:税込38,500円/裏側矯正治療(リンガル矯正):税込1,397,000円
治療期間 1年9カ月(32回)
抜歯 有(上顎両側4番・下顎右側1番)
矯正の装置 裏側矯正(舌側矯正)
副作用、リスク 歯肉退縮,歯根吸収,疼痛,咬合の違和感,装置の違和感,虫歯,歯肉炎
上下前歯の凸凹 出っ歯 裏側矯正

Before

上下前歯の凸凹 出っ歯 裏側矯正

After

詳しく見る

上顎前突・再矯正の症例(治療期間:約2年2か月/29回)

年齢層 20代
性別 女性
主訴 上の歯が出ている、矯正後の後戻り
治療費用 検査・診断:税込38,500円/裏側矯正治療(リンガル矯正):税込1,397,000円
治療期間 約2年2カ月(29回)
抜歯 有(上顎両側4番)
矯正の装置 裏側矯正(舌側矯正)
副作用、リスク 歯肉退縮,歯根吸収,疼痛,咬合の違和感,装置の違和感,虫歯,歯肉炎
上顎前突・裏側矯正

Before

上顎前突・裏側矯正

After

詳しく見る

歯の凸凹が気になる・上の前歯が出ている(治療期間:2年8カ月/38回)

年齢層 20代
性別 女性
主訴 歯の凸凹が気になる(叢生)・上の前歯が出ている(上顎前突)
治療費用 検査・診断:税込38,500円/ハーフリンガル矯正(上:裏側/下:表側):税込1,287,000円
治療期間 約2年8か月(38回)
抜歯 有(上顎両側4番、8番)
矯正の装置 ハーフリンガル矯正(上:裏側/下:表側)
副作用、リスク 歯肉退縮,歯根吸収,疼痛,咬合の違和感,装置の違和感,虫歯,歯肉炎
叢生・裏側矯正の症例

Before

上顎前突・裏側矯正の症例

After

詳しく見る

上下前歯の凸凹・上の前歯が出ている(治療期間:1年7カ月/通院:23回)

年齢層 20代
性別 女性
主訴 上下前歯の凸凹・上の前歯が出ている
治療費用 検査・診断:税込38,500円/ハーフリンガル矯正(上:裏側/下:表側):税込1,287,000円
治療期間 1年7カ月(23回)
抜歯 無(非抜歯)
矯正の装置 ハーフリンガル矯正(上:裏側/下:表側)
副作用、リスク 歯肉退縮,歯根吸収,疼痛,咬合の違和感,装置の違和感,虫歯,歯肉炎
上下前歯凸凹 上の前歯が出ている ハーフリンガル矯正

Before

上下前歯凸凹 上の前歯が出ている ハーフリンガル矯正

After

詳しく見る

上顎前歯が出ている・前歯の凸凹(治療期間:1年11カ月/通院:24回)

年齢層 20代
性別 女性
主訴 上の前歯が出ている・全体的な凸凹
治療費用 検査・診断:税込38,500円/ハーフリンガル矯正(上:裏側/下:表側):税込1,287,000円
治療期間 1年11カ月(24回)
抜歯 有(上顎両側4番、下顎両側4番)
矯正の装置 ハーフリンガル矯正(上:裏側/下:表側)
副作用、リスク 歯肉退縮,歯根吸収,疼痛,咬合の違和感,装置の違和感,虫歯,歯肉炎
上の前歯が出ている・叢生 ハーフリンガル矯正

Before

上の前歯が出ている・叢生 ハーフリンガル矯正

After

詳しく見る

上顎前歯が出ている(治療期間:1年10カ月/通院:27回)

年齢層 30代
性別 女性
主訴 上顎前歯が出ている
治療費用 検査・診断:税込38,500円/ハーフリンガル矯正(上:裏側/下:表側):税込1,287,000円
治療期間 1年10カ月(27回)
抜歯 有(上顎両側4番)
矯正の装置 ハーフリンガル矯正(上:裏側/下:表側)
副作用、リスク 歯肉退縮,歯根吸収,疼痛,咬合の違和感,装置の違和感,虫歯,歯肉炎
上の前歯が出ている ハーフリンガル矯正

Before

上の前歯が出ている ハーフリンガル矯正

After

詳しく見る

下の前歯の凸凹・前歯が出ている(治療期間:1年1か月/通院13回)

年齢層 30代
性別 女性
主訴 前歯が凸凹している・前歯が出ている
治療費用 検査・診断:税込38,500円/マウスピース矯正(インビザライン):税込990.000円
治療期間 1年1カ月
抜歯 無(非抜歯)
矯正の装置 マウスピース矯正(インビザライン)
副作用、リスク 歯肉退縮,歯根吸収,疼痛,咬合の違和感,装置の違和感,虫歯,歯肉炎
前歯の凸凹・前歯が出ている・マウスピース矯正

Before

前歯の凸凹・前歯が出ている・マウスピース矯正

After

詳しく見る

口元を下げたい(治療期間:1年10ヵ月/通院26回)

年齢層 20代
性別 男性
主訴 上の前歯を下げたい
治療費用 検査・診断:税込み38,500円/裏側矯正治療(リンガル矯正):税込1,397,000円
治療期間 1年10カ月(26回)
抜歯 有(上顎両側4番、下顎両側5番)
矯正の装置 裏側矯正(舌側矯正)
副作用、リスク 歯肉退縮,歯根吸収,疼痛,咬合の違和感,装置の違和感,虫歯,歯肉炎
出っ歯・裏側矯正の症例

Before

出っ歯・裏側矯正の症例

After

詳しく見る

口元の突出感が気になる(治療期間:2年1か月/通院31回)

年齢層 20代
性別 女性
主訴 前歯が出ている、口元の突出感が気になる
治療費用 検査・診断:税込38,500円/ハーフリンガル矯正(上:裏側/下:表側):税込1,287,000円
治療期間 2年1カ月(31回)
抜歯 有(上4,4)
矯正の装置 ハーフリンガル矯正(上:裏側/下:表側)
副作用、リスク 歯肉退縮,歯根吸収,疼痛,咬合の違和感,装置の違和感,虫歯,歯肉炎
出っ歯・ハーフリンガル矯正

Before

出っ歯・ハーフリンガル矯正

After

詳しく見る

出っ歯を治したい

年齢層 30代
性別 女性
主訴 【主訴】出っ歯を治したい 【診断・症状】上下凸凹、口元が出てる
治療費用 検査・診断:税込38,500円/裏側矯正治療(リンガル矯正):税込1,397,000円
治療期間 約2年9か月(36回)
抜歯 有(上4,4)
矯正の装置 裏側矯正(舌側矯正)
副作用、リスク 歯肉退縮,歯根吸収,疼痛,咬合の違和感,装置の違和感,虫歯,歯肉炎
case21_出っ歯_before

Before

case21_出っ歯_after

After

詳しく見る

出っ歯を治したい

年齢層 30代
性別 女性
主訴 【主訴】出っ歯を治したい 【診断・症状】上下凸凹、出っ歯(上顎前突)
治療費用 検査・診断:税込38,500円/裏側矯正治療(リンガル矯正):税込1,397,000円
治療期間 約2年半(33回)
抜歯 有(上4,4、下5,5)
矯正の装置 裏側矯正(舌側矯正)
副作用、リスク 歯肉退縮,歯根吸収,疼痛,咬合の違和感,装置の違和感,虫歯,歯肉炎
case20_出っ歯_before

Before

case20_出っ歯_after

After

詳しく見る

出っ歯を治したい

年齢層 20代
性別 男性
主訴 【主訴】出っ歯を治したい 【診断・症状】上下凸凹、出っ歯(上顎前突)
治療費用 検査・診断:税込38,500円/裏側矯正治療(リンガル矯正):税込1,397,000円
治療期間 約1年半(20回)
抜歯 有(上4,4のみ)
矯正の装置 裏側矯正(舌側矯正)
副作用、リスク 歯肉退縮,歯根吸収,疼痛,咬合の違和感,装置の違和感,虫歯,歯肉炎
case15_出っ歯_before

Before

case15_出っ歯_after

After

詳しく見る