当院の症例

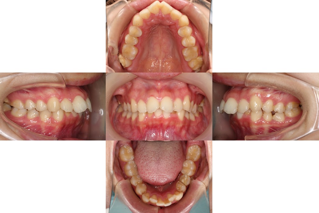
矯正前の口腔内の状態です。
【①下の歯の凸凹が気になる(叢生)②上の前歯が出ている(上顎前突)】
お悩みをご相談いただきました。
また、前歯の噛み合わせが深く、下の歯がほとんど見えていないため上の前歯の印象が強く見えます。
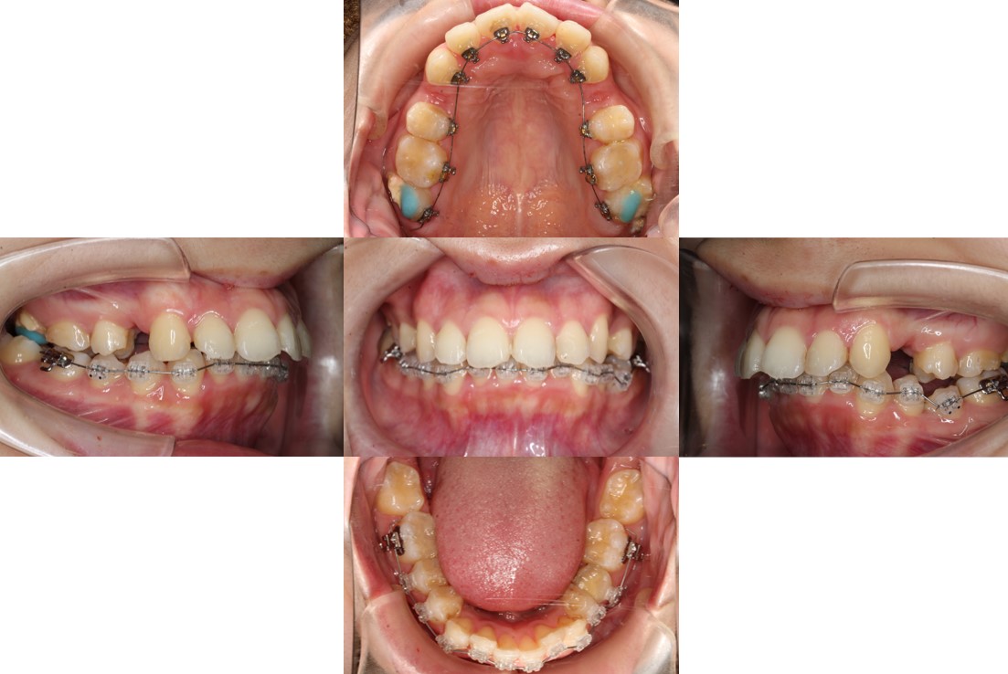
抜歯が終わり、上下の歯に装置を装着しました。
ハーフ矯正のため、上の歯は裏側、下の歯は表側に装置を装着します。
噛み合わせの改善のため、奥歯に青色の高さ上げも装着しています。

半年後の経過です。
上下の歯の凸凹が改善しました。
上の前歯の裏にフックを付けて、前歯を後方に引っ張ています。

当初お悩みだった【①下の歯の凸凹が気になる(叢生)②上の前歯が出ている(上顎前突)】
が改善しました。噛み合わせの深さも改善し、より素敵で上品な笑顔になりました。
| 年齢層 | 20代 |
|---|---|
| 性別 | 女性 |
| 主訴 | 歯の凸凹が気になる(叢生)・上の前歯が出ている(上顎前突) |
| 治療費用 | 検査・診断:税込38,500円/ハーフリンガル矯正(上:裏側/下:表側):税込1,287,000円 |
| 治療期間 | 約2年8か月(38回) |
| 抜歯 | 有(上顎両側4番、8番) |
| 矯正の装置 | ハーフリンガル矯正(上:裏側/下:表側) |
| 副作用、リスク | 歯肉退縮,歯根吸収,疼痛,咬合の違和感,装置の違和感,虫歯,歯肉炎 |