menu
close

当院の症例

上下の凸凹・上顎前歯が出ているのを治したい(治療期間:1年11か月/通院:22回)

上下の凸凹 上顎前歯が出ている マウスピース矯正 インビザライン

Before

上下の凸凹 上顎前歯が出ている マウスピース矯正 インビザライン

After

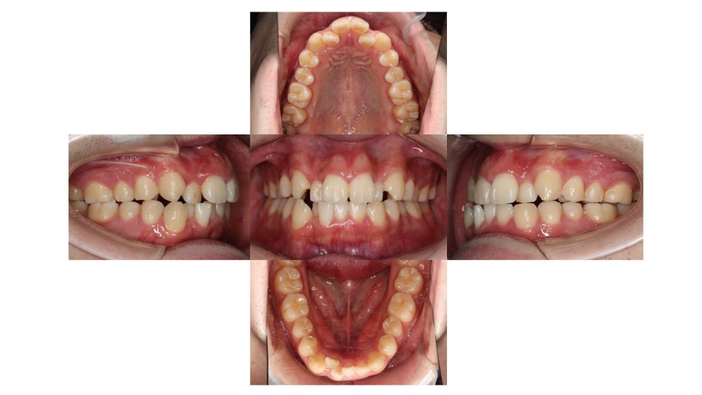
初診

上下の凸凹 上顎前歯が出ている マウスピース矯正 インビザライン

初診時の口腔内の状態です。
上下の凸凹・前歯が出ていることにお悩みでご来院されました。
抜歯はせず、マウスピース型矯正で歯を動かしていきます。

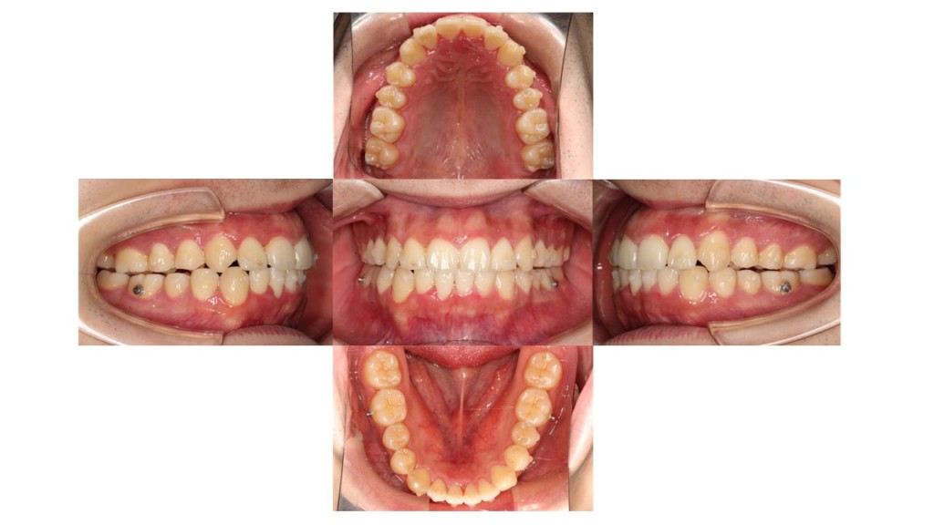
7か月経過

上下の凸凹 上顎前歯が出ている マウスピース矯正 インビザライン

7か月経過の口腔内の状態です。
今回は、マウスピースを装着した状態で口腔内写真を撮影しています。
歯の表面には、「アタッチメント」といわれる突起がついています。
アタッチメントには、歯とマウスピースのフィットを良くし、歯の動きを助ける役割があります。
そして、顎間ゴムを併用してもらうため、奥歯にはメタルボタンも装着しています。

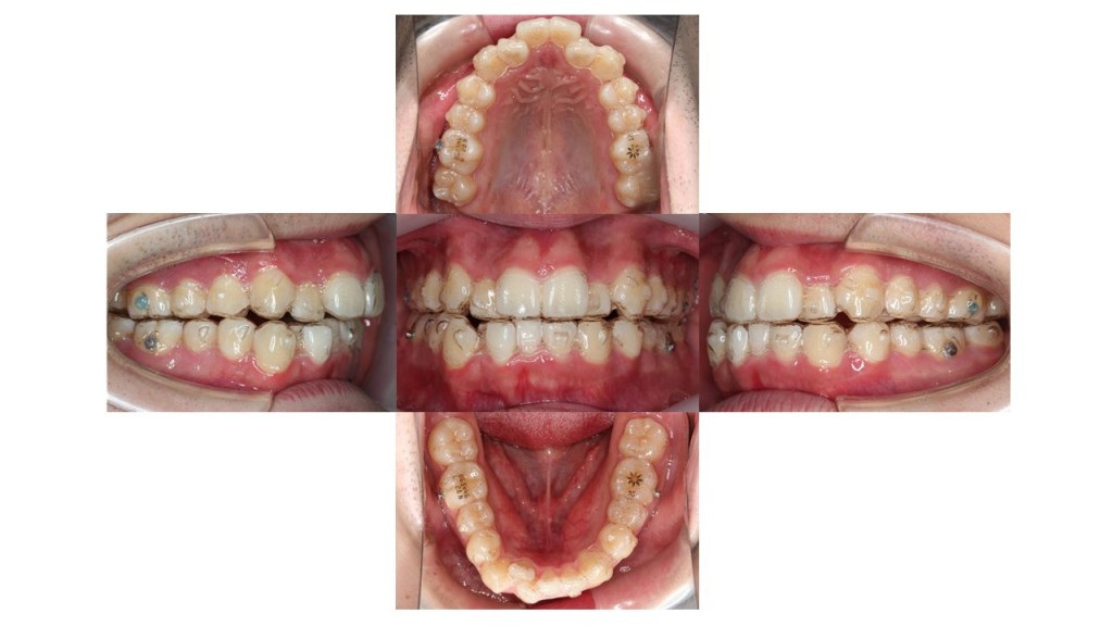
1年経過

上下の凸凹 上顎前歯が出ている マウスピース矯正 インビザライン

1年経過の口腔内の状態です。
全体の凸凹が改善しました。
ここからは、噛み合わせなどの細かい部分の調整していきます。

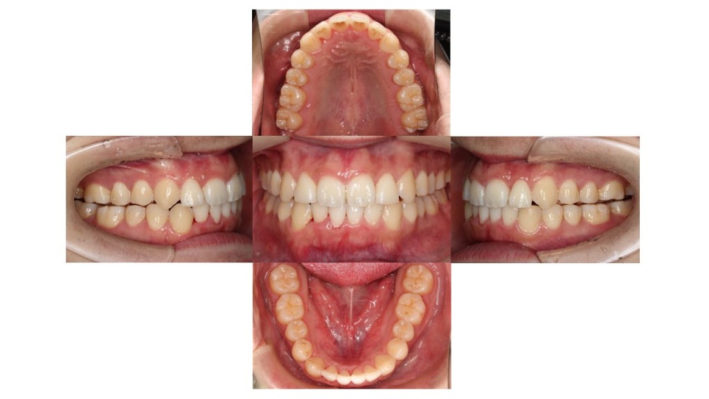
1年11か月経過

上下の凸凹 上顎前歯が出ている マウスピース矯正 インビザライン

1年11ヶ月経過の口腔内の状態です。
上下の凸凹・前歯が下がったとご満足いただけました。

年齢層 10代
性別 男性
主訴 上下の凸凹・上顎前歯が出ている
治療費用 検査・診断:税込38,500円/マウスピース矯正(インビザライン):税込990.000円
治療期間 1年11か月(22回)
抜歯 無(非抜歯)
矯正の装置 マウスピース矯正(インビザライン)
副作用、リスク 歯肉退縮,歯根吸収,疼痛,咬合の違和感,装置の違和感,虫歯,歯肉炎