当院の症例

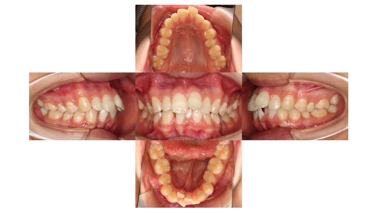
初診時の口腔内の状態です。
上下前歯の凸凹・前歯が出ていることにお悩みでご来院されました。

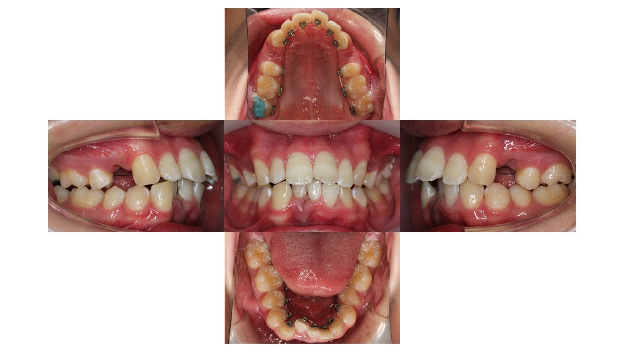
装置装着時の口腔内の状態です。
上顎左右4番目の箇所を抜歯し、裏側矯正(リンガル矯正)で歯を動かしていきます。
現在の歯並びだと、下の歯が上の歯の装置にぶつかってしまう状態のため、上の奥歯にバイトアップという青い材料をつけています。

2カ月経過の口腔内の状態です。
上下前歯の凸凹が少しずつ改善してきました。

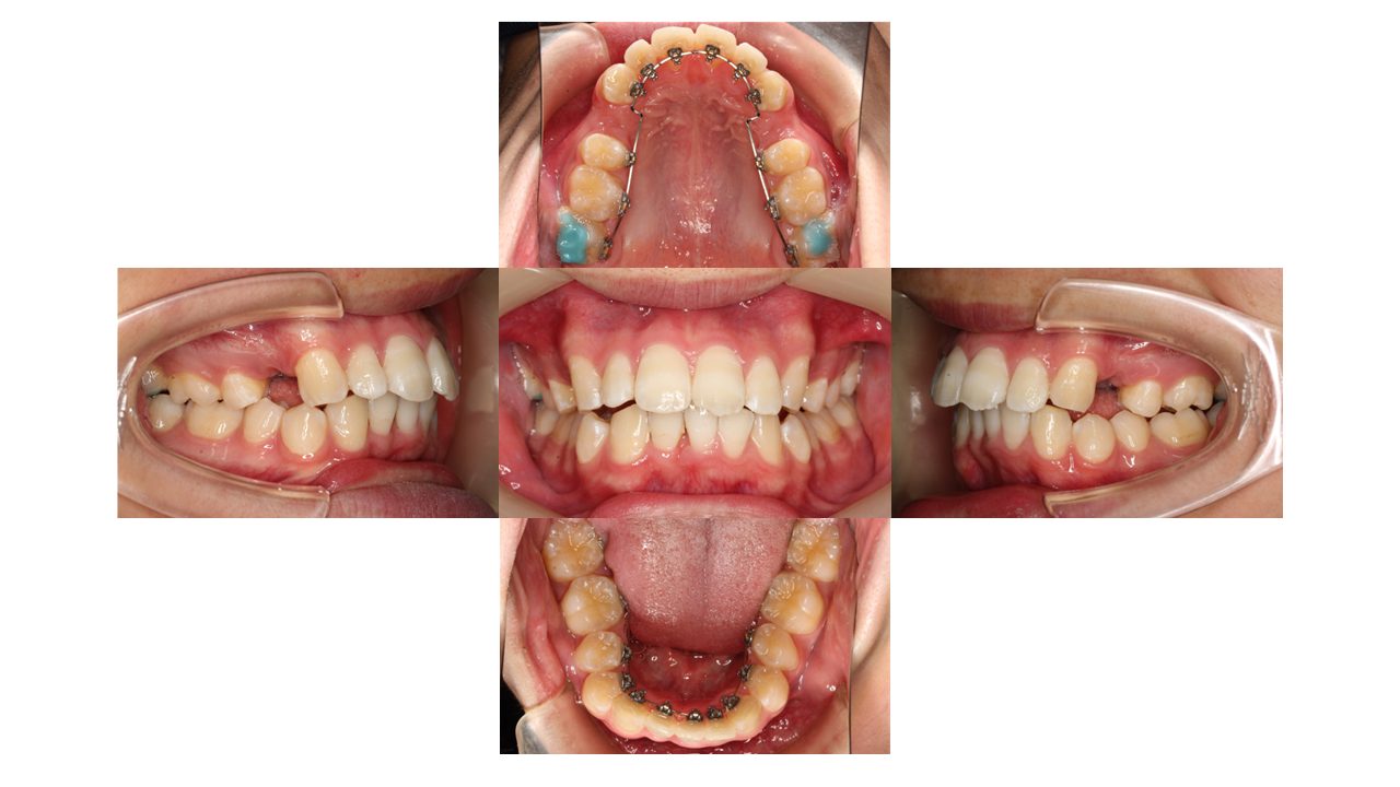
6ヵ月経過の口腔内の状態です。
上顎に歯科用アンカースクリューを埋入し、ゴムの力を使って前歯を引っ張りながら抜歯したスペースを閉じていきます。

10ヵ月経過の口腔内の状態です。
抜歯したスペースが半分以上閉じました。

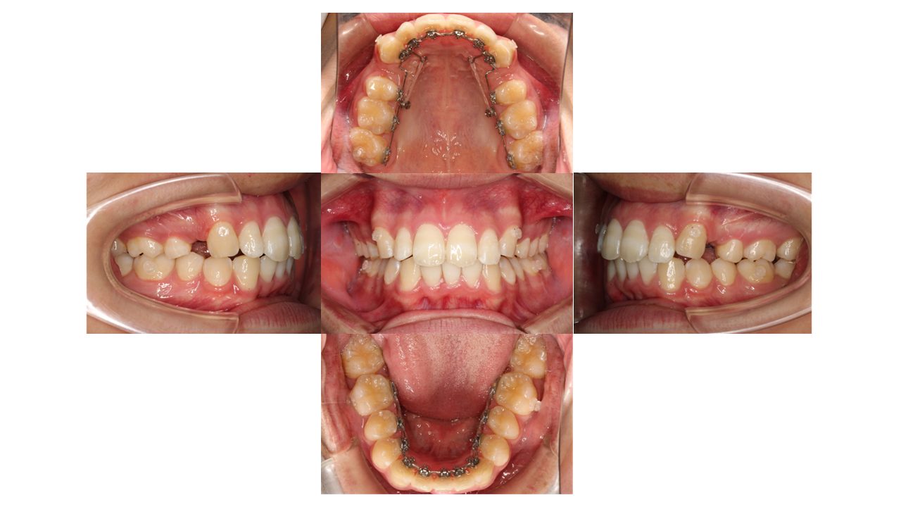
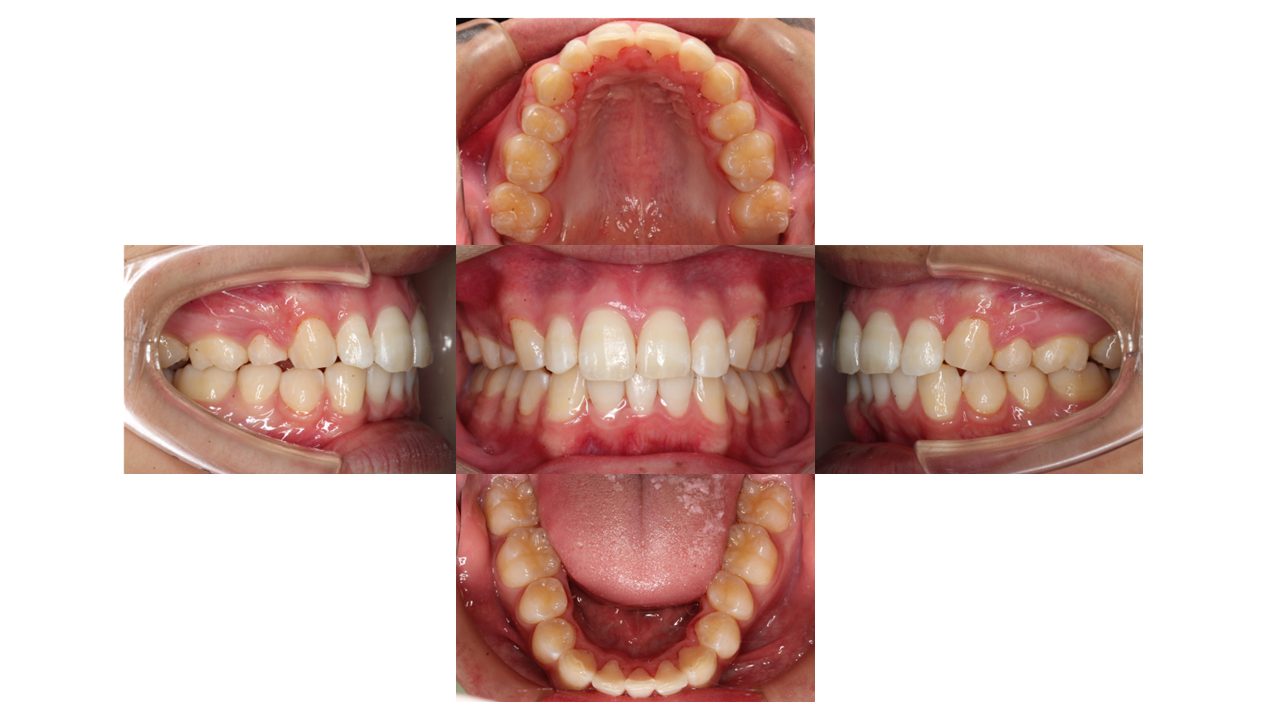
1年9カ月経過の口腔内の状態です。
上下前歯の凸凹が改善し、前歯が下がったとご満足いただけました。
| 年齢層 | 10代 |
|---|---|
| 性別 | 男性 |
| 主訴 | 歯の凸凹が気になる(叢生)・上の前歯が出ている(上顎前突) |
| 治療費用 | 検査・診断:税込38,500円/裏側矯正治療(リンガル矯正):税込1,397,000円 |
| 治療期間 | 1年9カ月(32回) |
| 抜歯 | 有(上顎両側4番・下顎右側1番) |
| 矯正の装置 | 裏側矯正(舌側矯正) |
| 副作用、リスク | 歯肉退縮,歯根吸収,疼痛,咬合の違和感,装置の違和感,虫歯,歯肉炎 |