当院の症例

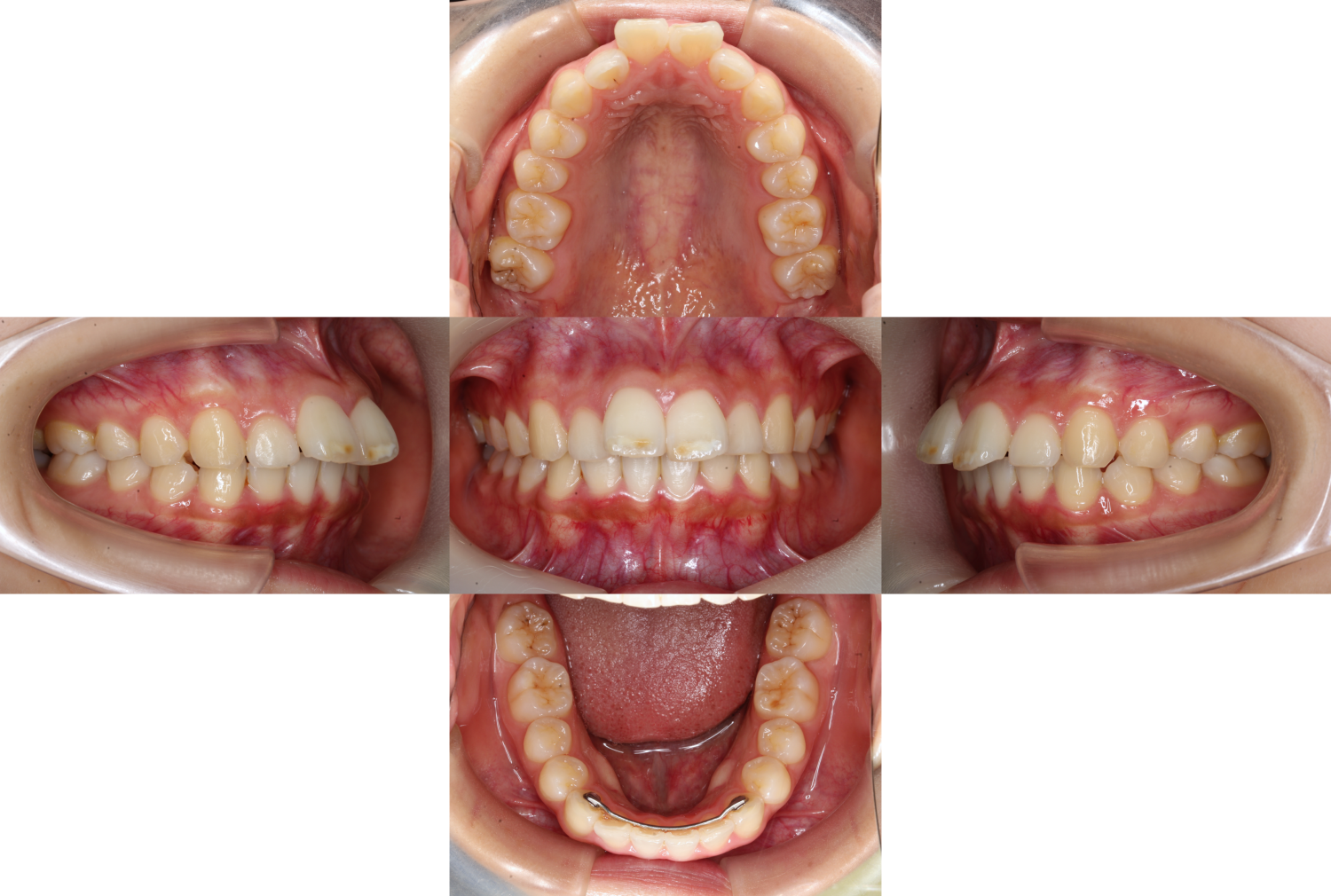
小中学生の頃に他院で矯正をしていた患者様です。
下の前歯の裏側には後戻り防止のワイヤーがついているので
キレイに見えますが、上の前歯は【後戻り】してしまっています。
=後戻りとは=
矯正終了後、保定装置の使用不足、舌癖、口呼吸など様々な原因によって
矯正前の歯並びに戻ってしまう事。
当院では患者様に合わせた保定装置の選択、矯正後の検診や、MFTによって後戻り防止を行っています。
こちらの患者様は矯正していたのが小中学生の頃なので
顎の成長も相まって歯並びが変化してしまったようです。

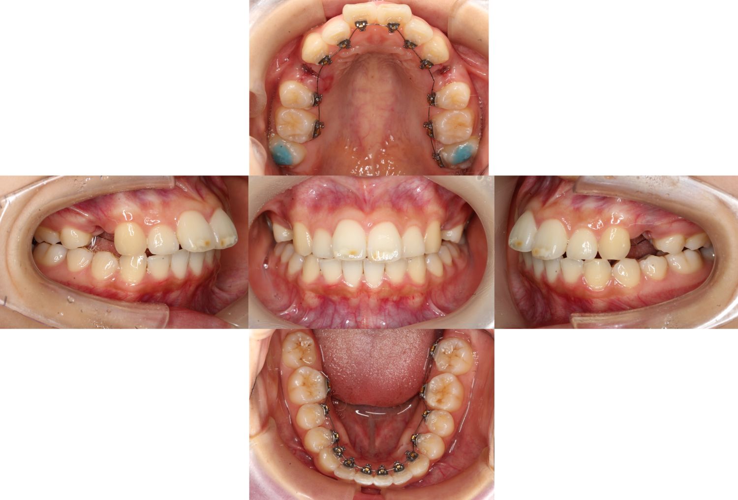
抜歯後装置を装着しました
下の歯は一見キレイに並んでいるように見えますが、
見た目だけでなくしっかりと噛める治療を施すため
上の歯や顎に合わせて細かいガタツキや、歯の高さ、角度などを調整します。

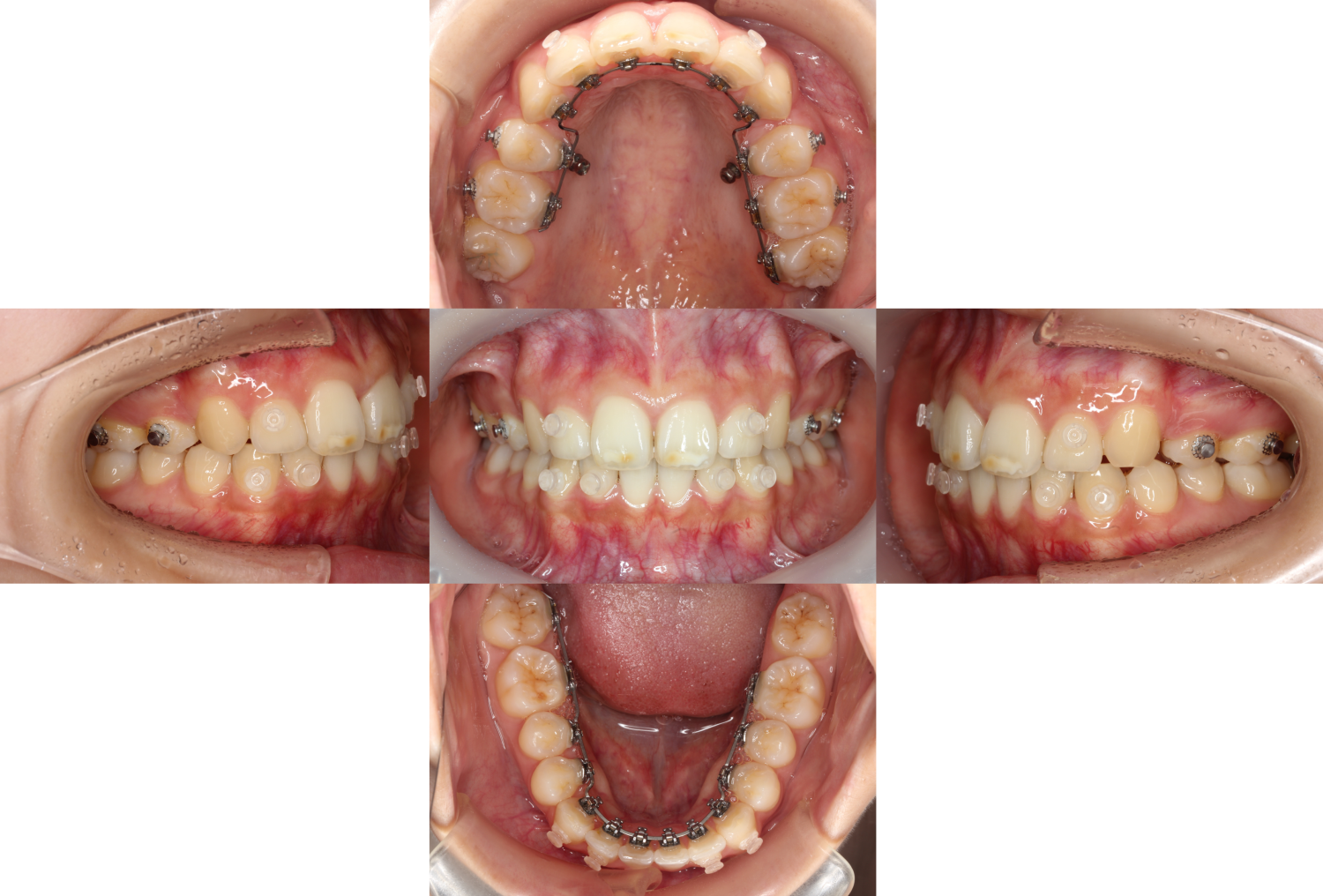
アンカースクリューを使用し、前歯を後ろに下げました。
また、表側にクリア色のボタンを装着し、
ご自身でゴムを掛けて嚙み合わせをより緊密にしていきます。
治療では患者様のご協力も必要不可欠です。

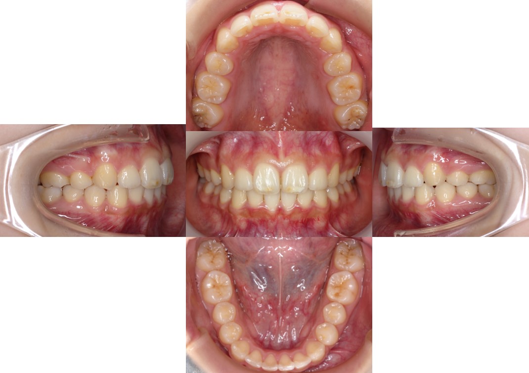
後戻りしていた前歯が収まって上下の歯がしっかり噛むようになりました。
今後は後戻り防止のために経過観察とリテーナーの装着を頑張りましょう!
| 年齢層 | 20代 |
|---|---|
| 性別 | 女性 |
| 主訴 | 上の歯が出ている、矯正後の後戻り |
| 治療費用 | 検査・診断:税込38,500円/裏側矯正治療(リンガル矯正):税込1,397,000円 |
| 治療期間 | 約2年2カ月(29回) |
| 抜歯 | 有(上顎両側4番) |
| 矯正の装置 | 裏側矯正(舌側矯正) |
| 副作用、リスク | 歯肉退縮,歯根吸収,疼痛,咬合の違和感,装置の違和感,虫歯,歯肉炎 |