当院の症例

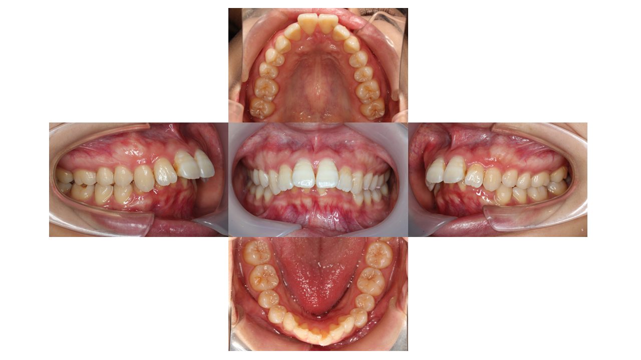
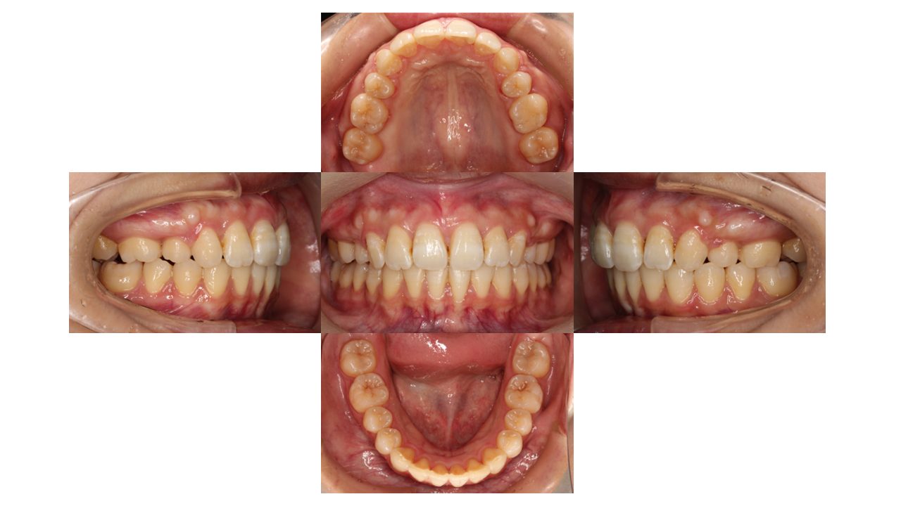
初診時の口腔内の状態です。
上顎の前歯が出ていることにお悩みでご来院されました。

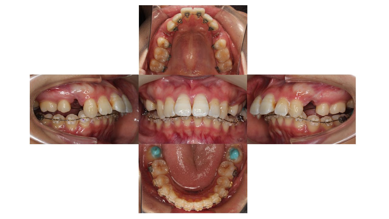
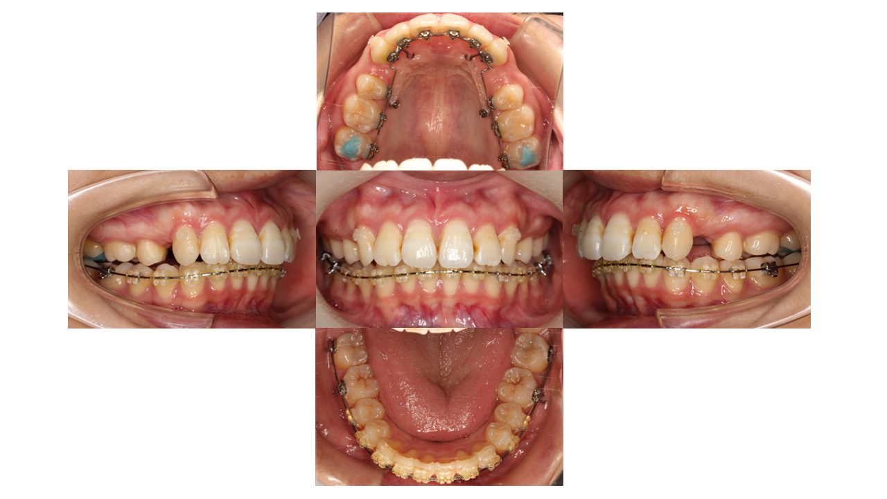
装置装着時の口腔内の状態です。
上顎左右ともに前から4番目の箇所を抜歯し、ハーフリンガル(上:裏側/下:表側)の装置で動かしていきます。
現在の歯並びだと、下の歯が上の歯の装置にぶつかってしまう状態のため、下の奥歯にバイトアップという青い材料をつけて嚙み合わせをあげています。

2カ月経過の口腔内の状態です。
全体の凸凹が改善しました。
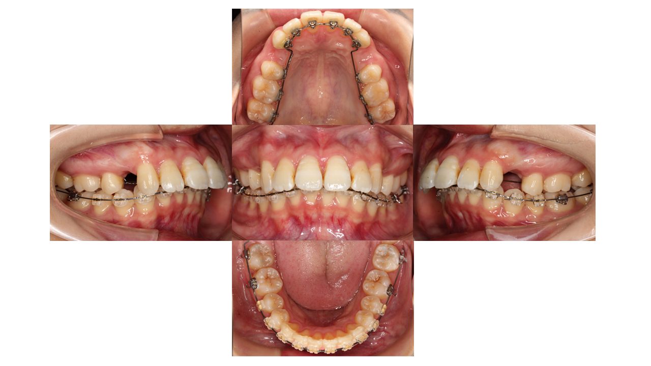
7カ月経過の口腔内の状態です。
上顎に歯科用のアンカースクリューを埋入し、ゴムの力で前歯を引っぱりながら抜歯したスペースを閉じていきます。

2年1カ月経過の口腔内の状態です。
スペースが半分以上閉じてきました。

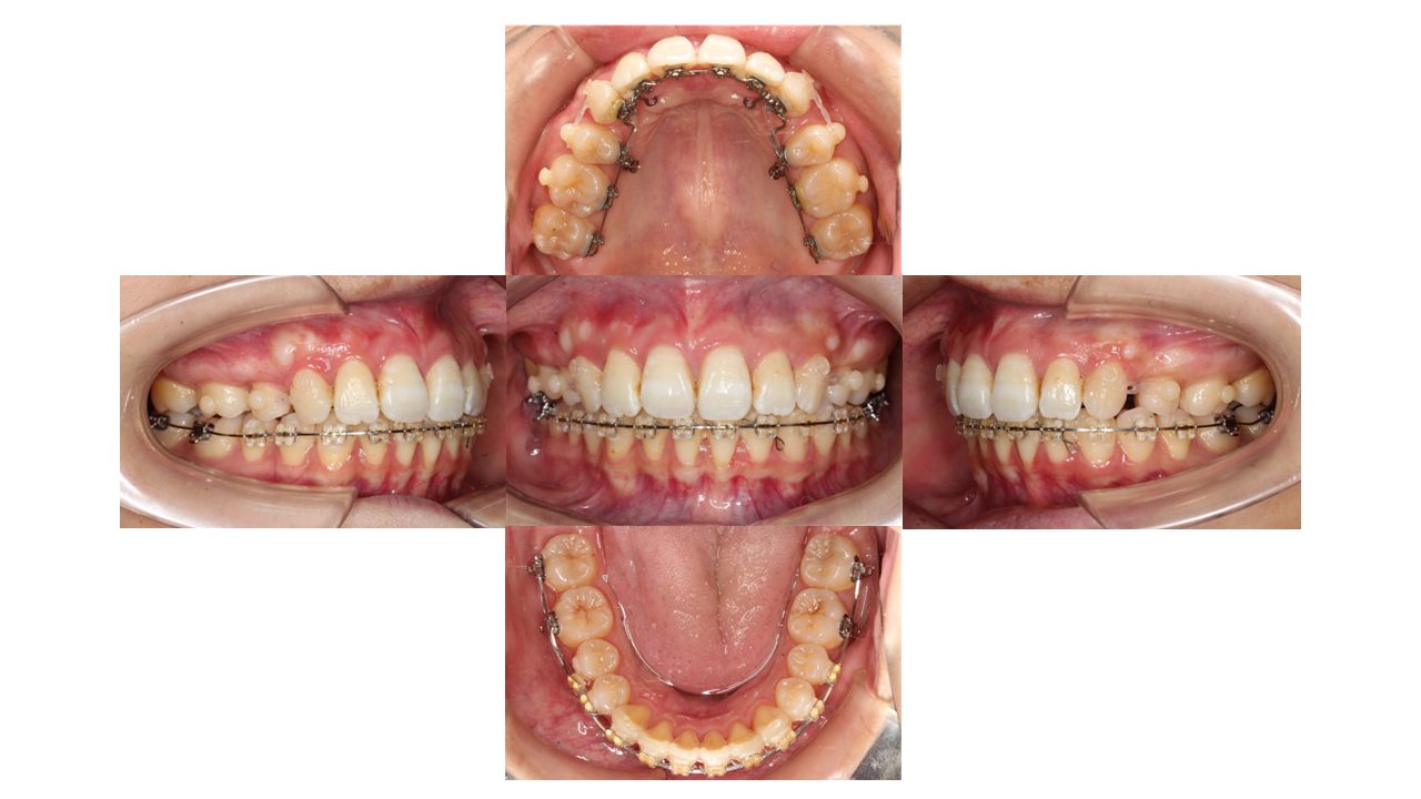
2年5カ月経過の口腔内の状態です。
上顎の前歯が改善し、口元も下がったとご満足いただけました。
| 年齢層 | 20代 |
|---|---|
| 性別 | 女性 |
| 主訴 | 上顎の前歯が出ている・口元を下げたい |
| 治療費用 | 検査・診断:税込38,500円/ハーフリンガル矯正(上:裏側/下:表側):税込1,287,000円 |
| 治療期間 | 2年5か月(27回) |
| 抜歯 | 有(上顎4,4) |
| 矯正の装置 | ハーフリンガル矯正(上:裏側/下:表側) |
| 副作用、リスク | 歯肉退縮,歯根吸収,疼痛,咬合の違和感,装置の違和感,虫歯,歯肉炎 |