menu
close

当院の症例

右下2番欠損・過蓋咬合の症例(治療期間:2年1か月/通院:22回)

過蓋咬合・裏側矯正の症例

Before

過蓋咬合・裏側矯正の症例

After

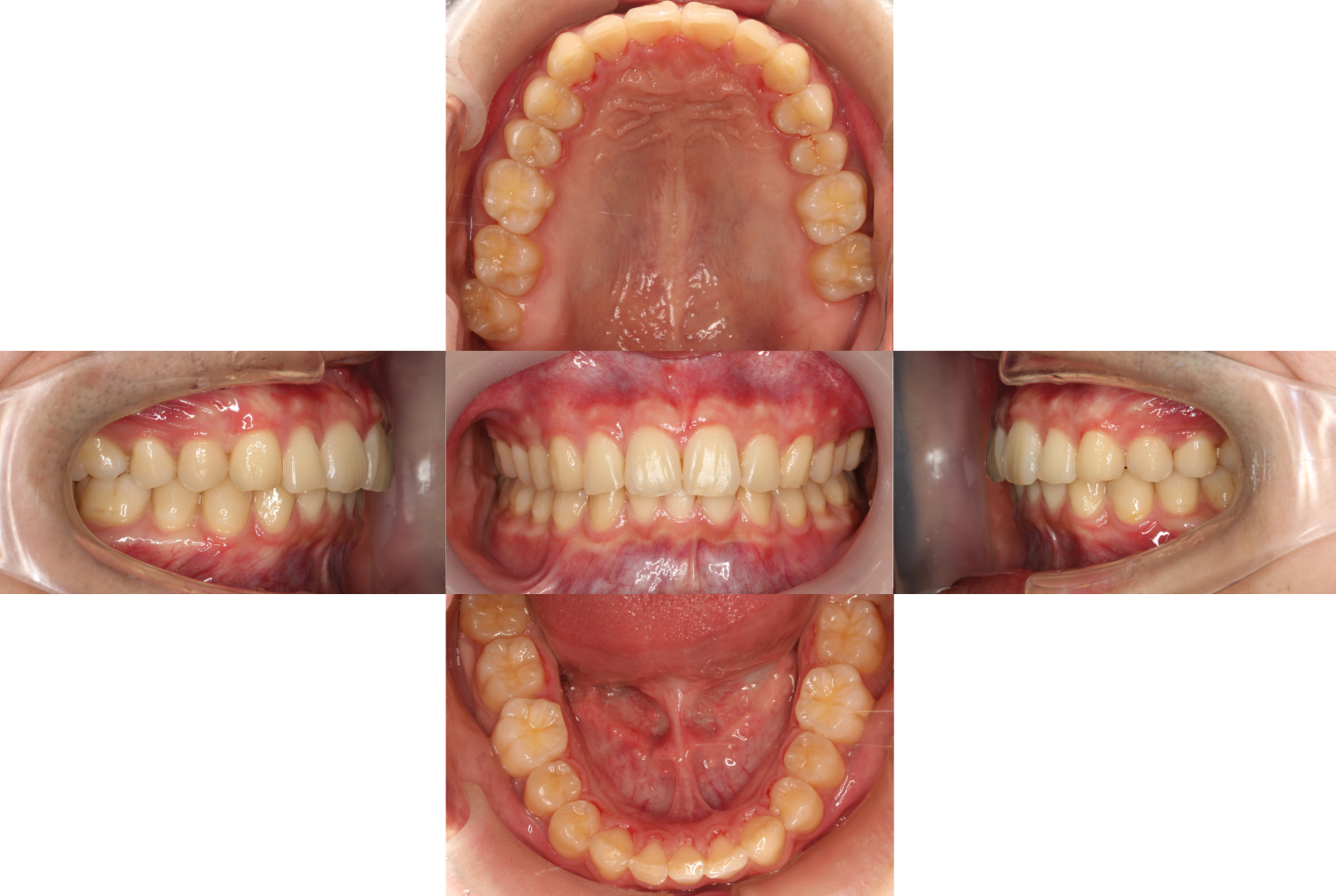
初診時
過蓋咬合・裏側矯正の症例

初診時の口腔内です。
【凸凹、上の歯が出ている、上下の歯が噛み合わない】等をお悩みでカウンセリングにいらっしゃいました。
また、こちらの患者様は先天的に右下の二番目の歯が欠損しています。
【欠損歯】は珍しくなく、他の患者様と同様に・患者様のお悩み・骨格・お顔・歯のバランス等を分析してその患者様に合った矯正治療を行います。

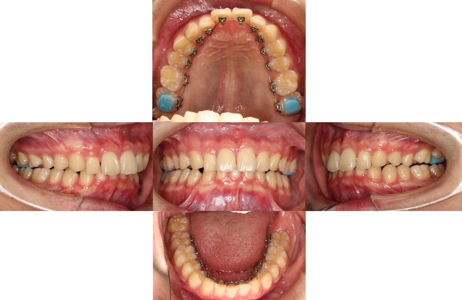
上下装置装着


過蓋咬合・裏側矯正の症例

上下の歯に装置を装着しました。
上の奥歯には「バイトアップ」と呼ばれる青色のレジンが付いています。
バイトアップは、嚙み合わせの調整や装置の脱離防止のために一時的に装着します。

1年1か月後
過蓋咬合・裏側矯正の症例

嚙み合わせが改善し、下の前歯が見えてきました。
バイトアップも必要なくなったため除去しています。

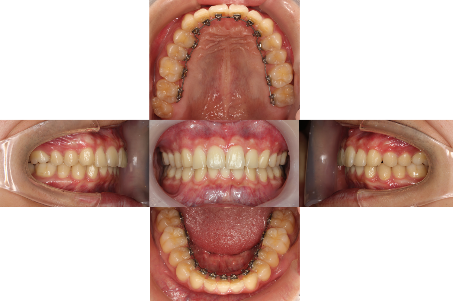
約1年11か月後

過蓋咬合・裏側矯正の症例

お悩みだった【凸凹、上の歯が出ている、上下の歯が噛み合わない】
等が改善しました。
また、右下2番欠損に合わせて左右、上下、噛み合わせのバランスも均等に仕上がりました。

年齢層 20
性別 男性
主訴 過蓋咬合、凸凹、上の歯が出ている、上下の歯が噛み合わない、
治療費用 検査・診断:税込38,500円/裏側矯正治療(リンガル矯正):税込1,397,000円
治療期間 約1年11か月(22回)
抜歯 非抜歯
矯正の装置 裏側矯正(舌側矯正)
副作用、リスク 歯肉退縮,歯根吸収,疼痛,咬合の違和感,装置の違和感,虫歯,歯肉炎