menu
close

ハーフリンガル矯正

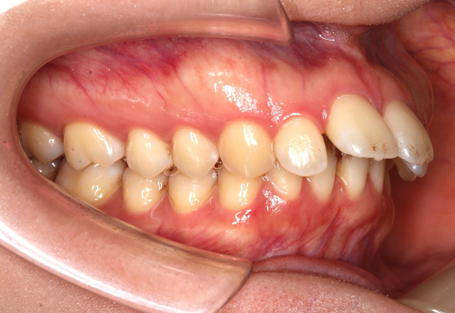
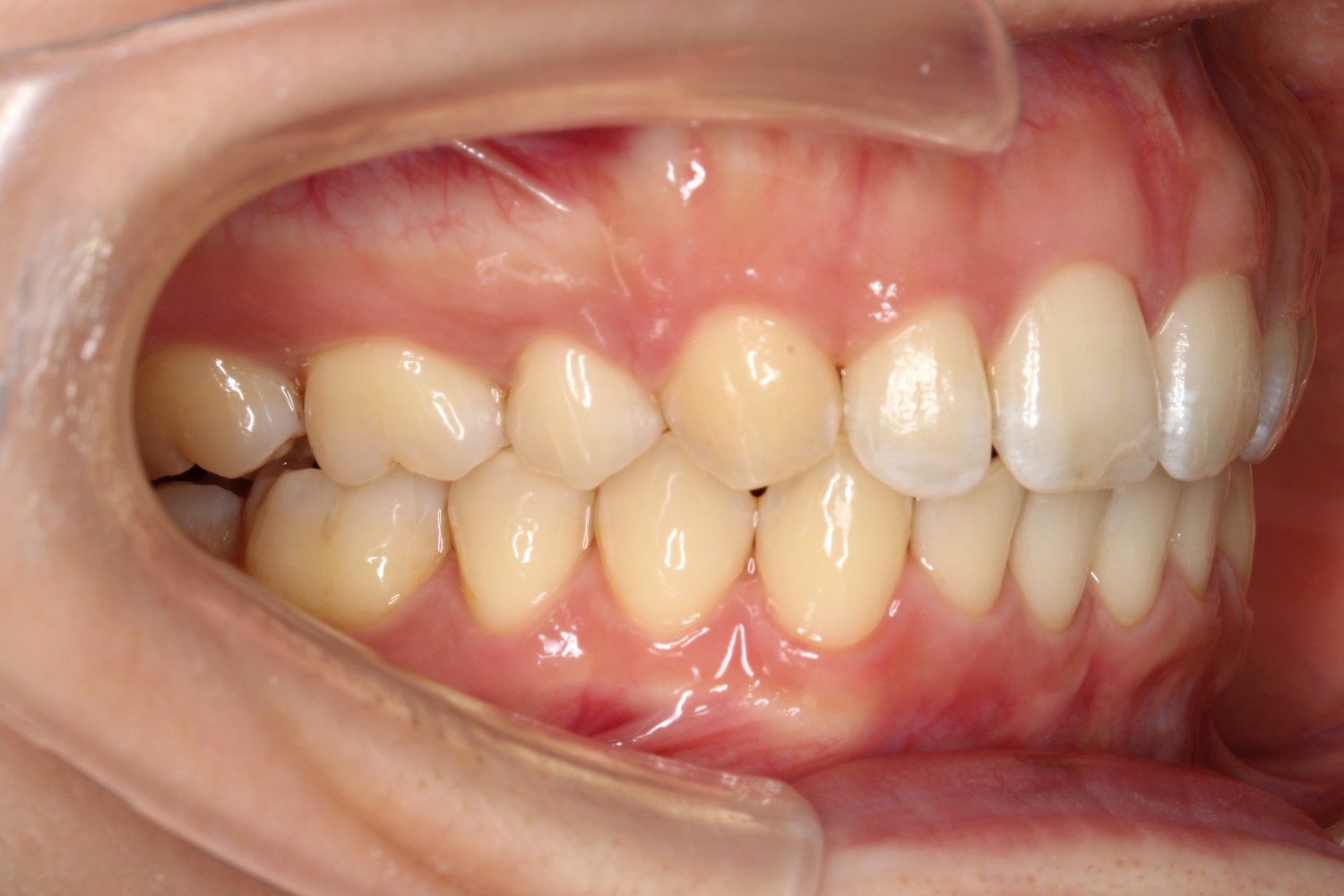
上の前歯を下げたい、隙間を閉じたい(治療期間:1年9ヵ月/通院:28回)

年齢層 30代
性別 女性
主訴 上顎前歯部を下げたい、隙間を閉じたい
治療費用 検査・診断:税込38,500円/ハーフリンガル矯正(上:裏側/下:表側):税込1,287,000円
治療期間 1年9ヵ月(28回)
抜歯 有(上顎両側4番)
矯正の装置 ハーフリンガル矯正(上:裏側/下:表側)
副作用、リスク 歯肉退縮,歯根吸収,疼痛,咬合の違和感,装置の違和感,虫歯,歯肉炎
上顎前突ハーフリンガル症例

Before

上顎前突ハーフリンガル症例

After

詳しく見る

上下前歯の凸凹を治したい(約1年1か月/通院:19回)

年齢層 10代
性別 男性
主訴 歯の凸凹が気になる(叢生)
治療費用 検査・診断:税込38,500円/ハーフリンガル矯正(上:裏側/下:表側):税込1,287,000円
治療期間 約1年1か月(19回)
抜歯 有(上顎両側4番、下顎両側4番)
矯正の装置 ハーフリンガル矯正(上:裏側/下:表側)
副作用、リスク 歯肉退縮,歯根吸収,疼痛,咬合の違和感,装置の違和感,虫歯,歯肉炎
叢生・ハーフ矯正の症例

Before

叢生・ハーフ矯正の症例

After

詳しく見る

上顎の前歯が出ている・口元を下げたい(治療期間:2年5か月/通院:27回)

年齢層 20代
性別 女性
主訴 上顎の前歯が出ている・口元を下げたい
治療費用 検査・診断:税込38,500円/ハーフリンガル矯正(上:裏側/下:表側):税込1,287,000円
治療期間 2年5か月(27回)
抜歯 有(上顎4,4)
矯正の装置 ハーフリンガル矯正(上:裏側/下:表側)
副作用、リスク 歯肉退縮,歯根吸収,疼痛,咬合の違和感,装置の違和感,虫歯,歯肉炎
上の前歯が出ている 口元を下げたい

Before

上の前歯が出ている 口元を下げたい

After

詳しく見る

八重歯と上下前歯の凸凹を治したい(治療期間:1年5カ月/通院:22回)

年齢層 20代
性別 女性
主訴 八重歯・上下の前歯の凸凹
治療費用 検査・診断:税込38,500円/ハーフリンガル矯正(上:裏側/下:表側):税込1,287,000円
治療期間 約1年5か月(22回)
抜歯 有(右下8番)
矯正の装置 ハーフリンガル矯正(上:裏側/下:表側)
副作用、リスク 歯肉退縮,歯根吸収,疼痛,咬合の違和感,装置の違和感,虫歯,歯肉炎
八重歯・ハーフ矯正の症例

Before

八重歯・ハーフ矯正の症例

After

詳しく見る

上顎前歯の凸凹(治療期間:2年10ヶ月/通院:37回)

年齢層 20代
性別 女性
主訴 上顎前歯の凸凹
治療費用 検査・診断:税込38,500円/ハーフリンガル矯正(上:裏側/下:表側):税込1,287,000円
治療期間 2年10ヶ月(37回)
抜歯 有(上顎両側4番)
矯正の装置 ハーフリンガル矯正(上:裏側/下:表側)
副作用、リスク 歯肉退縮,歯根吸収,疼痛,咬合の違和感,装置の違和感,虫歯,歯肉炎
上顎前歯の凸凹 ハーフリンガル

Before

上顎前歯の凸凹 ハーフリンガル

After

詳しく見る

上下前歯の凸凹・噛み合わせが悪い(治療期間:11カ月/通院:15回)

年齢層 30代
性別 女性
主訴 上下前歯の凸凹・噛み合わせが悪い
治療費用 検査・診断:税込38,500円/ハーフリンガル矯正(上:裏側/下:表側):税込1,287,000円
治療期間 11カ月(15回)
抜歯 有(上顎両側4番)
矯正の装置 ハーフリンガル矯正(上:裏側/下:表側)
副作用、リスク 歯肉退縮,歯根吸収,疼痛,咬合の違和感,装置の違和感,虫歯,歯肉炎
上下前歯凸凹 噛み合わせが悪い ハーフリンガル矯正

Before

上下前歯凸凹 噛み合わせが悪い ハーフリンガル矯正

After

詳しく見る

Eラインと噛み合わせの症例(治療期間:2年6か月/33回)

年齢層 20代
性別 女性
主訴 口が開きづらい・噛み合わせ
治療費用 検査・診断:税込38,500円/ハーフリンガル矯正(上:裏側/下:表側):税込1,287,000円
治療期間 約2年6か月(33回)
抜歯 有(【上顎】両側4番、8番【下顎】両側5番)
矯正の装置 ハーフリンガル矯正(上:裏側/下:表側)
副作用、リスク 歯肉退縮,歯根吸収,疼痛,咬合の違和感,装置の違和感,虫歯,歯肉炎
Eライン・ハーフ矯正の症例

Before

Eライン・ハーフ矯正

After

詳しく見る

前歯の凸凹・八重歯(治療期間:1年10か月/通院:35回)

年齢層 20代
性別 女性
主訴 前歯が凸凹している・八重歯
治療費用 検査・診断:税込38,500円/ハーフリンガル矯正(上:裏側/下:表側):税込1,287,000円
治療期間 1年10カ月(35回)
抜歯 有(上顎両側4番、下顎両側4番)
矯正の装置 ハーフリンガル矯正(上:裏側/下:表側)
副作用、リスク 歯肉退縮,歯根吸収,疼痛,咬合の違和感,装置の違和感,虫歯,歯肉炎
前歯凸凹 八重歯 裏側矯正 リンガル矯正

Before

前歯凸凹 八重歯 裏側矯正 リンガル矯正

After

詳しく見る

歯の凸凹が気になる・上の前歯が出ている(治療期間:2年8カ月/38回)

年齢層 20代
性別 女性
主訴 歯の凸凹が気になる(叢生)・上の前歯が出ている(上顎前突)
治療費用 検査・診断:税込38,500円/ハーフリンガル矯正(上:裏側/下:表側):税込1,287,000円
治療期間 約2年8か月(38回)
抜歯 有(上顎両側4番、8番)
矯正の装置 ハーフリンガル矯正(上:裏側/下:表側)
副作用、リスク 歯肉退縮,歯根吸収,疼痛,咬合の違和感,装置の違和感,虫歯,歯肉炎
叢生・裏側矯正の症例

Before

上顎前突・裏側矯正の症例

After

詳しく見る

上下前歯の凸凹・上の前歯が出ている(治療期間:1年7カ月/通院:23回)

年齢層 20代
性別 女性
主訴 上下前歯の凸凹・上の前歯が出ている
治療費用 検査・診断:税込38,500円/ハーフリンガル矯正(上:裏側/下:表側):税込1,287,000円
治療期間 1年7カ月(23回)
抜歯 無(非抜歯)
矯正の装置 ハーフリンガル矯正(上:裏側/下:表側)
副作用、リスク 歯肉退縮,歯根吸収,疼痛,咬合の違和感,装置の違和感,虫歯,歯肉炎
上下前歯凸凹 上の前歯が出ている ハーフリンガル矯正

Before

上下前歯凸凹 上の前歯が出ている ハーフリンガル矯正

After

詳しく見る

上顎前歯が出ている・前歯の凸凹(治療期間:1年11カ月/通院:24回)

年齢層 20代
性別 女性
主訴 上の前歯が出ている・全体的な凸凹
治療費用 検査・診断:税込38,500円/ハーフリンガル矯正(上:裏側/下:表側):税込1,287,000円
治療期間 1年11カ月(24回)
抜歯 有(上顎両側4番、下顎両側4番)
矯正の装置 ハーフリンガル矯正(上:裏側/下:表側)
副作用、リスク 歯肉退縮,歯根吸収,疼痛,咬合の違和感,装置の違和感,虫歯,歯肉炎
上の前歯が出ている・叢生 ハーフリンガル矯正

Before

上の前歯が出ている・叢生 ハーフリンガル矯正

After

詳しく見る

上顎前歯が出ている(治療期間:1年10カ月/通院:27回)

年齢層 30代
性別 女性
主訴 上顎前歯が出ている
治療費用 検査・診断:税込38,500円/ハーフリンガル矯正(上:裏側/下:表側):税込1,287,000円
治療期間 1年10カ月(27回)
抜歯 有(上顎両側4番)
矯正の装置 ハーフリンガル矯正(上:裏側/下:表側)
副作用、リスク 歯肉退縮,歯根吸収,疼痛,咬合の違和感,装置の違和感,虫歯,歯肉炎
上の前歯が出ている ハーフリンガル矯正

Before

上の前歯が出ている ハーフリンガル矯正

After

詳しく見る

左の前歯が出ている・噛み合わせが悪い(治療期間:1年8カ月/通院:27回)

年齢層 20代
性別 女性
主訴 左の前歯が出ている・噛み合わせが悪い
治療費用 検査・診断:税込38,500円/ハーフリンガル矯正(上:裏側/下:表側):税込1,287,000円
治療期間 1年8ヶ月
抜歯 有(上顎両側4番)
矯正の装置 ハーフリンガル矯正(上:裏側/下:表側)
副作用、リスク 歯肉退縮,歯根吸収,疼痛,咬合の違和感,装置の違和感,虫歯,歯肉炎
左の前歯が出ている 噛み合わせが悪い ハーフリンガル矯正

Before

左の前歯が出ている 噛み合わせが悪い ハーフリンガル矯正

After

詳しく見る

前歯を下げたい(治療期間:1年8ヶ月/通院28回)

年齢層 20代
性別 女性
主訴 前歯を下げたい・綺麗な歯並びにしたい
治療費用 検査・診断:税込38,500円/ハーフリンガル矯正(上:裏側/下:表側):税込1,287,000円
治療期間 1年8ヶ月
抜歯 有(上顎両側4番、下顎両側4番)
矯正の装置 ハーフリンガル矯正(上:裏側/下:表側)
副作用、リスク 歯肉退縮,歯根吸収,疼痛,咬合の違和感,装置の違和感,虫歯,歯肉炎
前歯下げたい ハーフリンガル矯正

Before

After

詳しく見る

口元の突出感が気になる(治療期間:2年1か月/通院31回)

年齢層 20代
性別 女性
主訴 前歯が出ている、口元の突出感が気になる
治療費用 検査・診断:税込38,500円/ハーフリンガル矯正(上:裏側/下:表側):税込1,287,000円
治療期間 2年1カ月(31回)
抜歯 有(上4,4)
矯正の装置 ハーフリンガル矯正(上:裏側/下:表側)
副作用、リスク 歯肉退縮,歯根吸収,疼痛,咬合の違和感,装置の違和感,虫歯,歯肉炎
出っ歯・ハーフリンガル矯正

Before

出っ歯・ハーフリンガル矯正

After

詳しく見る

受け口を治したい

年齢層 20代
性別 女性
主訴 【主訴】受け口を治したい 【診断・症状】反対咬合、上下凸凹
治療費用 検査・診断:税込38,500円/ハーフリンガル矯正治療:税込1,287,000円
治療期間 約1年半(20回)
抜歯 無(非抜歯)
矯正の装置 ハーフリンガル矯正
副作用、リスク 歯肉退縮,歯根吸収,疼痛,咬合の違和感,装置の違和感,虫歯,歯肉炎
case17_受け口_before

Before

case17_受け口_after

After

詳しく見る