当院の症例

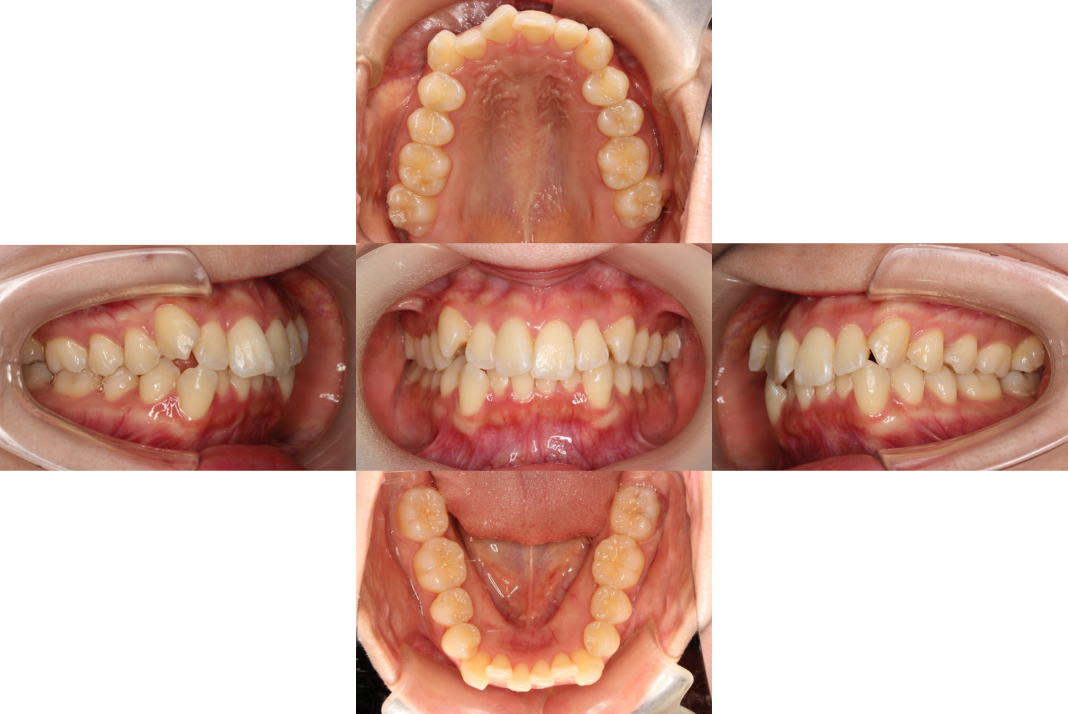
初診時の口腔内です。
【八重歯と上下前歯の凸凹】を気にしてカウンセリングにいらっしゃいました。

上下の歯に装置を装着しました。
こちらの患者様はIPRと呼ばれる処置を行いながら並べていきます。
IPRは、上下で歯の大きさのバランスが違ったり、ガタガタがある際によく使われます。
具体的には、歯と歯の間をヤスリがけしてスペースを作る処置です。

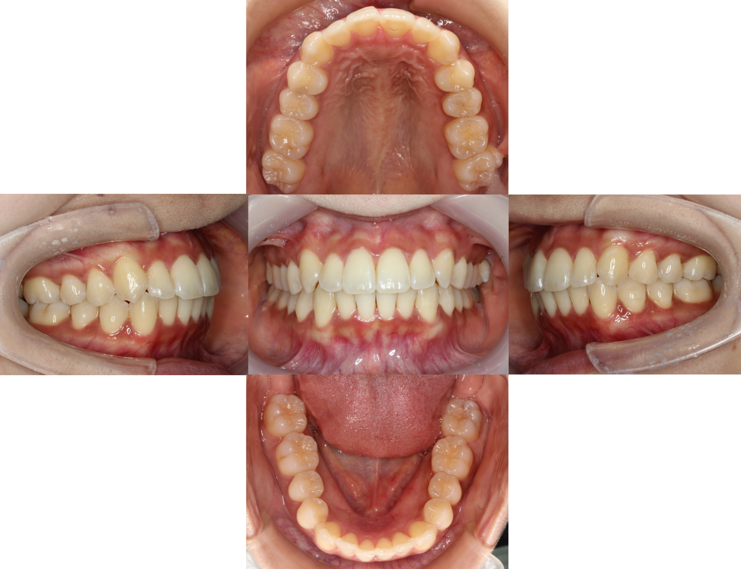
八重歯だった部分がとてもきれいになりました。
残りの微調整はマウスピース矯正で行っていきます。

全体の歯並びが整い、噛み合わせもしっかり噛んでいます。
元々のお悩みだった【八重歯と上下前歯の凸凹】も綺麗に良くなりました。
| 年齢層 | 20代 |
|---|---|
| 性別 | 女性 |
| 主訴 | 八重歯・上下の前歯の凸凹 |
| 治療費用 | 検査・診断:税込38,500円/ハーフリンガル矯正(上:裏側/下:表側):税込1,287,000円 |
| 治療期間 | 約1年5か月(22回) |
| 抜歯 | 有(右下8番) |
| 矯正の装置 | ハーフリンガル矯正(上:裏側/下:表側) |
| 副作用、リスク | 歯肉退縮,歯根吸収,疼痛,咬合の違和感,装置の違和感,虫歯,歯肉炎 |