当院の症例

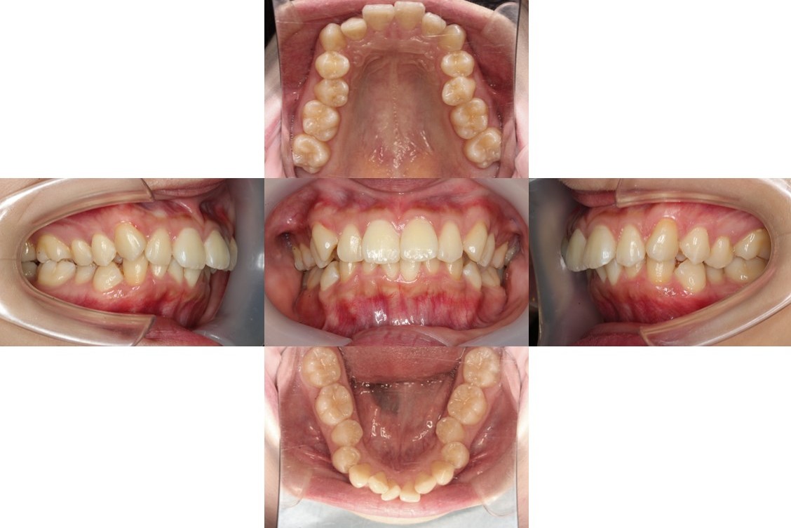
矯正前の口腔内の状態です。
【お口が開けずらい】とのお悩みで来院されました。
嚙み合わせが深く、口が開けづらくなっています。

抜歯後、上下の歯に装置を装着しました。
嚙み合わせ改善のため、バイトアップも着けています。
(バイトアップ:上の奥歯に着けている青色のレジン)

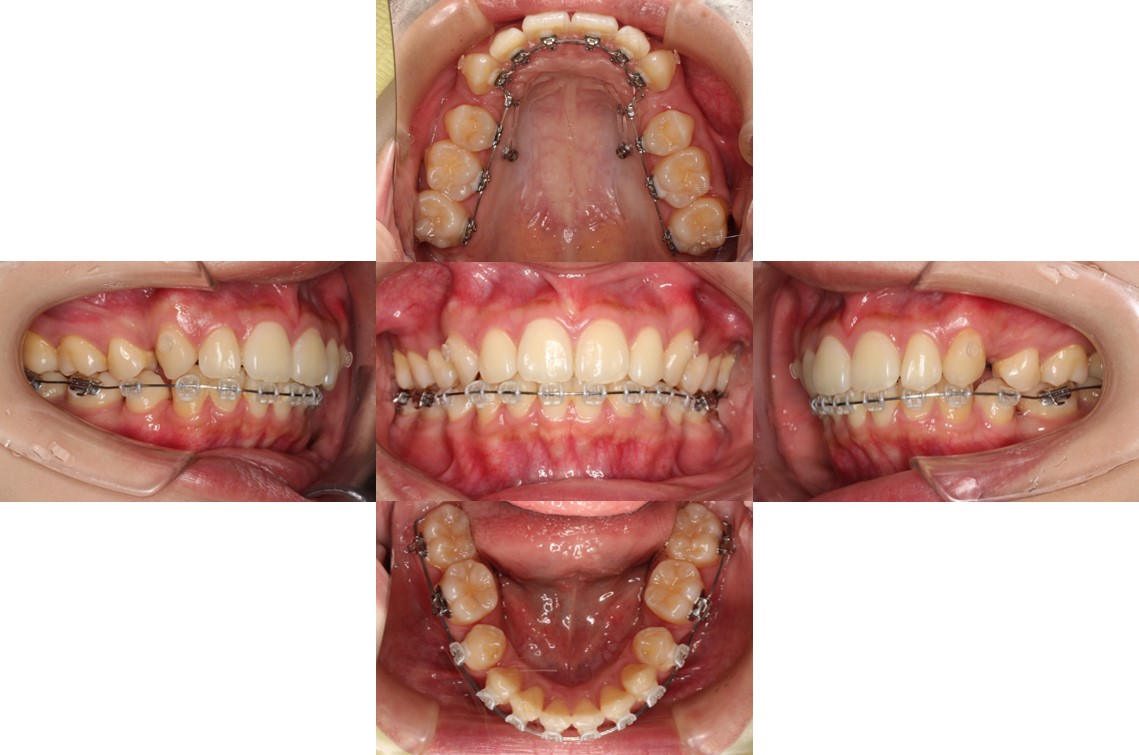
噛み合わせが改善したため、バイトアップを除去しました。
上あごにスクリューを入れ、前歯がしっかり噛める位置に
引っ張ります。


矯正前は前歯が出ていたため、お口を閉じるのに力が入り
顎にしわが寄っていました。(左の写真)
矯正後は、力まずに口を閉じれるようになりました(右の写真)
咬み合わせや、前歯の出っ張りが改善されたため
過剰な力を使わずに楽にお口の開閉ができるようになりました。
| 年齢層 | 20代 |
|---|---|
| 性別 | 女性 |
| 主訴 | 口が開きづらい・噛み合わせ |
| 治療費用 | 検査・診断:税込38,500円/ハーフリンガル矯正(上:裏側/下:表側):税込1,287,000円 |
| 治療期間 | 約2年6か月(33回) |
| 抜歯 | 有(【上顎】両側4番、8番【下顎】両側5番) |
| 矯正の装置 | ハーフリンガル矯正(上:裏側/下:表側) |
| 副作用、リスク | 歯肉退縮,歯根吸収,疼痛,咬合の違和感,装置の違和感,虫歯,歯肉炎 |