当院の症例

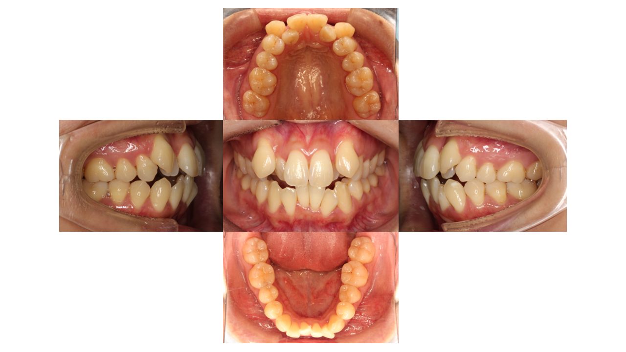
初診時の口腔内の状態です。
上下前歯の凸凹、噛み合わせが悪いことがお悩みでご来院されました。

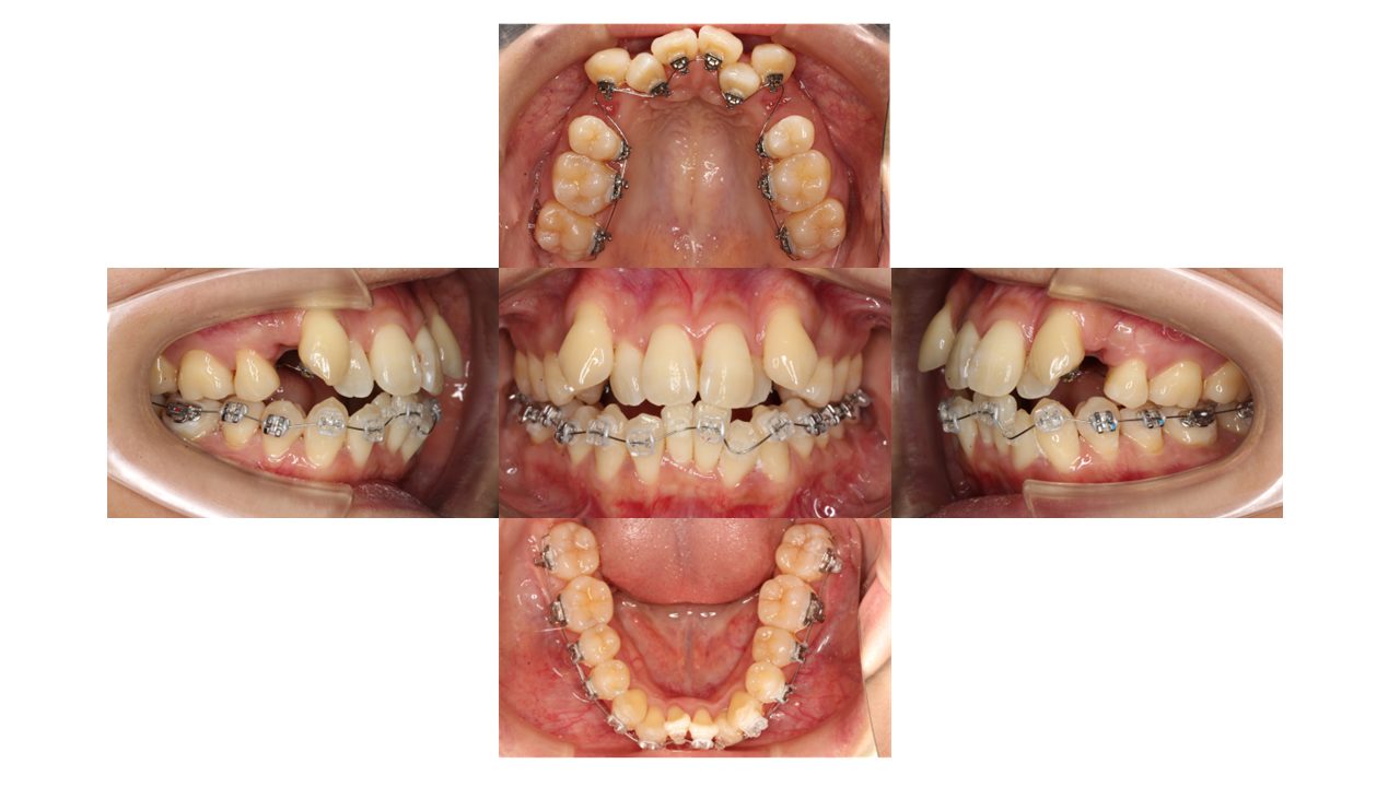
装置装着時の口腔内の状態です。
上顎左右ともに4番目の箇所を抜歯し、ハーフリンガル(上:裏側/下:表側)の装置で動かしていきます。

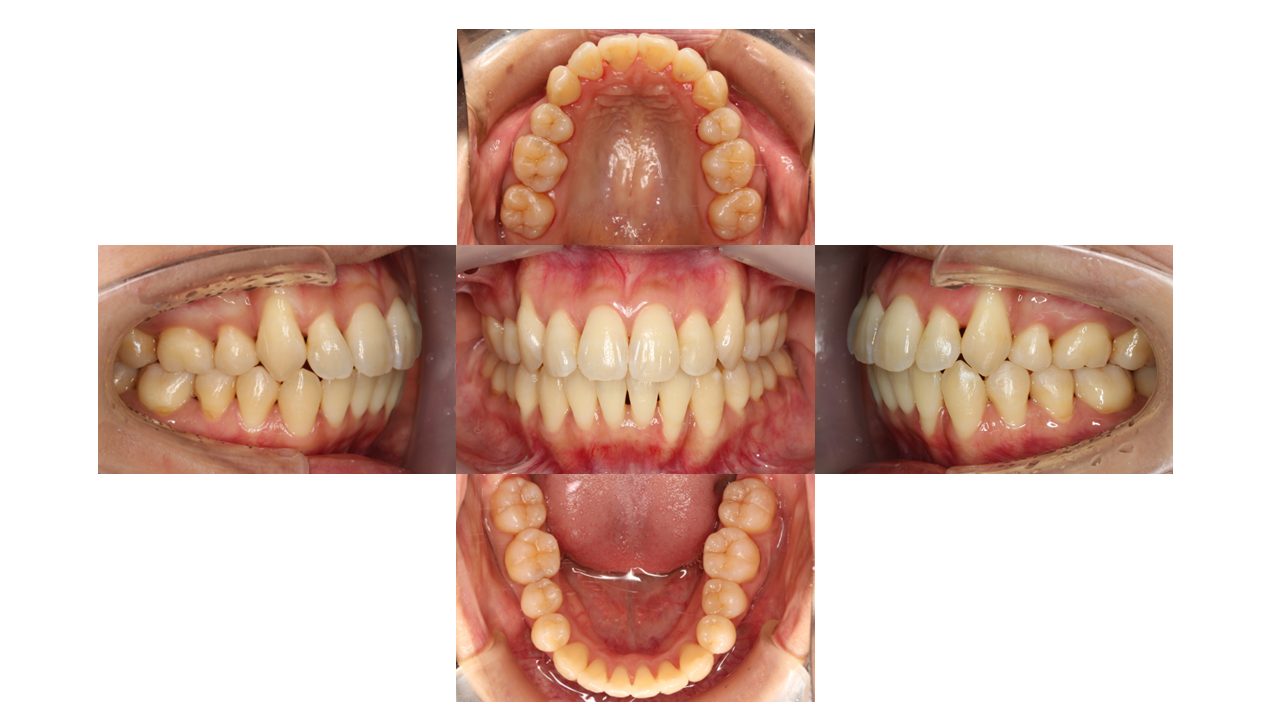
11カ月経過の口腔内の状態です。
上下前歯の凸凹、噛み合わせが改善したとご満足いただけました。
| 年齢層 | 30代 |
|---|---|
| 性別 | 女性 |
| 主訴 | 上下前歯の凸凹・噛み合わせが悪い |
| 治療費用 | 検査・診断:税込38,500円/ハーフリンガル矯正(上:裏側/下:表側):税込1,287,000円 |
| 治療期間 | 11カ月(15回) |
| 抜歯 | 有(上顎両側4番) |
| 矯正の装置 | ハーフリンガル矯正(上:裏側/下:表側) |
| 副作用、リスク | 歯肉退縮,歯根吸収,疼痛,咬合の違和感,装置の違和感,虫歯,歯肉炎 |