当院の症例
初診時の口腔内です。
【上下前歯の凸凹】を気にしてカウンセリングにいらっしゃいました。
虫歯や磨き残し、下の前歯の裏には歯石も見受けられます。

上下の抜歯を終え装置を装着しました。
ハーフ矯正なので、上の歯は裏側、下の歯は表側に装置がついています。
重なりが強い歯は、装置をつけられるスペースを確保した後に装着します。(下顎2┬2)

前歯が一列に並びました。この後上の前歯を後ろに下げていきます。

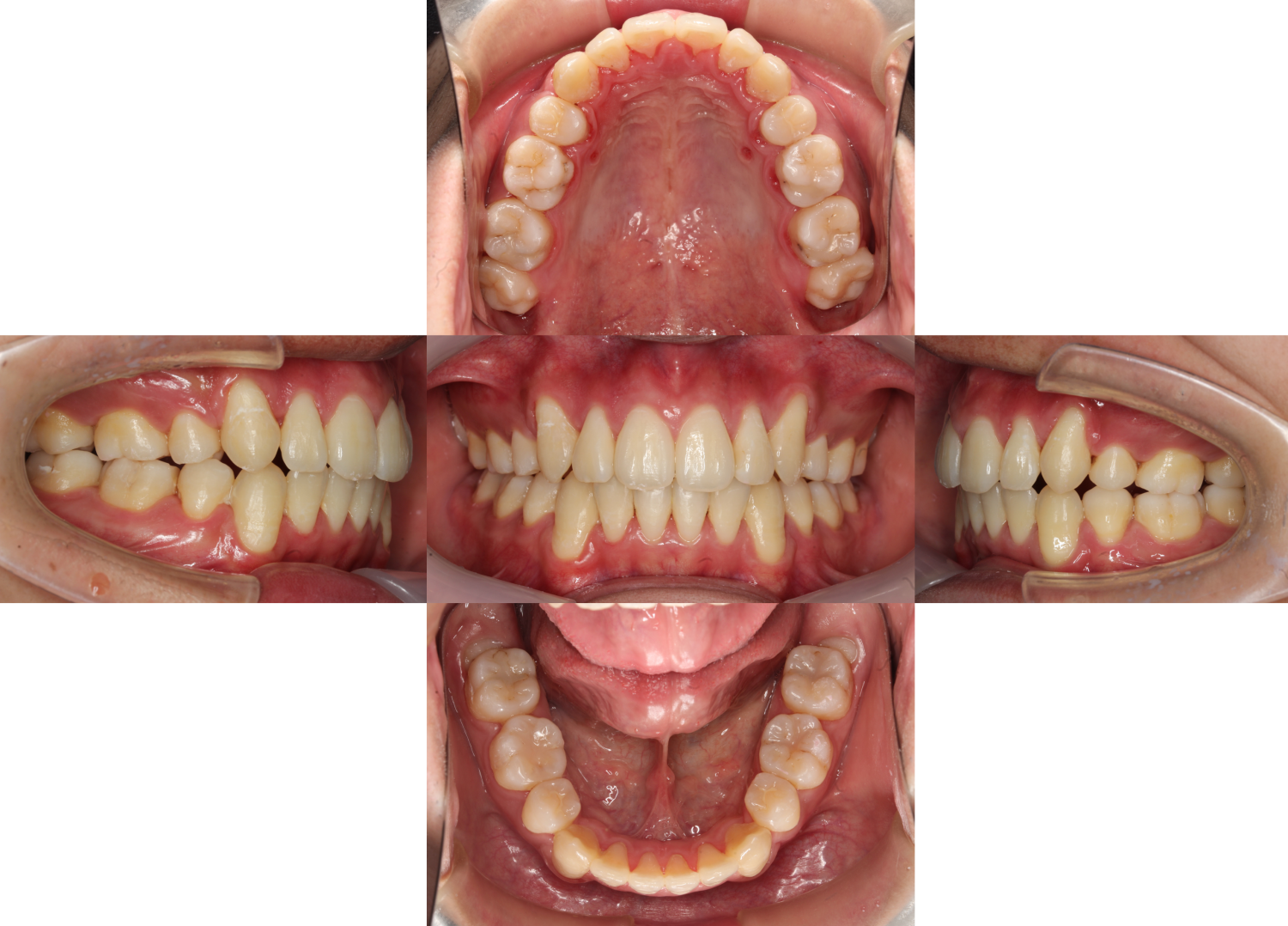
歯の凸凹がなくなり、しっかり噛むようになりました。
矯正に通うことで口腔内への意識が変り、歯磨きもしやすくなった事で、初診に比べて歯石や磨き残しも減少しています。
歯並びが改善した後は、虫歯や歯周病予防のためセルフケアを継続しましょう。
| 年齢層 | 10代 |
|---|---|
| 性別 | 男性 |
| 主訴 | 歯の凸凹が気になる(叢生) |
| 治療費用 | 検査・診断:税込38,500円/ハーフリンガル矯正(上:裏側/下:表側):税込1,287,000円 |
| 治療期間 | 約1年1か月(19回) |
| 抜歯 | 有(上顎両側4番、下顎両側4番) |
| 矯正の装置 | ハーフリンガル矯正(上:裏側/下:表側) |
| 副作用、リスク | 歯肉退縮,歯根吸収,疼痛,咬合の違和感,装置の違和感,虫歯,歯肉炎 |