当院の症例

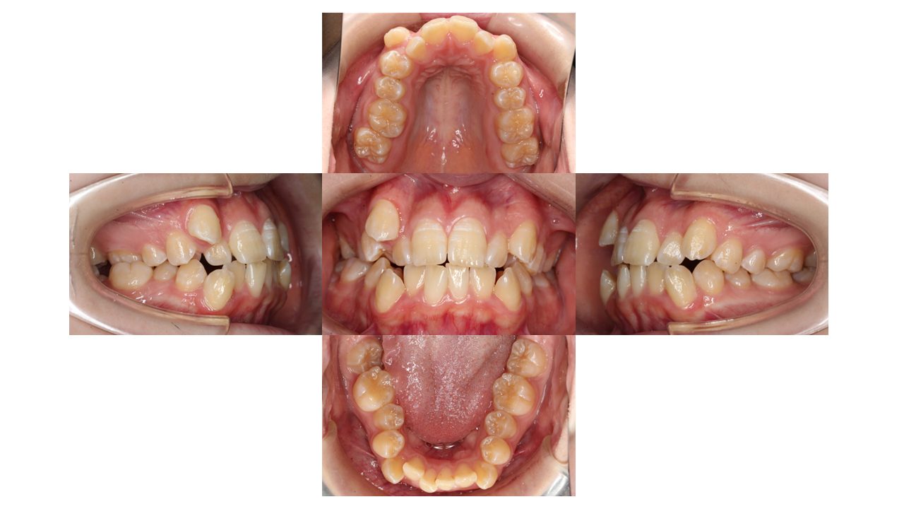
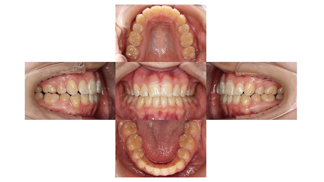
初診時の口腔内の状態です。
前歯の凸凹、特に八重歯にお悩みでご来院されました。

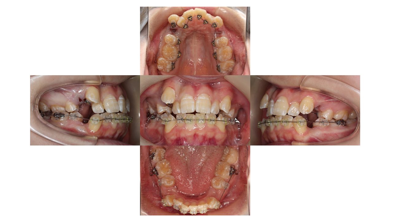
装置装着時の口腔内の状態です。
上下左右ともに4番目の箇所を抜歯し、ハーフリンガル(上:裏側/下:表側)の装置で動かしていきます。

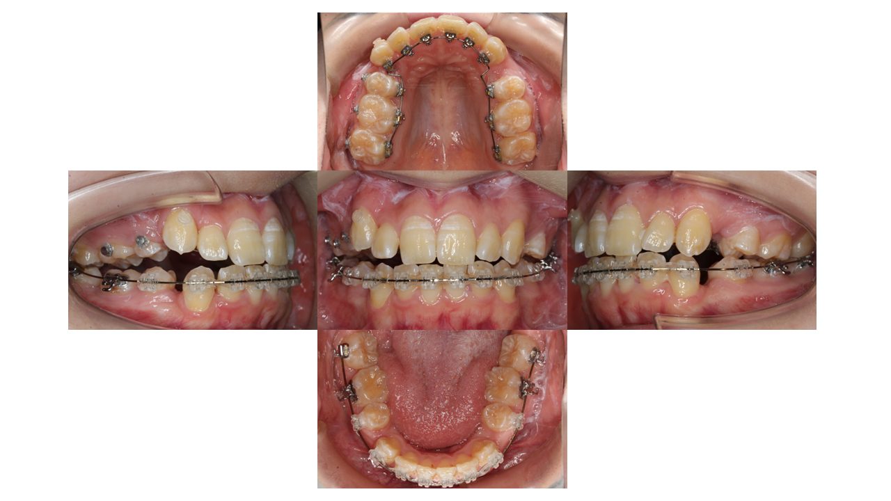
4カ月経過の口腔内の状態です。
徐々に凸凹が改善してきました。

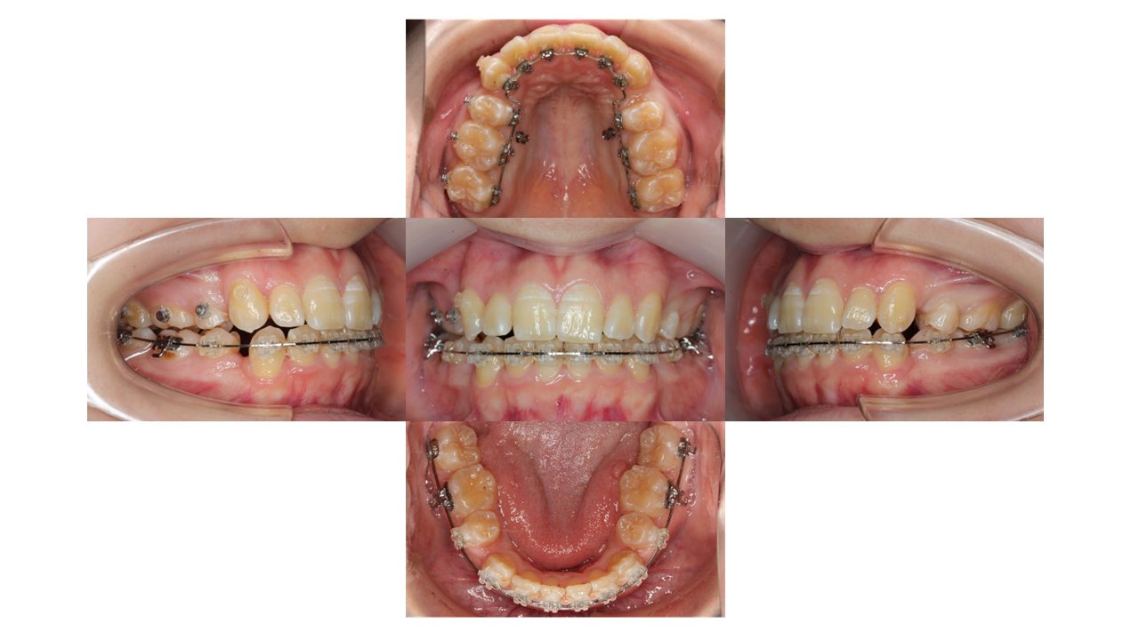
7カ月経過の口腔内の状態です。
全体の凸凹が改善しました。
上顎に歯科用アンカースクリューを埋入し、ゴムの力で前歯を引っぱりながら残りのスペースを閉じていきます。

1年10か月経過の口腔内の状態です。
前歯の凸凹・八重歯が改善されたとご満足いただけました。
| 年齢層 | 20代 |
|---|---|
| 性別 | 女性 |
| 主訴 | 前歯が凸凹している・八重歯 |
| 治療費用 | 検査・診断:税込38,500円/ハーフリンガル矯正(上:裏側/下:表側):税込1,287,000円 |
| 治療期間 | 1年10カ月(35回) |
| 抜歯 | 有(上顎両側4番、下顎両側4番) |
| 矯正の装置 | ハーフリンガル矯正(上:裏側/下:表側) |
| 副作用、リスク | 歯肉退縮,歯根吸収,疼痛,咬合の違和感,装置の違和感,虫歯,歯肉炎 |