当院の症例

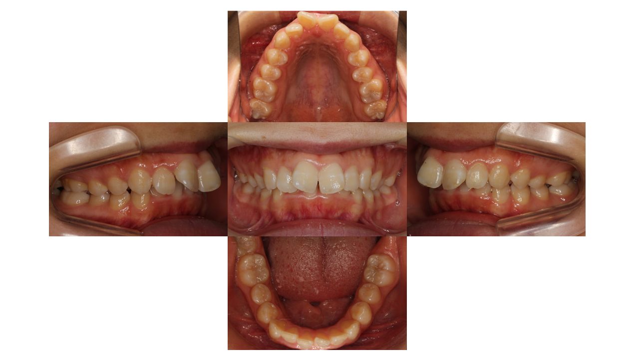
初診時の口腔内の状態です。
上顎前歯の凸凹、特に左右ともに1番目の箇所にお悩みでご来院されました。

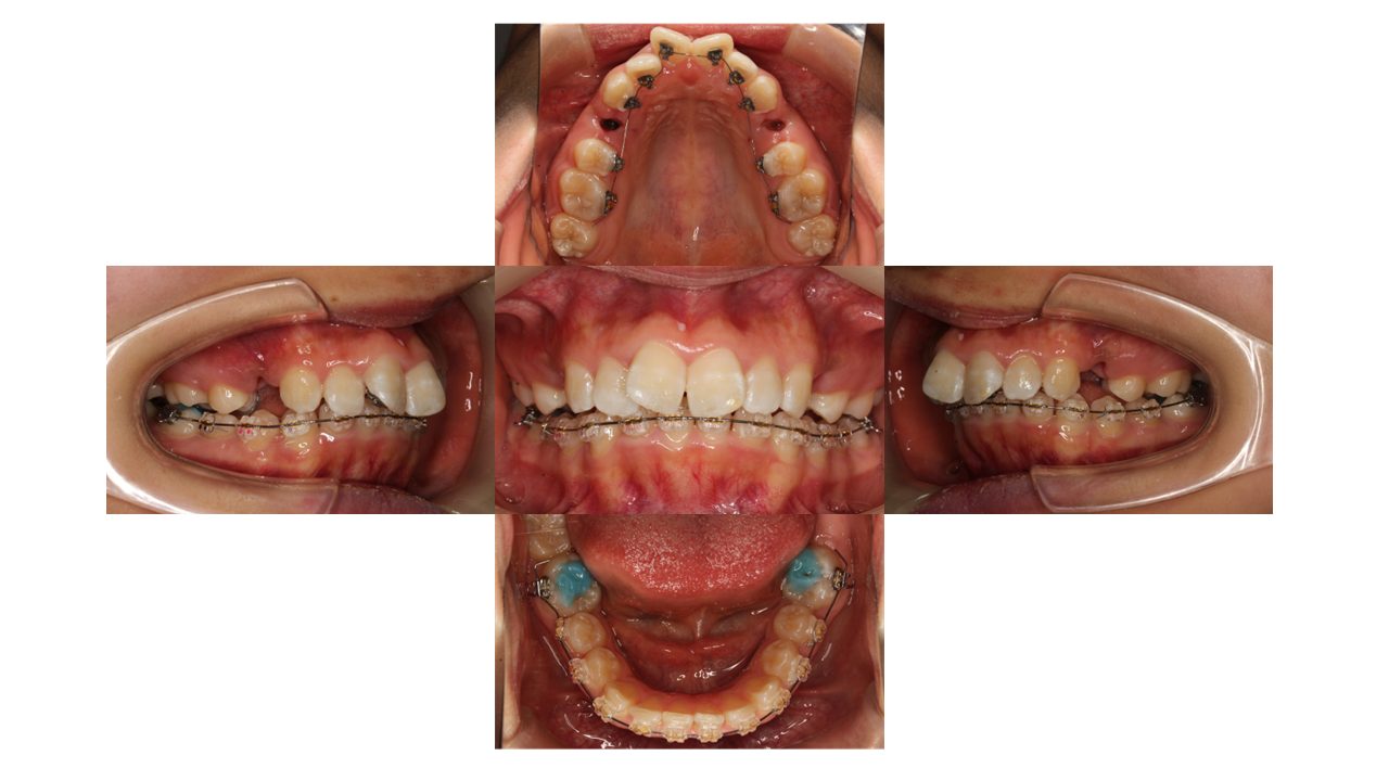
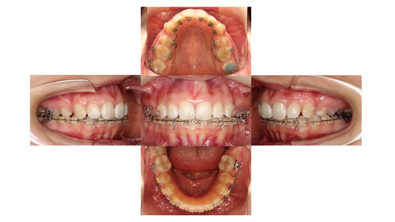
装置装着時の口腔内の状態です。
上顎左右4番目の箇所を抜歯し、ハーフリンガル矯正(上:裏側/下:表側)で歯を動かしていきます。
現在の歯並びだと、下の歯が上の裏側の装置にぶつかってしまう状態のため、下の奥歯にバイトアップという青い材料を付けて噛み合わせをあげています。

6か月経過の口腔内の状態です。
上顎前歯の凸凹が改善しました。

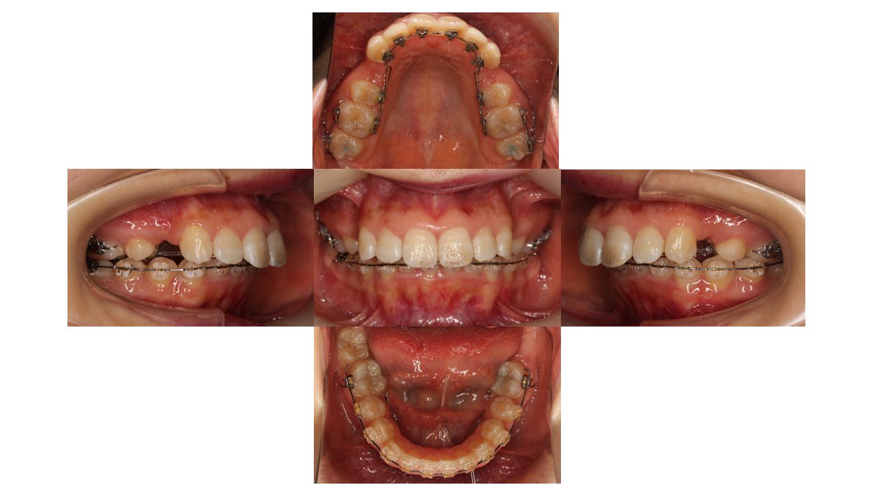
1年経過の口腔内の状態です。
上顎に歯科用のアンカースクリューを埋入し、ゴムの力で前歯を引っ張りながら抜歯したスペースを閉じていきます。

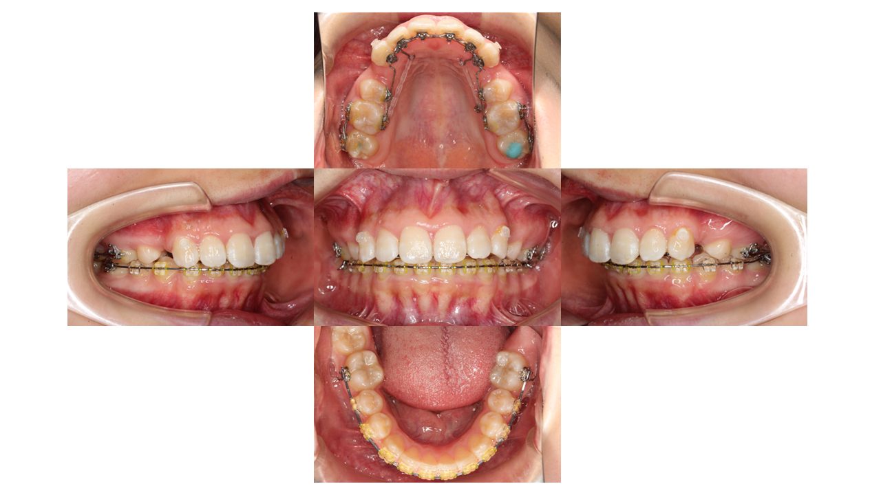
1年11カ月経過の口腔内の状態です。
半分以上のスペースが閉じました。

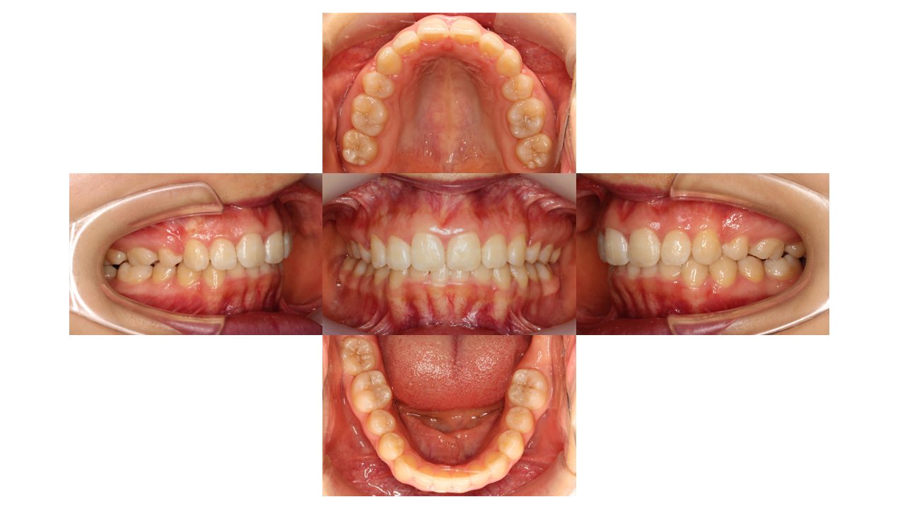
2年10カ月経過の口腔内の状態です。
上顎前歯の凸凹、そして噛み合わせも改善したとご満足いただけました。
| 年齢層 | 20代 |
|---|---|
| 性別 | 女性 |
| 主訴 | 上顎前歯の凸凹 |
| 治療費用 | 検査・診断:税込38,500円/ハーフリンガル矯正(上:裏側/下:表側):税込1,287,000円 |
| 治療期間 | 2年10ヶ月(37回) |
| 抜歯 | 有(上顎両側4番) |
| 矯正の装置 | ハーフリンガル矯正(上:裏側/下:表側) |
| 副作用、リスク | 歯肉退縮,歯根吸収,疼痛,咬合の違和感,装置の違和感,虫歯,歯肉炎 |