当院の症例

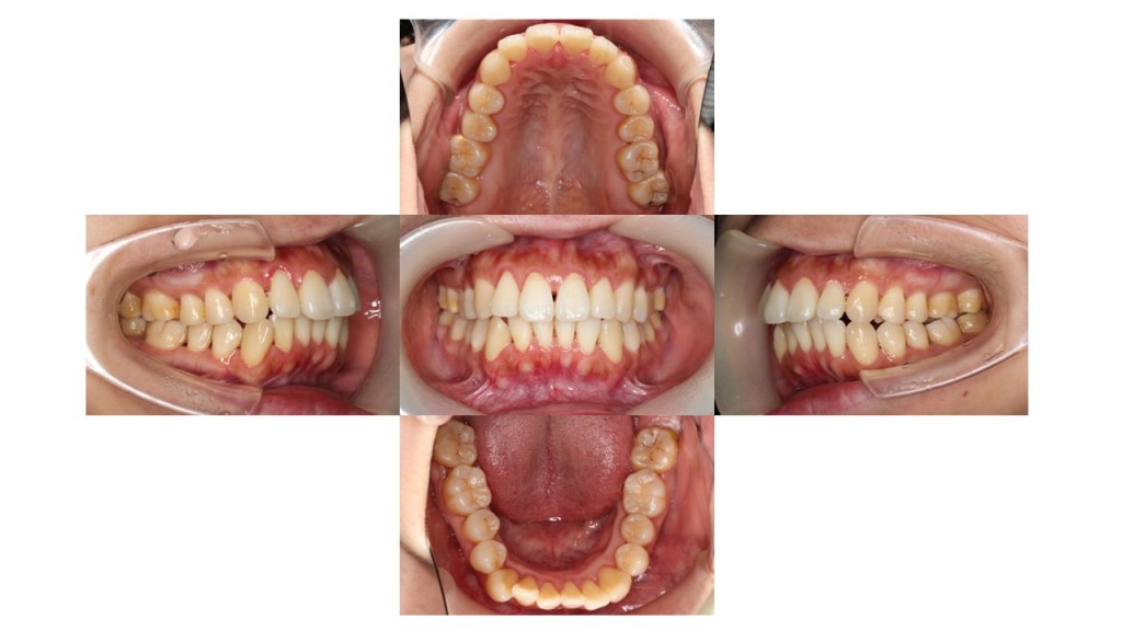
初診時の口腔内の状態です。
上の前歯が出ていて、かみ合っていないことにお悩みでご来院されました。

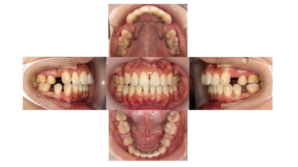
上下ともに裏側の装置で動かし、6ヵ月経過の口腔内の状態です。
特に下の前歯の凸凹が少しずつ改善してきました。
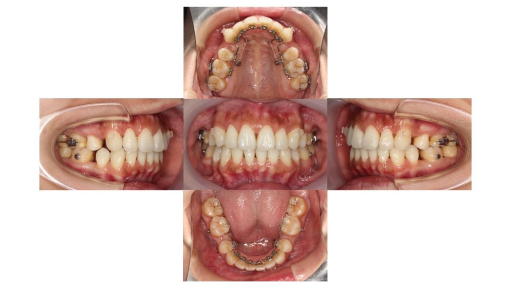
前歯のガタガタを整えたら、抜歯した隙間を閉じる段階に入ります。

1年1ヵ月経過の口腔内の状態です。
上顎に歯科用アンカースクリューを埋入し、ゴムの力を使って前歯を引っ張りながら抜歯したスペースを閉じていきます。
患者様にも表側のゴムかけをご協力いただいております。(1日20時間目安)

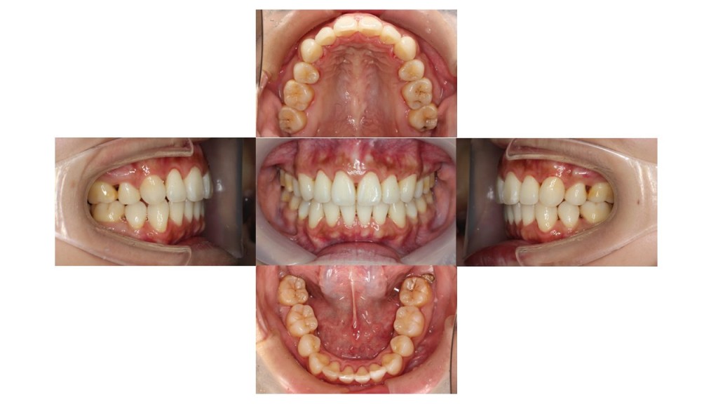
1年8ヵ月経過の口腔内の状態です。
動かす期間は終了したため、保定期間(マウスピースなどの保定装置を使用し、骨や歯を安定させる期間)へ移行しております。
上の前歯が下がったことによりかみ合わせが改善し、お口も閉じやすくなったとご満足いただけました。
| 年齢層 | 30代 |
|---|---|
| 性別 | 女性 |
| 主訴 | 前歯が出ている、噛み合わない |
| 治療費用 | 検査・診断:税込38,500円/裏側矯正治療(リンガル矯正):税込1,397,000円 |
| 治療期間 | 1年8ヵ月(24回) |
| 抜歯 | 有(【上顎】両側4番 【下顎】両側5番) |
| 矯正の装置 | 裏側矯正(舌側矯正) |
| 副作用、リスク | 歯肉退縮,歯根吸収,疼痛,咬合の違和感,装置の違和感,虫歯,歯肉炎 |