当院の症例

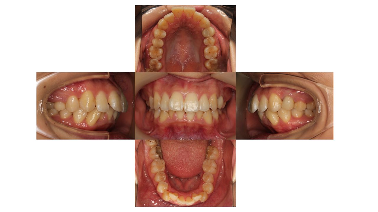
初診時の口腔内の状態です。
口元の出ているところがお悩みでご来院されました。

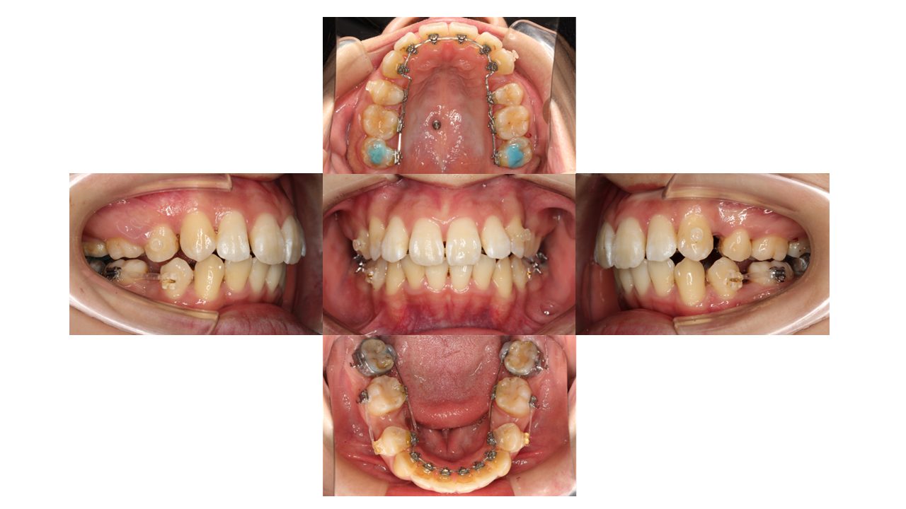
装置装着時の口腔内の状態です。
上顎左側が4番・右側が5番、下顎左右ともに5番目の箇所を抜歯し、リンガル矯正(裏側矯正)で動かしていきます。
現在の歯並びだと、下の歯が上の歯の装置にぶつかってしまうため、上の奥歯にバイトアップという青い材料をつけて噛み合わせをあげています。

2カ月経過の口腔内の状態です。
少しずつ凸凹が改善してきました。

1年1ヶ月経過の口腔内の状態です。
全体的に凸凹が改善しました。
ここから抜歯したスペースを閉じていきます。

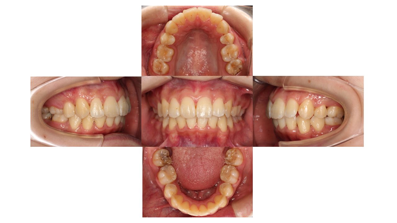
2年9カ月経過の口腔内の状態です。
口元が下がったとご満足いただけました。
| 年齢層 | 20代 |
|---|---|
| 性別 | 女性 |
| 主訴 | 口元を下げたい |
| 治療費用 | 検査・診断:税込38,500円/裏側矯正治療(リンガル矯正):税込1,397,000円 |
| 治療期間 | 2年9か月(32回) |
| 抜歯 | 有(【上顎】左側4番、右側5番 【下顎】両側5番) |
| 矯正の装置 | 検査・診断:税込38,500円/裏側矯正治療(リンガル矯正):税込1,397,000円 |
| 副作用、リスク | 歯肉退縮,歯根吸収,疼痛,咬合の違和感,装置の違和感,虫歯,歯肉炎 |