当院の症例

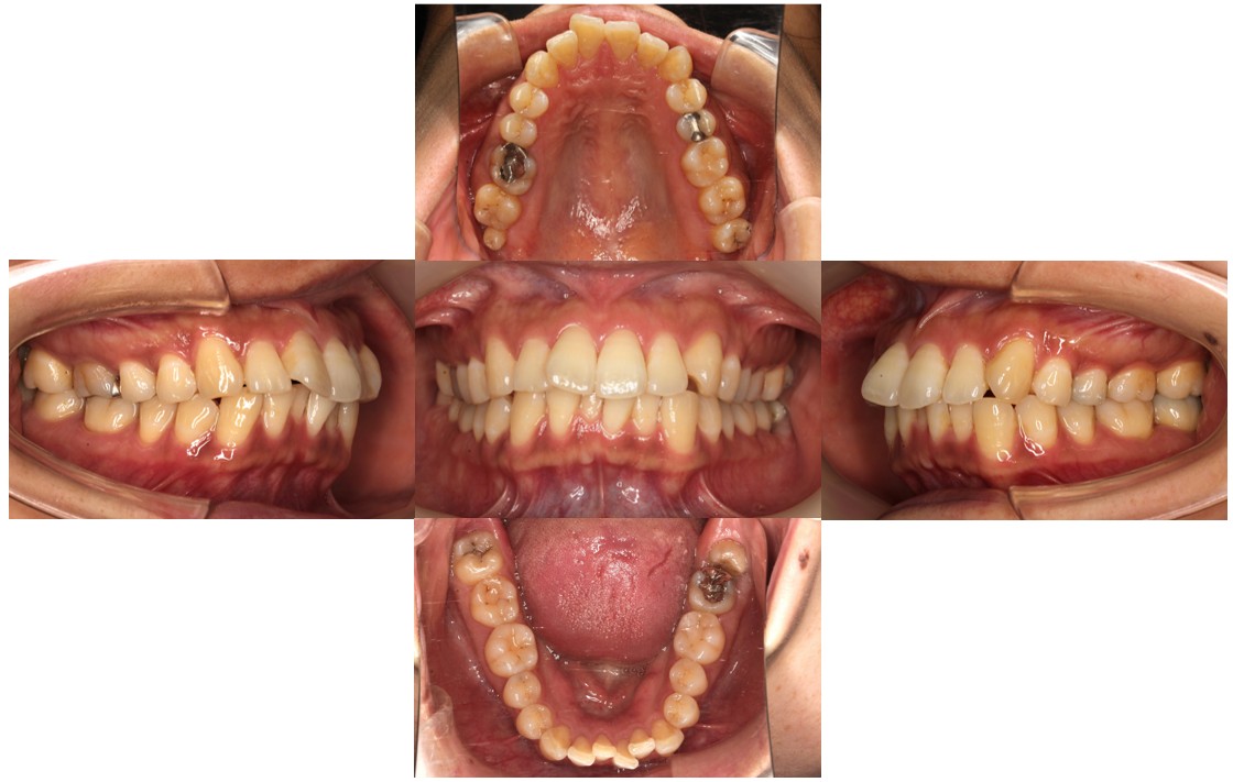
初診時の口腔内の状態です。
上顎の前歯が出ていることにお悩みでご来院されました。

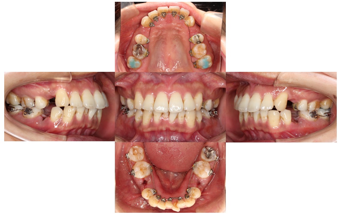
装置装着時の口腔内の状態です。
上顎左右4番目、下顎左右5番目の箇所を抜歯し、上下裏側(リンガル)の装置で動かしていきます。
現在の歯並びだと、下の歯が上の歯の装置にぶつかってしまう状態のため、下の奥歯にバイトアップという青い材料をつけて嚙み合わせをあげています。

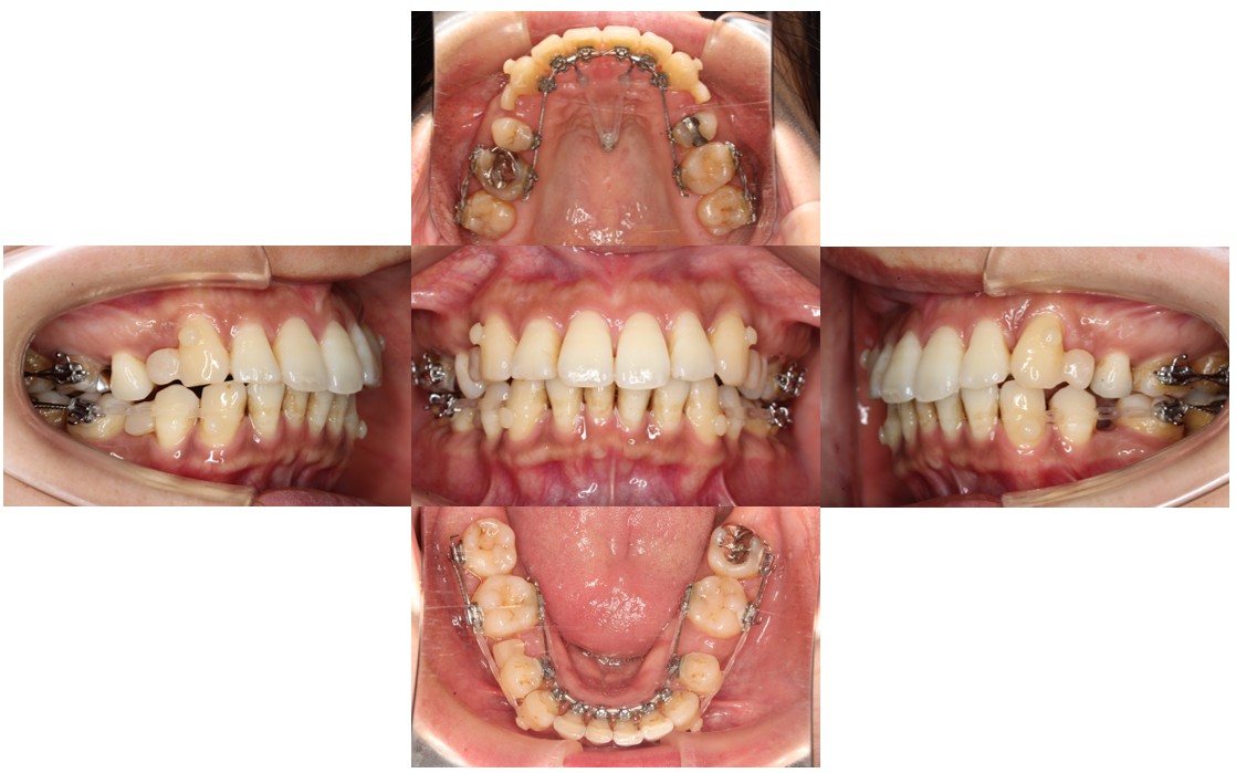
9ヵ月経過の口腔内の状態です。
全体の凸凹が改善しました。
一部表側にも装置をつけ、効率良く奥歯も動かしてかみ合わせを整えています。

2年経過の口腔内の状態です。
上下ともに前歯がガタガタしていた部分が改善し、口元も下がりかみ合わせが良くなったとご満足いただけました。
| 年齢層 | 30代 |
|---|---|
| 性別 | 女性 |
| 主訴 | 上の歯が出ている、下の歯の凸凹、かみ合わせ改善 |
| 治療費用 | 検査・診断:税込38,500円/裏側矯正治療(リンガル矯正):税込1,397,000円 |
| 治療期間 | 約2年(31回) |
| 抜歯 | 有(【上顎】両側4番 【下顎】両側5番) |
| 矯正の装置 | 裏側矯正(舌側矯正) |
| 副作用、リスク | 歯肉退縮,歯根吸収,疼痛,咬合の違和感,装置の違和感,虫歯,歯肉炎 |