当院の症例

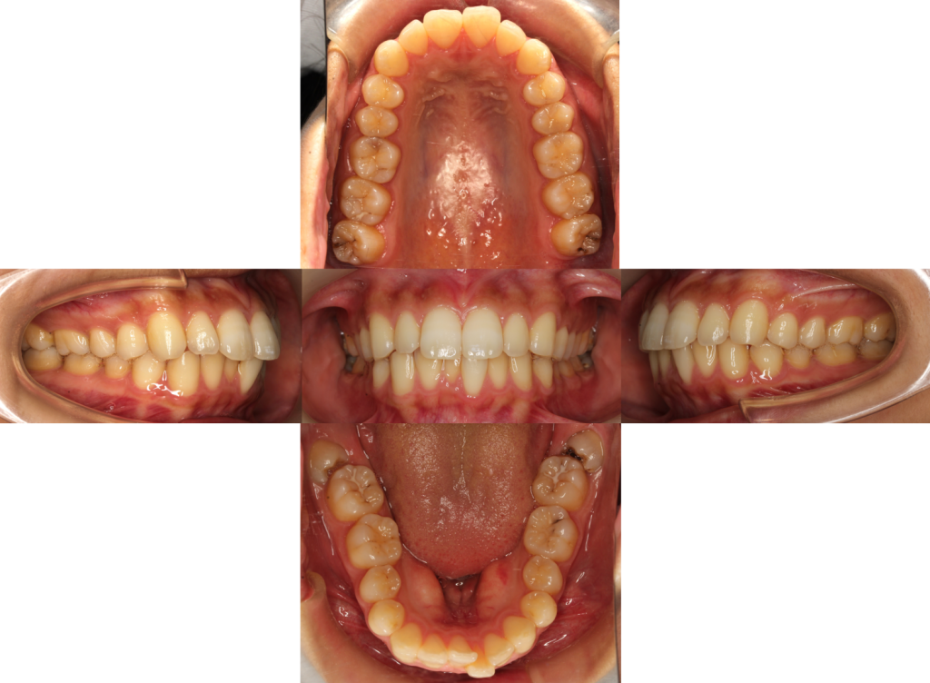
矯正前の口腔内の状態です。
下の歯のガタツキと口元の突出感をお悩みでカウンセリングにいらっしゃいました。

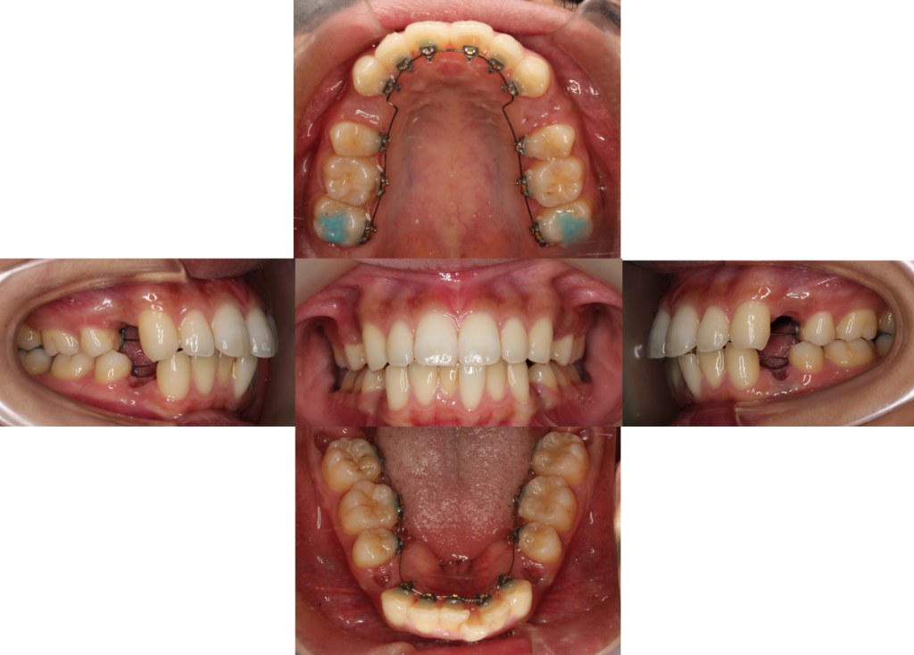
上下抜歯をし、装置を装着しました。まずは歯のガタツキを整えます。
装置を噛んでしまわないように、上の奥歯にバイトアップという青いレジンをつけています。

上下歯のガタツキがなくなりました。
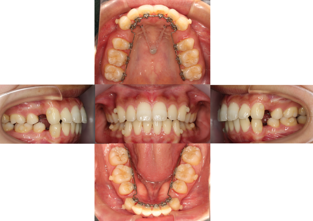
次は前歯を後ろに引っ張っていきます。こちらの患者様は上顎にTADsと言う小さいインプラントをつけ、
TADsを固定源にゴムで前歯を後ろに引っ張っています。

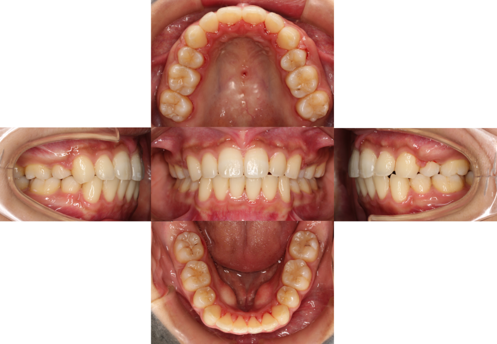
隙間が閉じきって、上下のバランスもキレイに整いました。
元々のお悩みだった、【口元の突出感と下の歯のガタツキも改善しました】
| 年齢層 | 20代 |
|---|---|
| 性別 | 女性 |
| 主訴 | 口元を下げたい・下の歯の叢生 |
| 治療費用 | 検査・診断:税込み38,500円/裏側矯正治療(リンガル矯正):税込1,397,000円 |
| 治療期間 | 約2年4か月(28回) |
| 抜歯 | 有(上顎両側4番、下顎両側4番) |
| 矯正の装置 | 検査・診断:税込38,500円/裏側矯正治療(リンガル矯正):税込1,397,000円 |
| 副作用、リスク | 歯肉退縮,歯根吸収,疼痛,咬合の違和感,装置の違和感,虫歯,歯肉炎 |