当院の症例

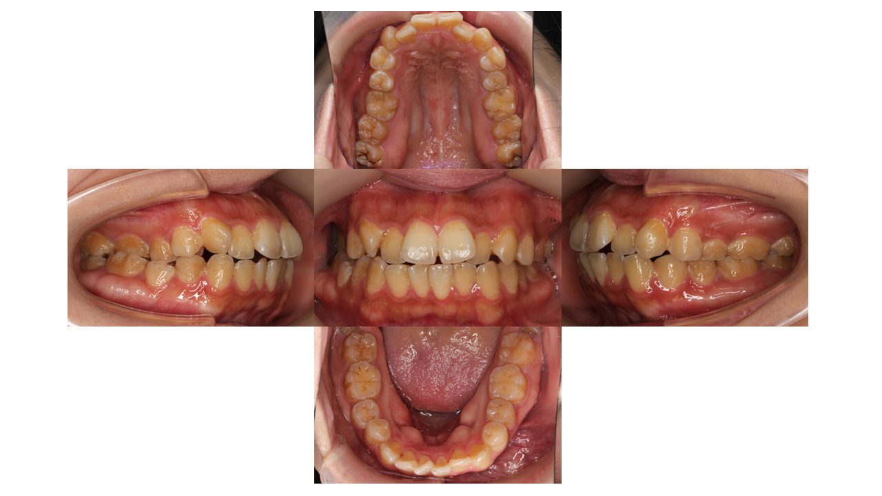
初診時の口腔内の状態です。
前歯の凸凹・口元が出ていることがお悩みでご来院されました。

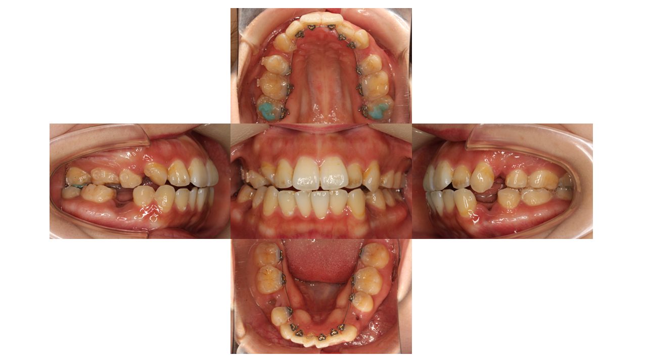
装置装着時の口腔内の状態です。
上顎左右ともに4番目、下顎左が4番目右が5番目を抜歯し、裏側矯正(リンガル)で歯を動かしていきます。
現在の歯並びだと、下の歯が上の歯の装置にぶつかってしまうため、上の奥歯に「バイトアップ」という青い材料をつけてかみ合わせをあげています。

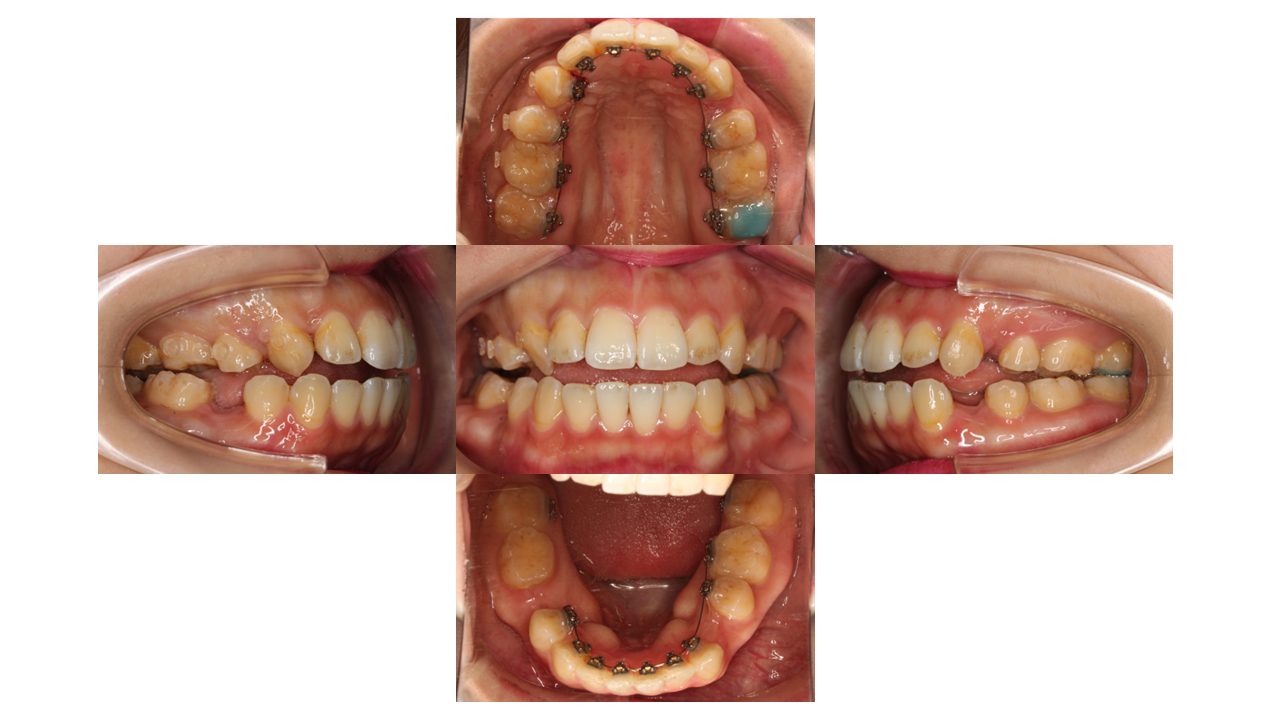
3か月経過の口腔内の状態です。
少しずつ凸凹が改善されてきました。

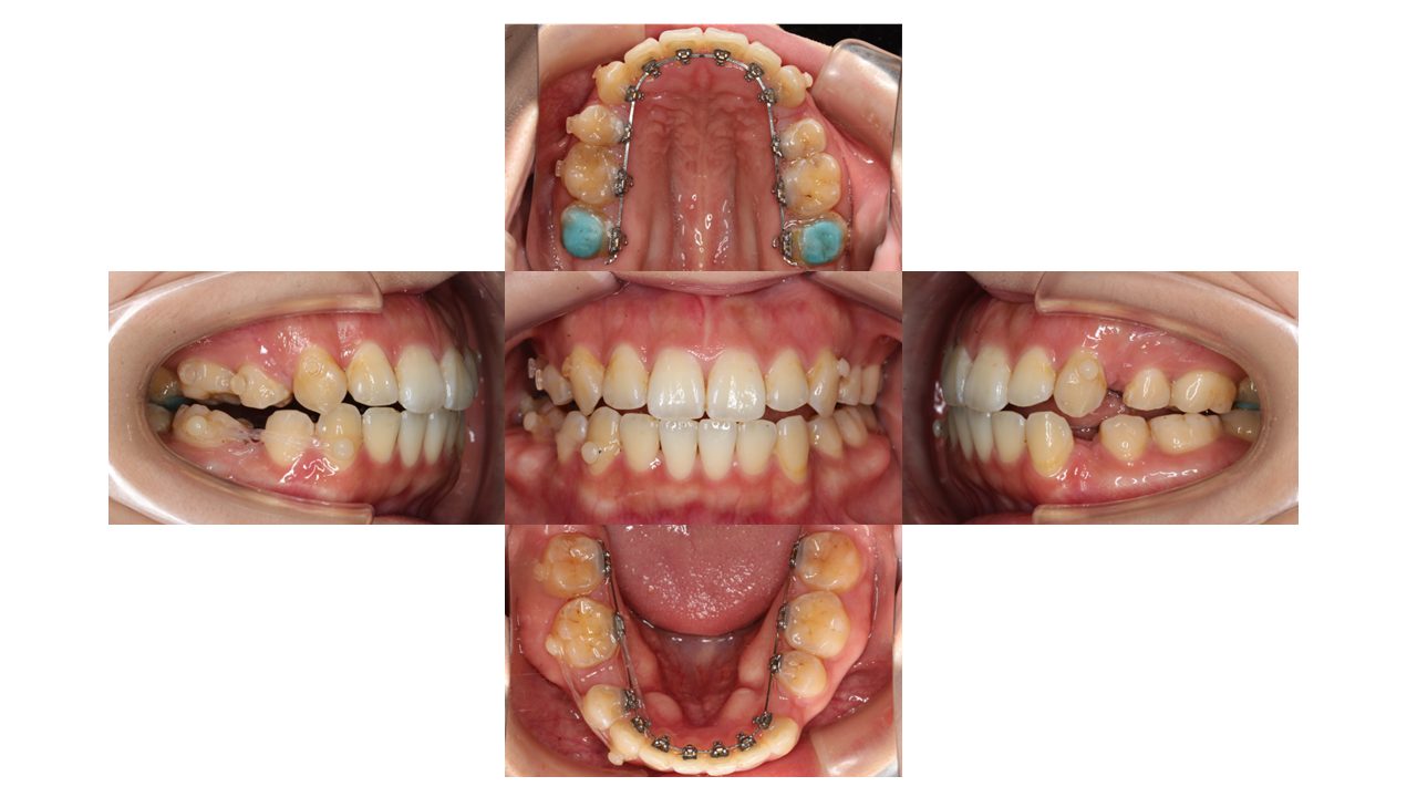
9か月経過の口腔内の状態です。
全体の凸凹が改善されました。
ゴムの力を使って、抜歯したスペースを閉じていきます。

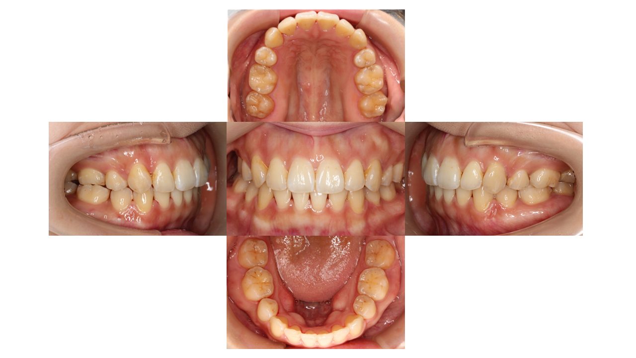
1年11カ月経過の口腔内の状態です。
前歯の凸凹・口元が下がったとご満足いただけました。
| 年齢層 | 20代 |
|---|---|
| 性別 | 女性 |
| 主訴 | 上下の前歯の凸凹・口元を下げたい |
| 治療費用 | 検査・診断:税込38,500円/裏側矯正治療(リンガル矯正):税込1,397,000円 |
| 治療期間 | 1年11か月(18回) |
| 抜歯 | 有(【上顎】両側4番【下顎】左側4番、右側5番) |
| 矯正の装置 | 裏側矯正(舌側矯正) |
| 副作用、リスク | 歯肉退縮,歯根吸収,疼痛,咬合の違和感,装置の違和感,虫歯,歯肉炎 |