当院の症例

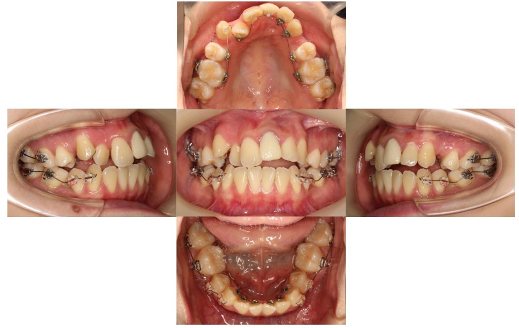
初診時の口腔内です。
【上下の前歯がかみ合わないことと、上前歯のガタガタ】を気にしてカウンセリングにいらっしゃいました。

上は左右4番目、下は左右5番目の歯を抜き、上下に装置を装着しました。
この患者様は目立たない上下裏側の装置をご希望でしたが、治療効率を考慮し、奥歯は表側の装置を使用して動かす流れとなりました。
精密分析によって、患者様のケースに合わせて一番適した治療計画をご提案させていただいております。

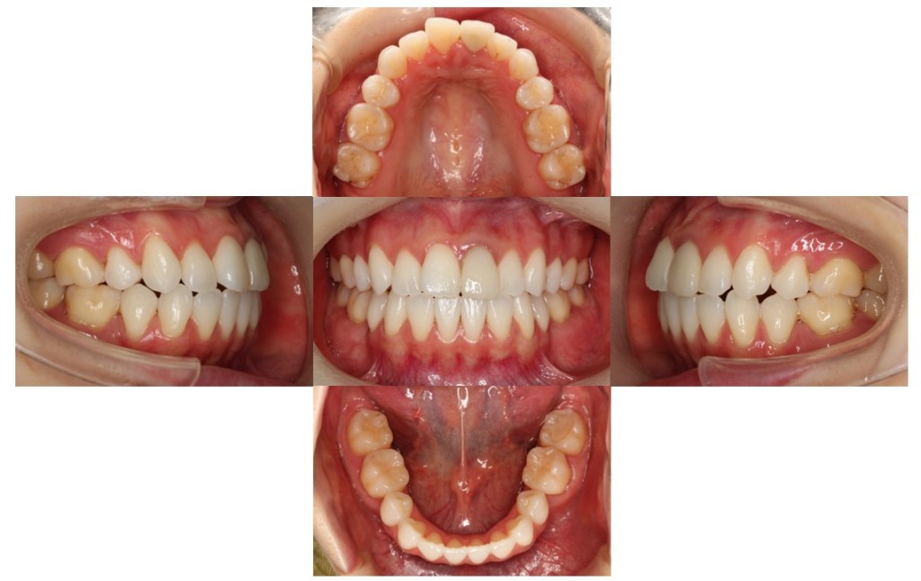
八重歯だったガタガタの部分はきれいに並んできました。

抜歯した箇所を閉じるように動かしたり、噛み合わせ全体のバランスを見て、歯の位置を調整していきます。

2ヵ月ほど微調整でマウスピース矯正を行っております。
全体の歯並びが整い、かみ合わせも綺麗になりました。
| 年齢層 | 20代 |
|---|---|
| 性別 | 女性 |
| 主訴 | 上下前歯部が噛み合わない、上のガタガタが気になる |
| 治療費用 | 検査・診断:税込38,500円/裏側矯正治療(リンガル矯正):税込1,397,000円 |
| 治療期間 | 2年9カ月(26回) |
| 抜歯 | 有(上顎両側4番、下顎両側5番) |
| 矯正の装置 | 裏側矯正(舌側矯正)・マウスピース矯正 |
| 副作用、リスク | 歯肉退縮,歯根吸収,疼痛,咬合の違和感,装置の違和感,虫歯,歯肉炎 |