投稿日:2025.11.7
見えない矯正も安心!表側・裏側で治療期間に大差なしの理由
みなさん、こんにちは。
横浜駅前歯科・矯正歯科です。
横浜駅前歯科・矯正歯科では、「表側矯正と裏側矯正(舌側矯正)、装置の見た目の違いは分かりますが、治療期間にも違いはあるのでしょうか?」というご質問をよくいただきます。
矯正治療を検討する際に、治療期間の長さは気になるポイントの一つです。
特に、裏側矯正(舌側矯正)は装置が目立たない反面、治療期間が長引くというイメージを持っている方もいるかもしれません。
しかし、近年では矯正装置や治療技術の進化により、表側矯正と裏側矯正(舌側矯正)の治療期間に大きな差はないというのが、横浜駅前歯科・矯正歯科の考える現在のスタンダードです。
もちろん、患者様一人ひとりの歯並びの状態や治療内容によって期間は前後しますが、装置の位置が治療期間を大きく左右することは少なくなってきています。
今回のブログでは、表側矯正と裏側矯正(舌側矯正)で治療期間に差がない理由、そしてそれぞれの装置のメリット・デメリット、選び方のポイントについて、わかりやすく解説します。
ぜひ自分に合った矯正装置選びの参考にしてください!
目次
表側矯正と裏側矯正(舌側矯正)、基本的な違い
矯正治療には、大きく分けて表側矯正と裏側矯正(舌側矯正)の2種類があります。
それぞれの特徴を理解した上で、ご自身に合った方法を選択することが大切です。
表側矯正の特徴

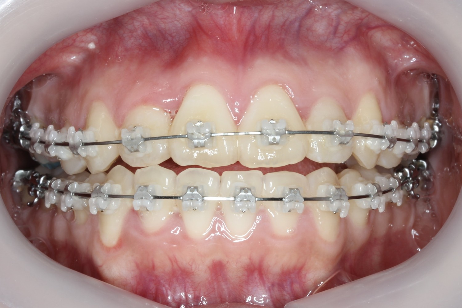
表側矯正は、歯の表側にブラケットと呼ばれる装置を取り付ける、最も一般的な矯正方法です。
歴史が長く、症例数も豊富に蓄積されているため、様々な歯並びに対応できます。
また、装置の調整がしやすく、治療期間の予測も比較的容易です。
費用面でも裏側矯正(舌側矯正)に比べてリーズナブルな傾向があります。
ただし、装置が目立つため、審美面が気になるという方もいるかもしれません。
当院では、白いブラケットや透明なワイヤーなど、目立ちにくい装置もご用意していますので、お気軽にご相談ください。
裏側矯正(舌側矯正)の特徴

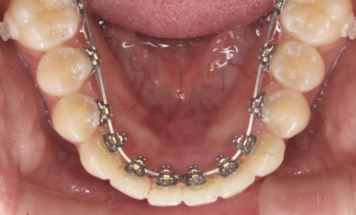
裏側矯正(舌側矯正)は、歯の裏側に装置を取り付けるため、矯正装置が目立ちにくいという大きなメリットがあります。
人前で話す機会が多い方や、接客業の方など、審美性を重視する方におすすめです。
装置が舌に触れるため発音に影響が出たり、舌に違和感を感じたりする方もいますが、徐々に慣れていきます。
また、技術的な難易度が高いため、対応できる歯科医院が限られていたり、費用が表側矯正よりも高額になる傾向です。
当院では、裏側矯正(舌側矯正)認定医が在籍しており、豊富な経験と高度な技術に基づいた治療を提供しています。
治療期間の差は縮小傾向に
かつては、裏側矯正(舌側矯正)の方が表側矯正よりも治療期間が長くなる傾向がありました。
しかし、近年では矯正装置の進化により、その差は縮まってきています。
装置の進化による治療期間の変化
矯正装置の進化は目覚ましく、薄型・軽量のブラケットや、小型化されたワイヤーが登場しています。
これらの進化によって、表側矯正・裏側矯正(舌側矯正)ともに歯の動きがスムーズになり、治療の精度も向上しました。
特に、裏側矯正(舌側矯正)では、歯の裏側に装着するため、装置の小型化は大きなメリットとなります。
舌への刺激が軽減され、快適に治療を受けていただけるようになりました。
また、コンピューター技術を用いた治療計画シミュレーションも進化しており、より精密な治療計画を立案することが可能になっています。
これにより、治療期間の短縮にも繋がっています。
表側矯正と裏側矯正(舌側矯正)の治療期間の目安

当院における治療期間の目安は、表側矯正で約1〜2年半です。裏側矯正(舌側矯正)も、基本的には表側矯正と同程度の期間で完了します。
もちろん、患者様一人ひとりの歯並びの状態や治療内容によって、期間には多少の前後があります。
重度の不正咬合や、顎の骨の手術を伴うケースでは、さらに治療期間が長くなる場合も。
しかし、単純に装置の位置(表側か裏側か)によって治療期間に大きな差が生じることは、現代の矯正治療では少なくなってきています。
“ほぼ同じ”というのが、当院の考える現在のスタンダードです。
通院頻度と調整回数の違い
表側矯正と裏側矯正(舌側矯正)では、治療期間に大きな差はありませんが、通院頻度や調整回数に違いはあるのでしょうか?
調整頻度はほぼ同じ
表側矯正と裏側矯正(舌側矯正)の調整頻度は、どちらも3〜5週間に一度の来院が基本です。
使用するワイヤーの種類や、治療の進行状況によって多少の個人差はありますが、装置の位置によって大きく変わることはありません。
当院では、患者様のご都合に合わせて、予約調整も柔軟に対応しているのでご安心ください。
裏側矯正(舌側矯正)は慣れるまで時間がかかることも

2024年6月29日 ヨーロッパ舌側矯正歯科学会大会長Asif Chatoo先生と渋谷矯正歯科グループの認定医たち
裏側矯正(舌側矯正)は、装置が歯の裏側に付いているため、表側矯正に比べて調整に少し時間がかかる場合があります。
特に、歯科医師が裏側矯正(舌側矯正)の経験が少ない場合や、患者さま自身が裏側矯正(舌側矯正)に慣れていない最初のうちは、スムーズな治療の進行に影響が出ることもあるでしょう。
しかし、裏側矯正(舌側矯正)の経験が豊富な医師であれば、問題なく治療を進めることができます。
当院は裏側矯正(舌側矯正)の認定医が在籍しており、安心して治療をお任せください。
また、通院回数が増えるわけではありませんのでご安心ください。
快適な矯正治療のためには、医師との信頼関係も重要です。
スタッフ一同、患者様一人ひとりと丁寧に向き合い、ご不安な点やご質問にしっかりとお答えすることで、安心して治療を受けていただける環境づくりに努めています。
患者様からよくいただく質問|治療期間の違いについて

当院では、以下のような質問を多くいただきます。
Q:「裏側矯正を検討していますが、表側矯正と比べて治療期間は長くなるのでしょうか?見た目を気にして裏側を選びたいのですが、期間が大幅に延びるなら悩んでしまいます…」
A:「ご安心ください。最近の矯正治療では、表側矯正と裏側矯正(舌側矯正)で、治療期間にほとんど差はありません。
これは装置の技術進化により、裏側からでも効率的な歯の移動が可能になったためです。
そのため、見た目を重視されたい場合は、治療期間を心配することなく、裏側矯正を選択していただけます。
どちらの方法でも、しっかりとした治療計画と定期的な調整により、同様の期間で理想的な歯並びを目指すことができます。」
表側・裏側、あなたに合った矯正方法の選び方
当院では、治療期間はほぼ同じでも、それぞれの特徴を考慮した選択が重要だとお伝えしています。
見た目重視なら

特に接客業や人前での仕事が多い方には、裏側矯正(舌側矯正)が人気です。
装置が見えないため、治療中も自信を持って笑顔でいられることが大きなメリットです。
コストと調整のしやすさ

表側矯正は、比較的リーズナブルな費用で治療を始められます。
また、装置の調整も容易なため、診療時間も短く済むことが多いです。
経済性と利便性を重視される方には、表側矯正がおすすめです。
快適性と発音を重視するなら…
裏側矯正(舌側矯正)の場合、装置が舌に触れるため、初期には会話のしづらさや違和感を感じることがあります。ただし、多くの方は2〜3週間程度で慣れていきます。
当院では、これらの特徴を踏まえた上で、患者様の生活スタイルやご希望に合わせて、最適な治療方法をご提案させていただいています。
じっくりとカウンセリングでご相談ください。
まとめ ~治療期間よりも大切なこと~
最新の矯正治療では、表側矯正と裏側矯正(舌側矯正)の治療期間に大きな差はありません。
装置の進化により、どちらの方法でも効率的な歯の移動が可能になっています。
そのため矯正方法の選択は、治療期間よりも、ご自身の生活スタイルや希望する見た目、ご予算などを総合的に考慮して決めることが大切です。
横浜駅前歯科・矯正歯科では、患者様一人ひとりに最適な矯正方法をご提案させていただいています。まずはカウンセリングで、ご要望やお悩みをお聞かせください。
★矯正治療は横浜駅前歯科・矯正歯科へ!
専門のカウンセラーが詳しくお話させていただきます。
≫無料矯正カウンセリングのご予約はこちら☆
★横浜駅前歯科・矯正歯科のInstagramでは、
様々な症例や歯科に関する情報を投稿しています!是非フォローお願いします★
※マウスピース型カスタムメイド歯科矯正装置は、日本では完成薬機法対象外の矯正装置であり、医薬品副作用被害救済制度の対象外となることがあります。
※矯正歯科治療は公的医療保険適用外の自費(自由)診療となります。






矯正ガイド