投稿日:2026.2.20
表側矯正と裏側矯正、仕上がりに差はある?歯科医が徹底比較
「表側矯正と裏側矯正どちらを選べばいいか分からない…」「仕上がりに差があったらどうしよう」とお困りではありませんか?
結論からお伝えすると、どちらを選んでも仕上がりに差はありません。
しかし、特徴やメリット・デメリットが異なり、治療が始まった後の変更は追加料金がかかることもあるため注意が必要です。
こちらの記事では、表側矯正と裏側矯正(舌側矯正)の違いや仕上がりに差がでない理由について分かりやすくまとめました。
治療をご検討中の方はぜひご参考ください!
目次
表側矯正・裏側矯正の違い
ワイヤー矯正は「目立ちやすい治療法」と認識されることも多いですが、今は装置や治療法の種類が増えてより患者様に合った方法を選択しやすくなっています。
表側矯正と裏側矯正(舌側矯正)のそれぞれの強みや特徴の違いを以下でくわしくみていきましょう。
装置を貼り付ける位置


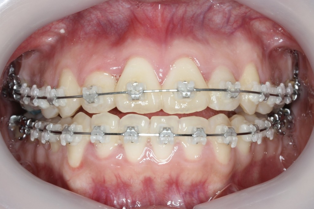
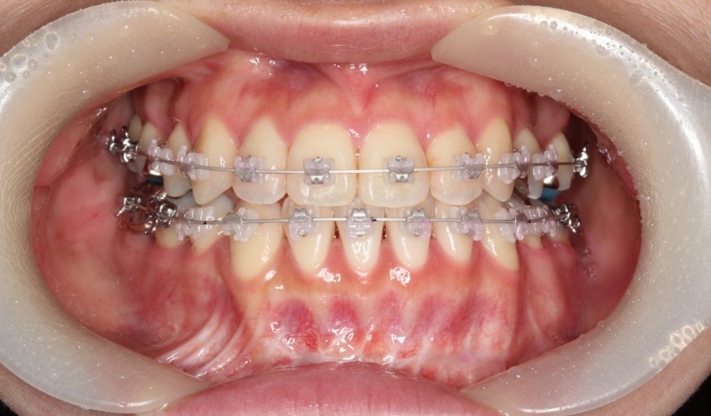
表側矯正は、歯の表面にブラケットとよばれる装置を貼り付けて、そこにワイヤーをとおして歯を動かす治療法です。
一方裏側矯正(舌側矯正)はブラケットとワイヤーを使用する点は同じですが、装置を歯の裏面に貼り付けます。
お口のなかの違和感はどちらを選択しても発生し、数日〜数週間で落ち着きますので過度な心配はいりません。
見た目の変化
表側矯正は歯の表面に装置がつくため、人目につきやすい傾向にあります。
一方で裏側矯正(舌側矯正)は正面から装置が見えないのでお顔の印象がほとんど変わりません。
見た目をできるだけ変えたくないけどマウスピース型矯正が選択不可という方におすすめの治療法です。
お手入れのしやすさ
表側矯正と裏側矯正(舌側矯正)はどちらも固定式で、お手入れは取り外しが可能なマウスピース型矯正より難しい傾向にあります。
しかし、表側矯正は鏡を見て装置を確認できますが裏側矯正(舌側矯正)ではそれが難しく、食べ物の詰まりや磨き残しがおこりやすくなります。
滑舌や発音への影響

滑舌や発音には唇や舌の動きが大きく関係しています。
表側矯正は唇に装置が当たりますが、それほど発音や滑舌が悪くなることはありません。
一方で裏側矯正(舌側矯正)は舌に装置が当たり動かしにくくなるため、発音や滑舌が一時的に悪くなるケースが多い傾向にあります。
人前で話す機会の多いお仕事をされている方は少し注意が必要です。
トラブルのおこりやすさ
表側矯正と裏側矯正(舌側矯正)はどちらも食事の摂り方に注意が必要です。
大きなお肉などを噛みちぎったり、勢いよく噛んだりすると装置の脱離やワイヤーの変形につながるため気をつけなくてはいけません。
鏡を見て装置を確認できる表側矯正のほうが、トラブルが起こったときに気づきやすいといえるでしょう。
対応している歯科医院の数
表側矯正は昔からある治療法であるため、診療科目に歯科矯正があればほとんどの歯科医院で受けられます。
一方で裏側矯正(舌側矯正)は表側矯正よりも高い知識や技術が求められる治療法であることから受けられる歯科医院が限られており、引っ越しやお仕事の転勤などで転院が必要になったときは注意しなくてはいけません。
しかし当グループは全国に11院あり、お引越しや転勤に伴うグループ内転院が可能です。転院先で継続して治療が受けられます。
治療にかかる費用

矯正治療は基本的に保険が適用されません。自費診療であるため、歯科医院側が自由に料金を設定できます。
受けられる歯科医院が限られている裏側矯正(舌側矯正)は、表側矯正よりも高く設定されているケースがほとんどです。
場所によっても差がありますので、気になる方は事前にご確認ください。
仕上がりに差が出ない理由
表側矯正と裏側矯正(舌側矯正)は異なる点が多々存在しますが、歯を動かす原理は同じであるため、仕上がりに差はでません。
正しい計画・技術で行えばどちらを選択しても同等の結果が得られます。
正しい計画・技術で行うにはどうしたらいい?
重要なのは「歯科医院選び」です。
自費診療である矯正治療は歯科医院によって設定金額が違い、提示された料金には土地の価値だけでなく、施術者の技量や自信の有無も含まれている場合があります。
例えば、経験があまりない歯科医院では、実績を積むために相場よりも安く設定しているケースが珍しくありません。
納得のいく仕上がりになるとは限らず、治療期間の延長や追加費用が多くかかる可能性も考えられます。
なにより一度動かした歯は完全に元に戻すことができません。
不快に感じてもリセットできないので治療を受ける歯科医院は慎重に選ぶべきだといえます。
安心できる歯科医院を見つけたら、カウンセリングや精密検査を受けるといいでしょう。
治療計画を立てるにはお口の状態を正確に把握するための精密検査が必須です。
それぞれのメリット・デメリット
表側矯正と裏側矯正(舌側矯正)は、それぞれメリットやデメリットが異なります。
自分に合った治療法を見つけるためにも事前に正しく把握しておきましょう。
表側矯正のメリット「費用が抑えられ調整しやすい」
表側矯正は矯正治療のなかでも費用が安く設定されています。
とにかく治療費を抑えたいという方にはとくにおすすめで、装置が表面についていることで調整がしやすく、治療がスムーズにすすみやすいのも大きなメリットといえるでしょう。
トラブルが早めに見つけられる点も治療期間の延長を回避するうえで重要なポイントです。
表側矯正のデメリット「人目につきやすい」
ホワイトワイヤーと透明の装置
固定式で装置が表面についているため、人目につきやすいという欠点があります。
最近では白や透明の装置も増えており、昔ほど目立たなくなりました。しかし、近くでみると治療中であることが分かります。
合わせてご覧ください》》》矯正は目立たない時代へ!当院の使用している装置について解説します
裏側矯正(舌側矯正)のメリット「人目につきにくい」
表側矯正の「人目につきやすい」という欠点を改良したのが裏側矯正(舌側矯正)です。装置が正面からほとんど見えないので、お顔の印象が変わる心配がありません。
治療期間中に卒業写真の撮影や結婚式、就職などを控えている方にとっては大きなメリットといえるでしょう。
裏側矯正(舌側矯正)のデメリット「慣れるまでに時間がかかる」
口のなかはとても繊細で、髪の毛一本でも入るとすぐに違和感に気づきます。
矯正装置の場合も同じで、慣れるまでにある程度の時間が必要になるケースは少なくありません。
裏側矯正(舌側矯正)は舌に装置が当たるため、表側矯正よりも慣れるまでに時間がかかる傾向にあります。
発音や滑舌に支障をきたしたり、外傷性の口内炎ができたりすることもあるので注意しましょう。
選ぶときのポイント
納得のいく治療にするためには、歯科医院選びのほかに装置選びもとても大切です。
表側矯正と裏側矯正(舌側矯正)では仕上がりに差はありませんが異なる点が多々存在します。
この2つで迷っている場合は「見た目」「発音・滑舌」「ライフスタイル」「お手入れのしやすさ」「費用」などから重要視したい部分をピックアップし、それを照らし合わせて選ぶといいでしょう。
各装置についてもっとくわしく知りたいという方は当院までお気軽にご相談ください。
患者様が安心して治療を始められるよう、丁寧な説明・カウンセリングを心がけております。
まとめ
ワイヤー矯正には「表側矯正」と「裏側矯正(舌側矯正)」の2つが存在し、どちらを選んでも仕上がりに差はありません。
しかし、それぞれメリットやデメリットが異なります。
ワイヤー矯正は装置が目立つという印象が強いですが、白や透明の目立ちにくい装置も増えてきていますので昔に比べて選択しやすくなったといえるでしょう。
それでも気になるという方には、正面から装置が見えにくい裏側矯正(舌側矯正)がおすすめです。
しかし「発音や滑舌が一時的に悪くなりやすい」「表側矯正よりも費用が高め」などデメリットもありますので、事前にチェックしておくといいでしょう。
自分に合った装置を選ぶことが前向きに治療をすすめるための大きなポイントです。
★矯正治療は横浜駅前歯科・矯正歯科へ!
専門のカウンセラーが詳しくお話させていただきます。
≫無料矯正カウンセリングのご予約はこちら☆
★横浜駅前歯科・矯正歯科のInstagramでは、
様々な症例や歯科に関する情報を投稿しています!是非フォローお願いします★
※マウスピース型カスタムメイド歯科矯正装置は、日本では完成薬機法対象外の矯正装置であり、医薬品副作用被害救済制度の対象外となることがあります。
※矯正歯科治療は公的医療保険適用外の自費(自由)診療となります。






矯正ガイド