当院の症例

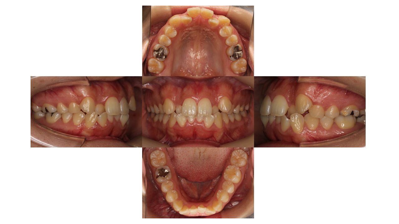
初診時の口腔内の状態です。
前歯の凸凹・八重歯にお悩みでご来院されました。
抜歯はせず、マウスピース矯正(インビザライン)で、歯を動かしていきます。

9か月経過の口腔内の状態です。
今回は、マウスピースをつけたまま口腔内写真を撮影しています。
上下どちらも凸凹が少しずつ改善してきました。

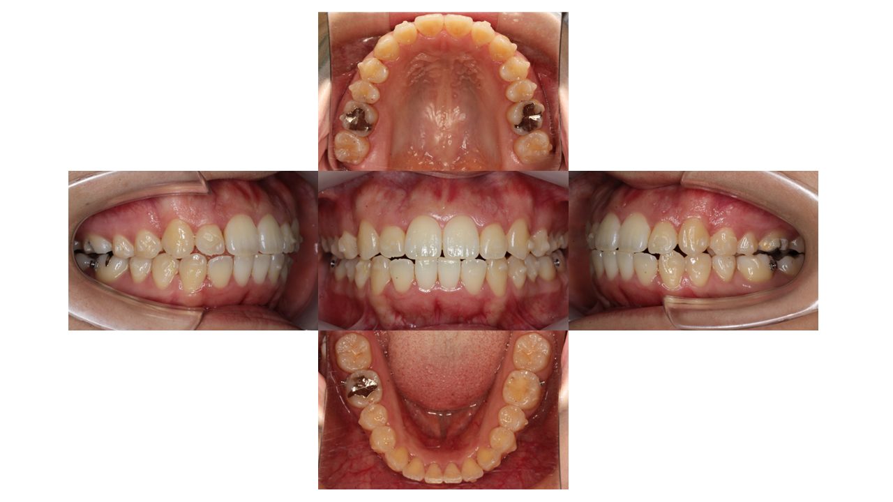
1年1か月経過の口腔内の状態です。
前歯の凸凹が、全て改善しました。
噛み合わせなど、細かい部分の調整をしていきます。

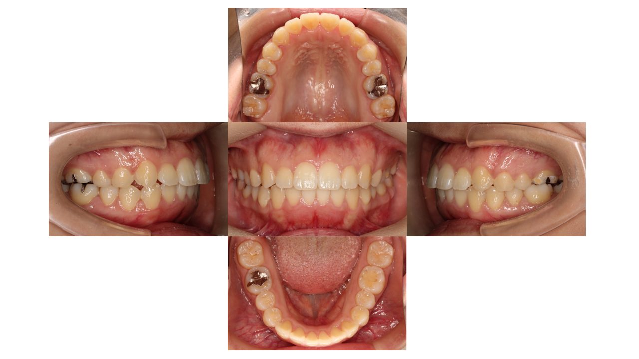
2年9か月経過の口腔内の状態です。
前歯の凸凹・八重歯が改善されたとご満足いただけました。
| 年齢層 | 20代 |
|---|---|
| 性別 | 女性 |
| 主訴 | 前歯が凸凹している・八重歯 |
| 治療費用 | 検査・診断:税込38,500円/マウスピース矯正(インビザライン):税込990.000円 |
| 治療期間 | 2年9か月(19回) |
| 抜歯 | 無(非抜歯) |
| 矯正の装置 | マウスピース矯正(インビザライン) |
| 副作用、リスク | 歯肉退縮,歯根吸収,疼痛,咬合の違和感,装置の違和感,虫歯,歯肉炎 |