当院の症例

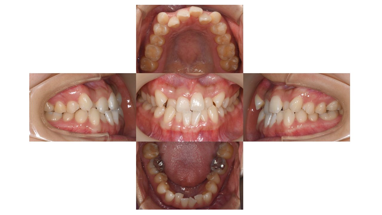
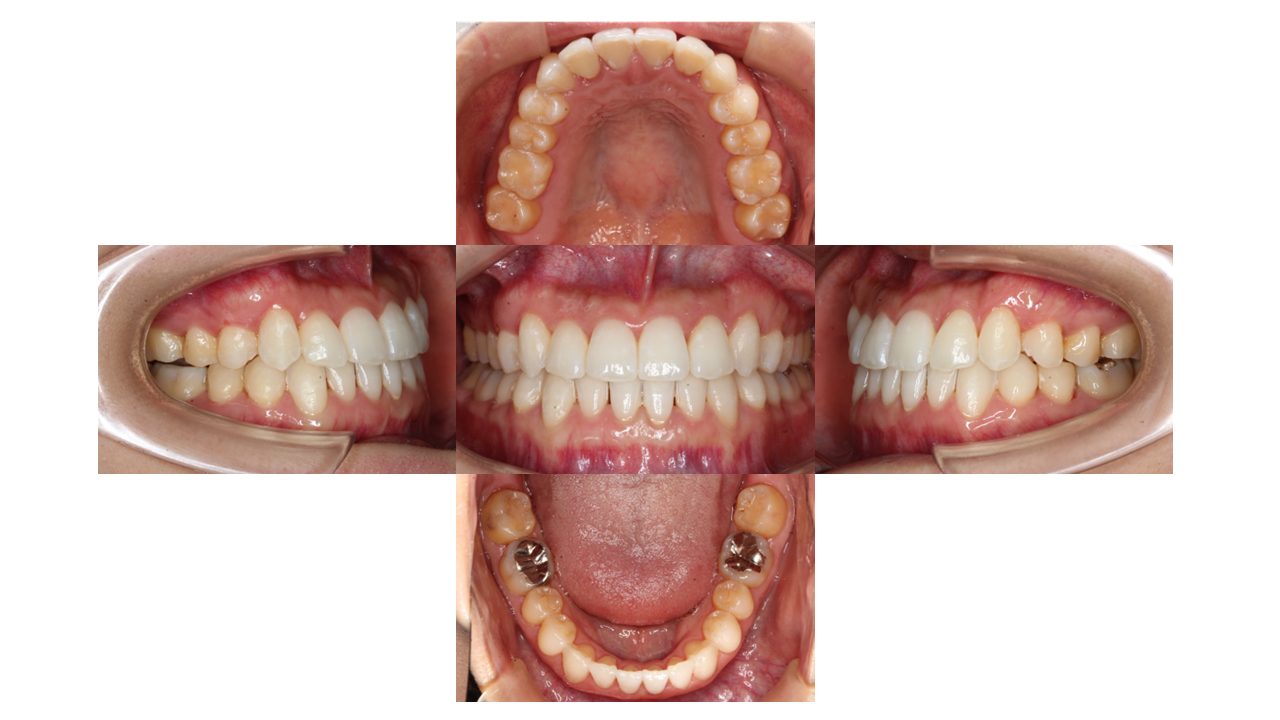
初診時の口腔内の状態です。
上下の凸凹・噛み合わせが悪いことにお悩みでご来院されました。
抜歯はせず、マウスピース矯正(インビザライン)で歯を動かしていきます。

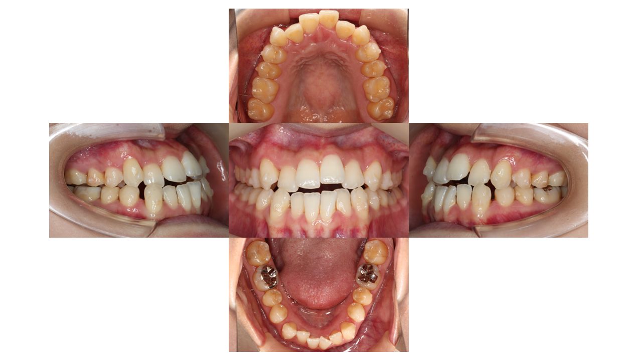
1年5カ月経過の口腔内の状態です。
歯の表面には、「アタッチメント」とよばれる突起が付いています。
アタッチメントには、歯とマウスピースのフィットを良くし、歯の動きを助ける役割があります。

1年10か月経過の口腔内の状態です。
今回は、マウスピースを着用したまま口腔内写真を撮影しています。
全体的に凸凹が改善してきました。

2年経過の口腔内の状態です。
残りのスペースと噛み合わせの調整をしていきます。

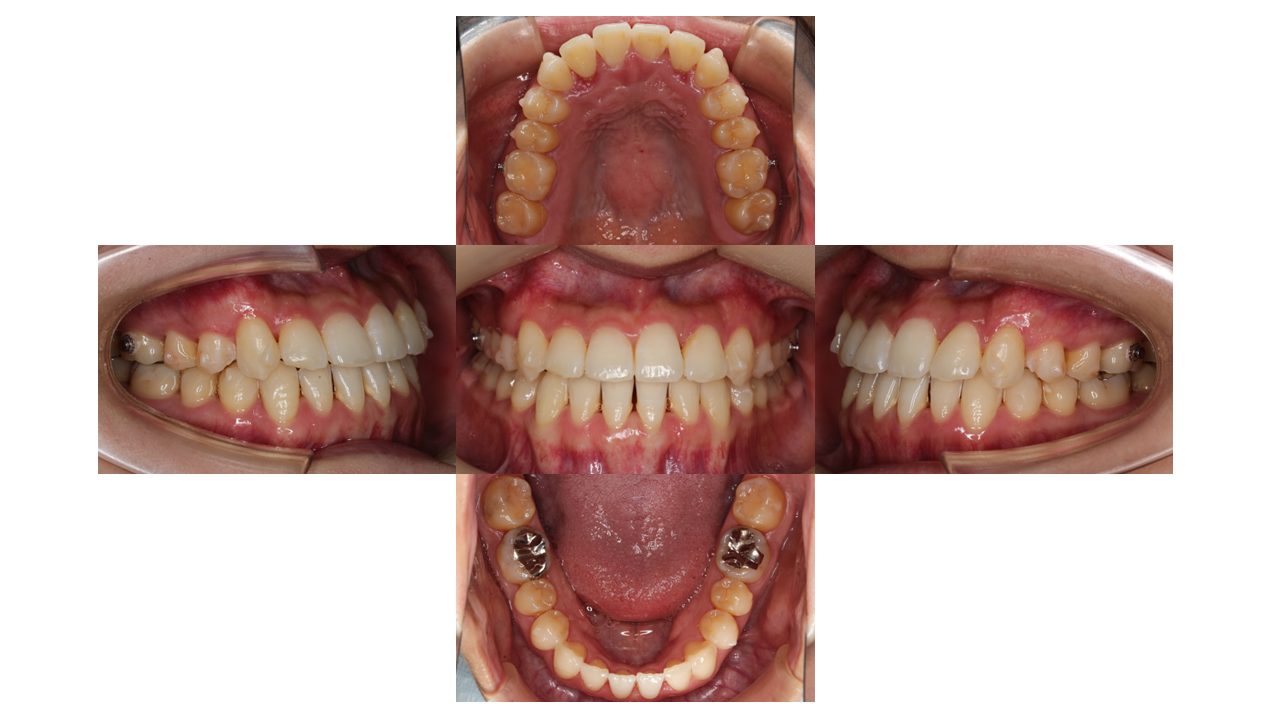
3年6ヶ月経過の口腔内の状態です。
上下の凸凹・噛み合わせが改善したとご満足いただきました。
| 年齢層 | 30代 |
|---|---|
| 性別 | 女性 |
| 主訴 | 上下の凸凹・噛み合わせが悪い |
| 治療費用 | 検査・診断:税込38,500円/マウスピース矯正(インビザライン):税込990.000円 |
| 治療期間 | 3年6カ月(20回) |
| 抜歯 | 無(非抜歯) |
| 矯正の装置 | マウスピース矯正(インビザライン) |
| 副作用、リスク | 歯肉退縮,歯根吸収,疼痛,咬合の違和感,装置の違和感,虫歯,歯肉炎 |