当院の症例

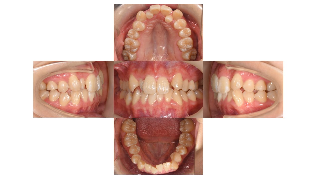
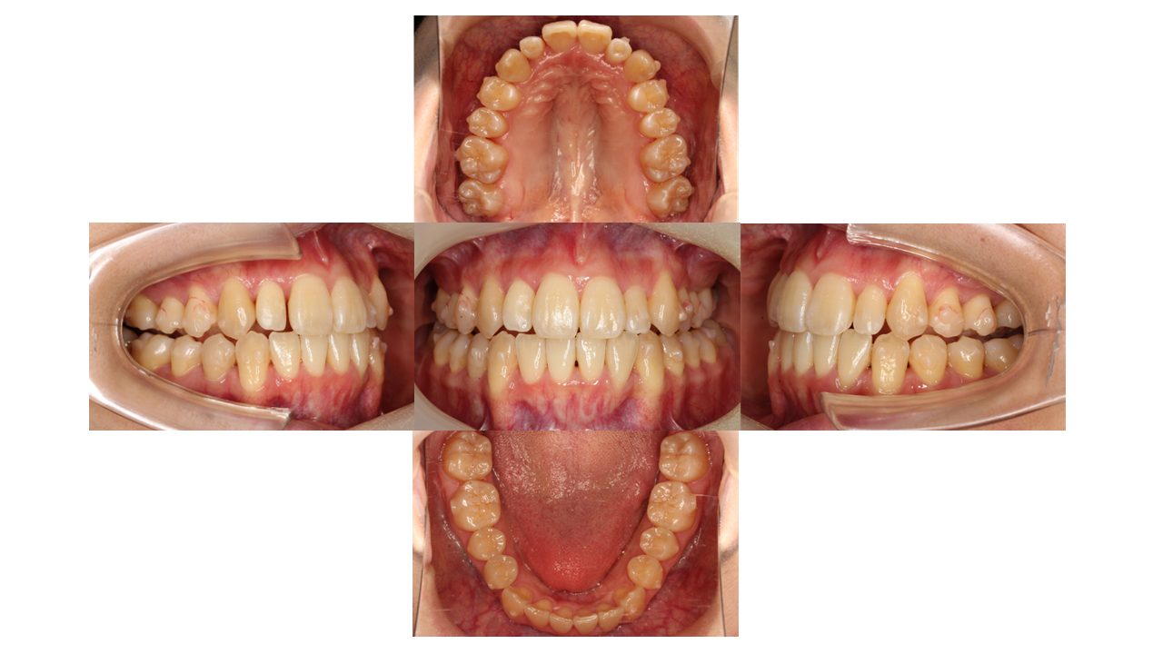
初診時の口腔内の状態です。
上下前歯の凸凹にお悩みでご来院されました。
抜歯はせず、マウスピース矯正(インビザライン)で歯を動かしていきます。

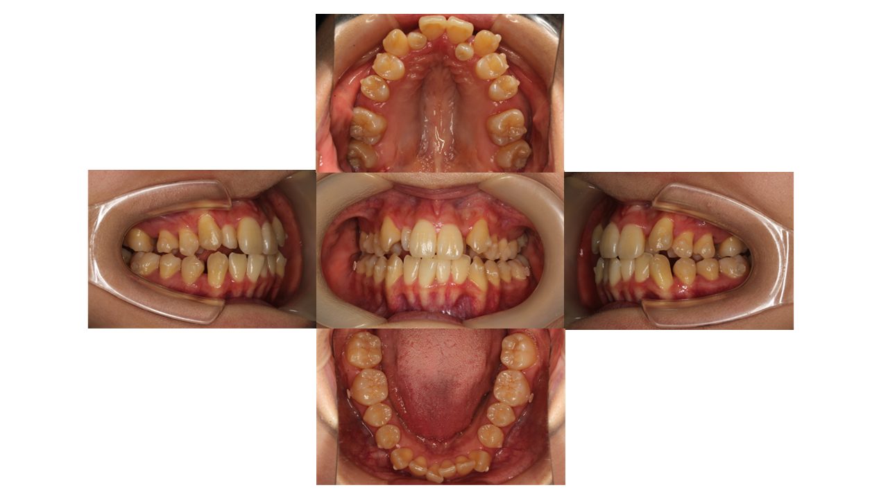
9ヵ月経過の口腔内の状態です。
歯の表面には、「アタッチメント」とよばれる突起が付いています。
アタッチメントには、歯とマウスピースのフィットを良くし、歯の動きを助ける役割があります。

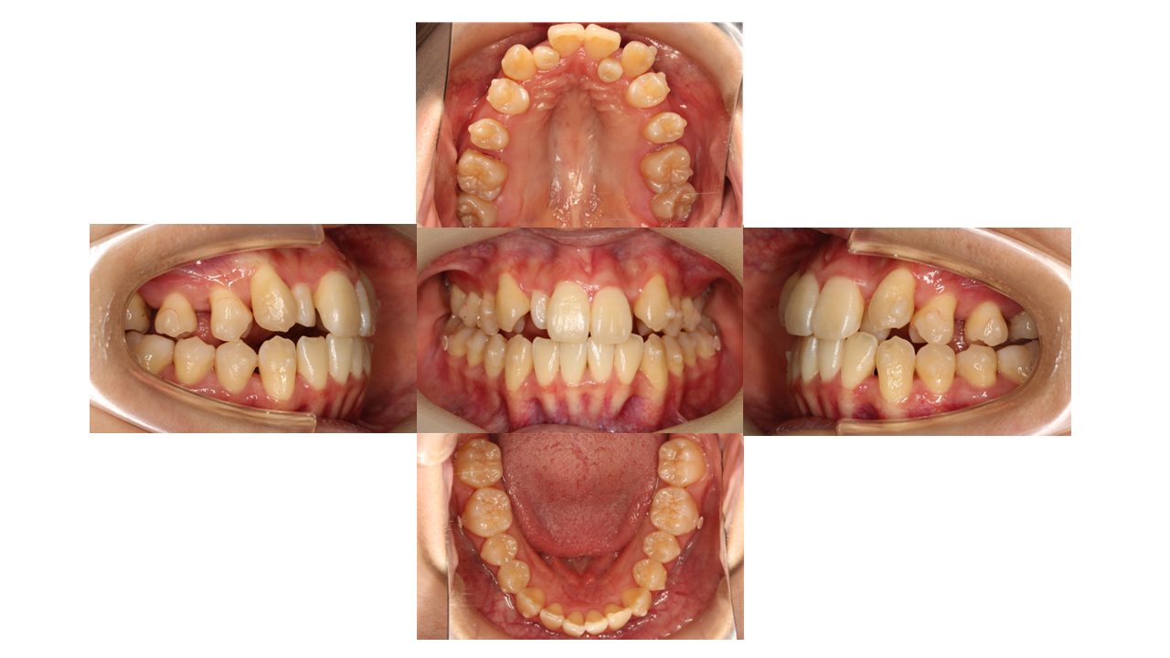
1年経過の口腔内の状態です。
奥歯を後ろに動かし、前歯を並べるスペースを作っていきます。

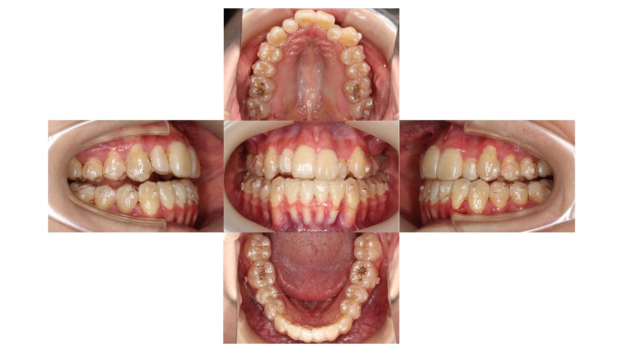
1年7ヶ月経過の口腔内の状態です。
今回は、マウスピースを装着したまま口腔内写真を撮影しています。
少しずつ凸凹が改善してきました。

2年2ヶ月経過の口腔内の状態です。
凸凹が改善しました。
ここからは、噛み合わせなどの微調整をしていきます。

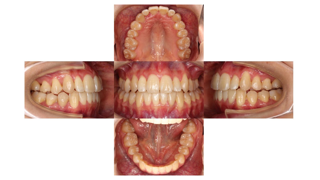
3年4ヶ月経過の口腔内の状態です。
上下前歯の凸凹が改善されたとご満足いただけました。
| 年齢層 | 20代 |
|---|---|
| 性別 | 女性 |
| 主訴 | 上下前歯の凸凹 |
| 治療費用 | 検査・診断:税込38,500円/マウスピース矯正(インビザライン):税込990.000円 |
| 治療期間 | 3年4ヶ月(29回) |
| 抜歯 | 無(非抜歯) |
| 矯正の装置 | マウスピース矯正(インビザライン) |
| 副作用、リスク | 歯肉退縮,歯根吸収,疼痛,咬合の違和感,装置の違和感,虫歯,歯肉炎 |