当院の症例

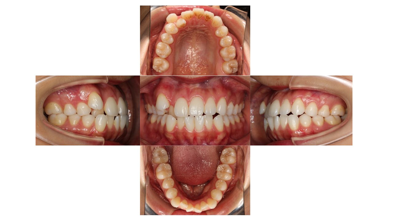
初診時の口腔内の状態です。
上下前歯の凸凹、特に上顎右側の凸凹にお悩みでご来院されました。
上顎右側の3番目の箇所を抜歯し、マウスピース矯正(インビザライン)で歯を動かしていきます。

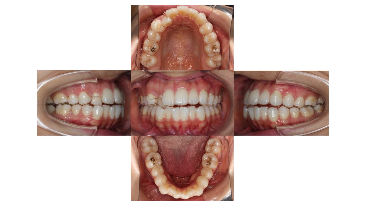
2カ月経過の口腔内の状態です。
マウスピースを着用したまま、口腔内写真を撮影しています。
歯の表面には、「アタッチメント」という突起が付いています。
アタッチメントには、歯とマウスピースのフィットを良くし、歯の動きを助ける役割があります。

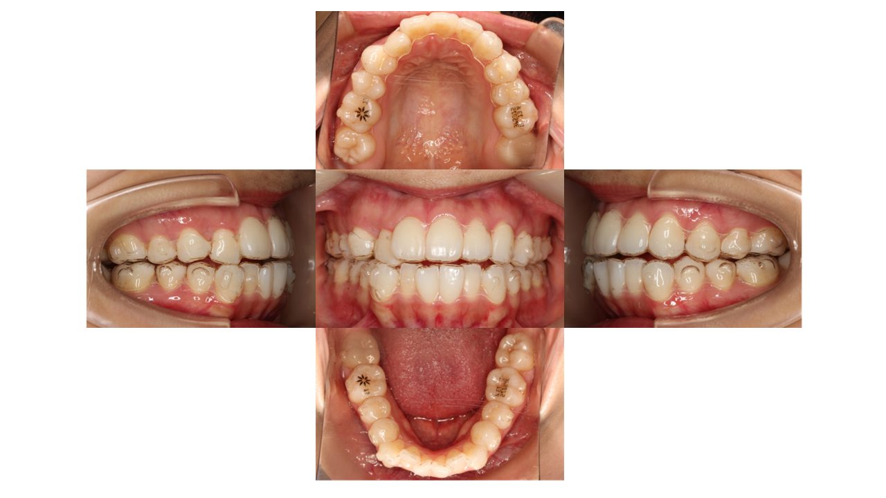
6カ月経過の口腔内の状態です。
今回もマウスピースを装着したまま、口腔内写真を撮影しています。
徐々に凸凹が改善してきました。

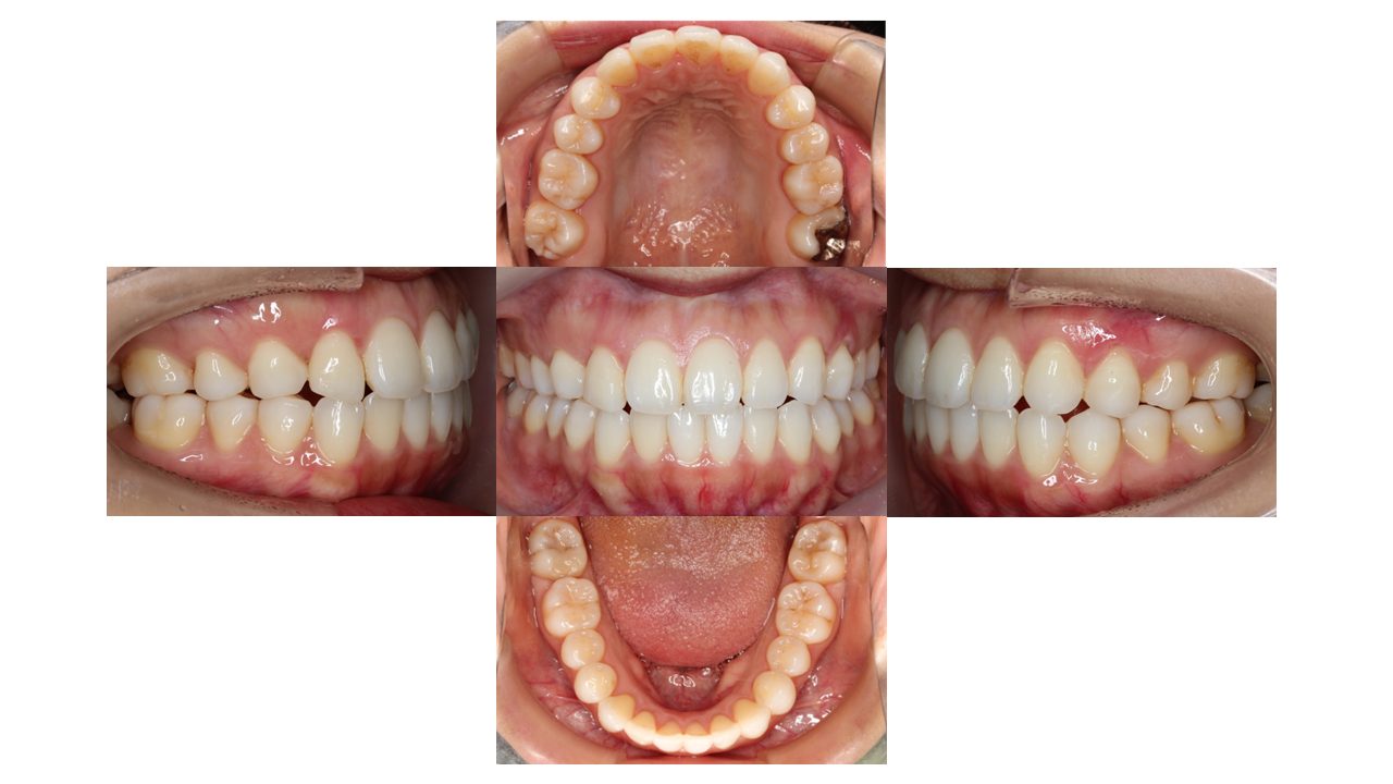
1年8カ月経過の口腔内の状態です。
嚙み合わせの安定を最優先に治療を進めているため、上顎前歯を1本抜歯していることもあり、上下正中線の完全に一致させることが難しい症例です。
上下ともに凸凹が改善されたとご満足いただけました。
| 年齢層 | 20代 |
|---|---|
| 性別 | 女性 |
| 主訴 | 上下の前歯の凸凹 |
| 治療費用 | 検査・診断:税込38,500円/マウスピース矯正(インビザライン):税込990.000円 |
| 治療期間 | 1年8カ月(12回) |
| 抜歯 | 有(上顎右側3番) |
| 矯正の装置 | マウスピース矯正(インビザライン) |
| 副作用、リスク | 歯肉退縮,歯根吸収,疼痛,咬合の違和感,装置の違和感,虫歯,歯肉炎 |