当院の症例

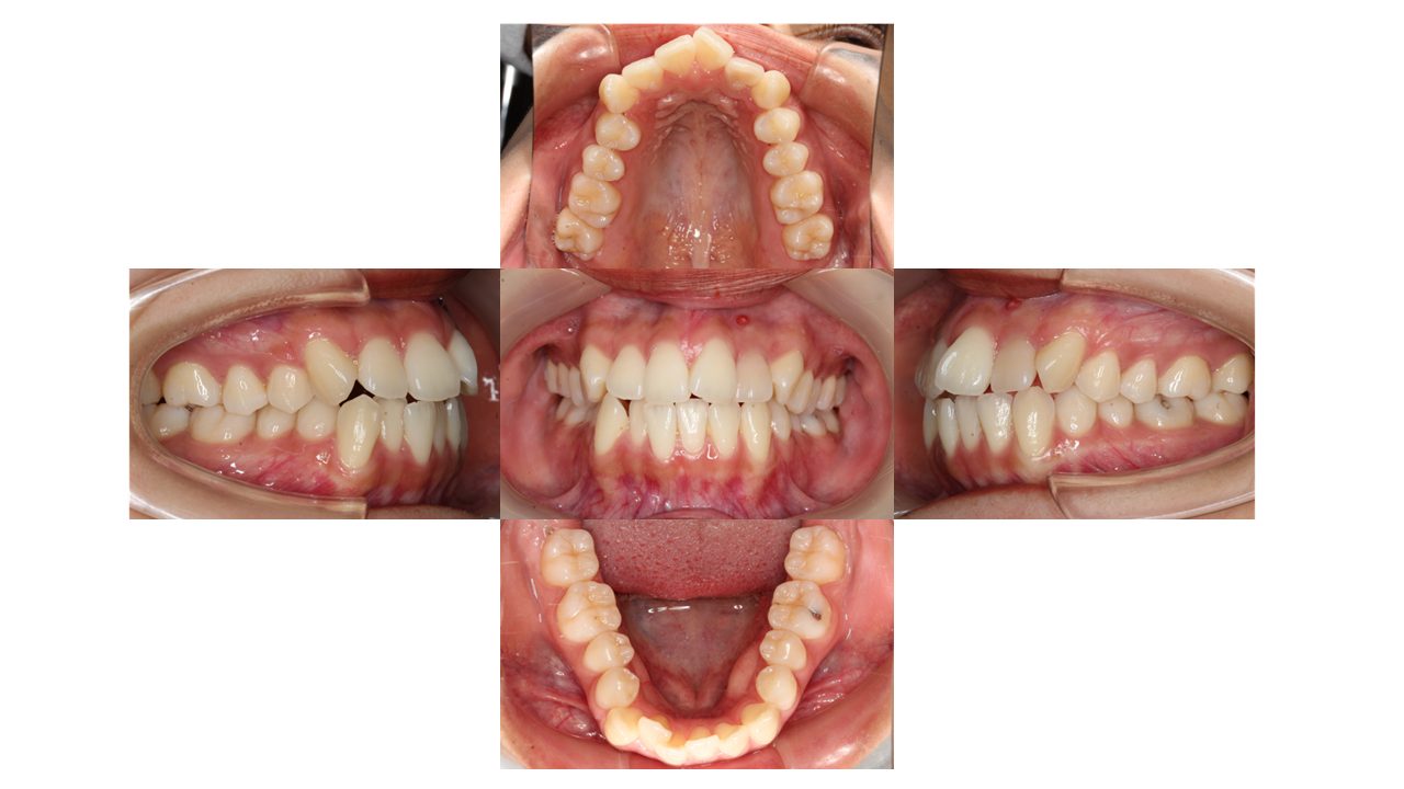
初診時の口腔内の状態です。
上下前歯の凸凹、特に上顎左右の3番目の箇所、そして下顎前歯の凸凹にお悩みでご来院されました。
抜歯はせず、マウスピース矯正(インビザライン)で歯を動かしていきます。

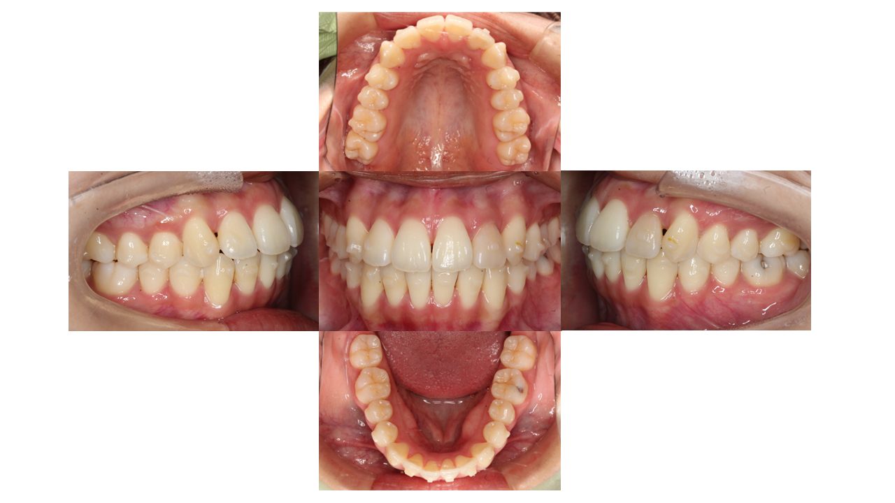
10カ月経過の口腔内の状態です。
歯の表面には、「アタッチメント」と呼ばれる突起がついています。
アタッチメントには、歯とマウスピースのフィットを良くし、歯の動きを助ける役割があります。

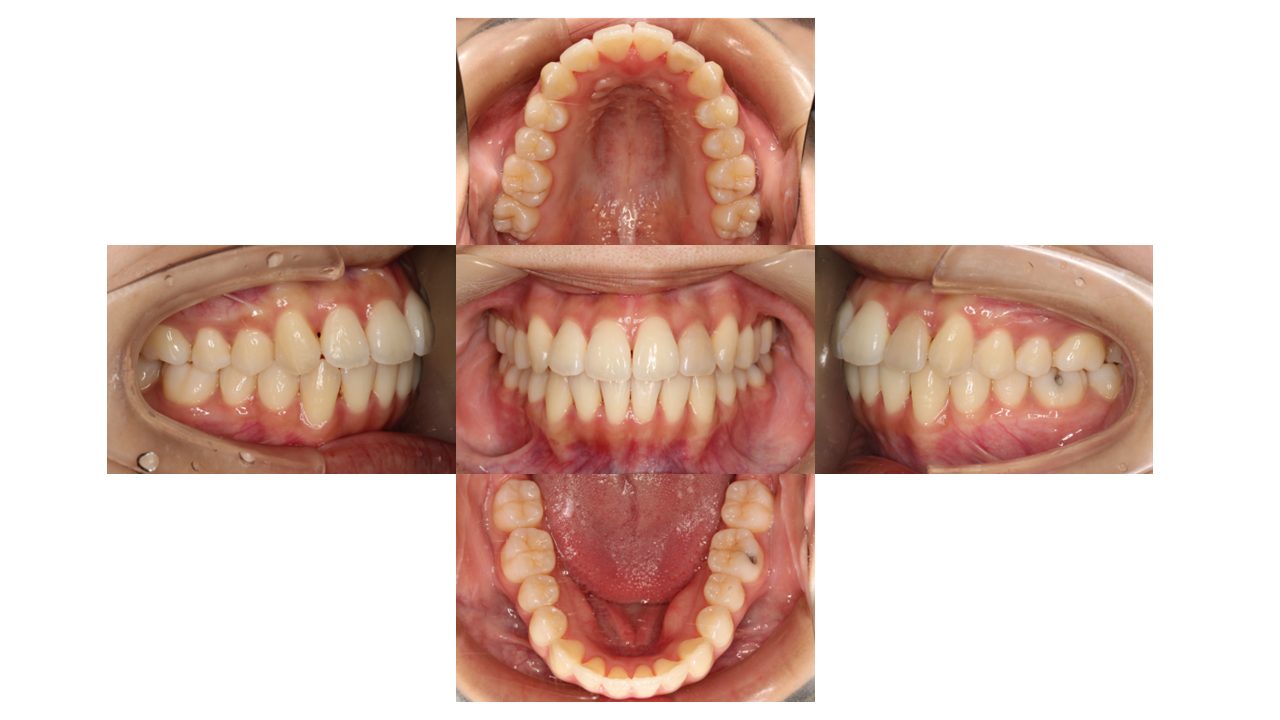
1年3か月経過のお口腔内の状態です。
上下前歯の凸凹が改善したとご満足いただけました。
| 年齢層 | 20代 |
|---|---|
| 性別 | 女性 |
| 主訴 | 上下前歯の凸凹 |
| 治療費用 | 検査・診断:税込38,500円/マウスピース矯正(インビザライン):税込990.000円 |
| 治療期間 | 1年3カ月(13回) |
| 抜歯 | 無(非抜歯) |
| 矯正の装置 | マウスピース矯正(インビザライン) |
| 副作用、リスク | 歯肉退縮,歯根吸収,疼痛,咬合の違和感,装置の違和感,虫歯,歯肉炎 |