当院の症例

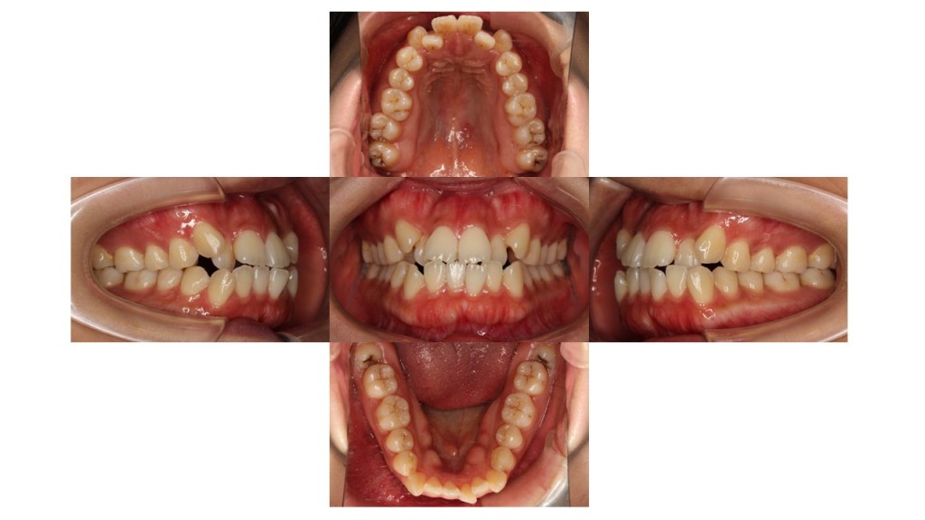
初診時の口腔内の状態です。
八重歯と前歯の凸凹にお悩みでご来院されました。
抜歯はせず、マウスピース型矯正(インビザライン)で歯を動かしていきます。

7ヵ月経過の口腔内の状態です。
今回は、マウスピースを付けた状態で口腔内写真を撮影しています。
歯の表面には、「アタッチメント」という突起がついています。
アタッチメントには、歯とマウスピースのフィットを良くし、歯の動きを助ける役割があります。
この方は、顎間ゴムを併用していただくため、クリアボタンが下顎臼歯についています。

1年1カ月経過の口腔内の状態です。
全体の凸凹が改善しました。
ここからは、噛み合わせなどの微調整をしていきます。

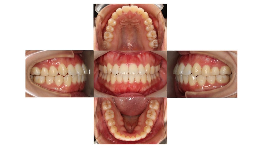
1年10ヵ月経過の口腔内の状態です。
八重歯・前歯の凸凹が改善したとご満足いただけました。
| 年齢層 | 20代 |
|---|---|
| 性別 | 女性 |
| 主訴 | 八重歯・前歯の凸凹 |
| 治療費用 | 検査・診断:税込38,500円/マウスピース矯正(インビザライン):税込990.000円 |
| 治療期間 | 1年10か月(20回) |
| 抜歯 | 無 |
| 矯正の装置 | マウスピース矯正(インビザライン) |
| 副作用、リスク | 歯肉退縮,歯根吸収,疼痛,咬合の違和感,装置の違和感,虫歯,歯肉炎 |